Rabbit PGAM1 Polyclonal Antibody | anti-PGAM1 antibody
PGAM1 Antibody
Gene Names
PGAM1; PGAMA; PGAM-B; HEL-S-35
Reactivity
Human, Mouse, RatPredicted: Pig, Bovine, Horse, Sheep, Rabbit, Dog, Chicken, Xenopus
Applications
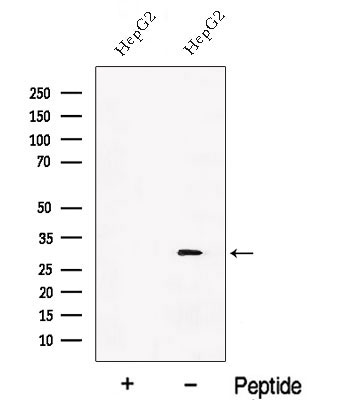
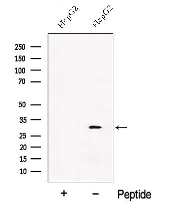
Western Blot
Purity
The antiserum was purified by peptide affinity chromatography using SulfoLink Coupling Resin (Thermo Fisher Scientific).
Synonyms
PGAM1, Antibody; PGAM1 Antibody; BPG dependent PGAM 1; BPG dependent PGAM1; BPG-dependent PGAM 1; OTTHUMP00000059414; PGAM 1; PGAM A; PGAM B; PGAM-B; PGAM1; PGAM1_HUMAN; PGAMA; PGAMB; Phosphoglycerate mutase 1; Phosphoglycerate mutase 1 brain; Phosphoglycerate mutase A; Phosphoglycerate mutase A nonmuscle form; Phosphoglycerate mutase isozyme B; anti-PGAM1 antibody
Host
Rabbit
Reactivity
Human, Mouse, Rat
Predicted: Pig, Bovine, Horse, Sheep, Rabbit, Dog, Chicken, Xenopus
Predicted: Pig, Bovine, Horse, Sheep, Rabbit, Dog, Chicken, Xenopus
Clonality
Polyclonal
Isotype
IgG
Specificity
PGAM1 Antibody detects endogenous levels of PGAM1.
Purity/Purification
The antiserum was purified by peptide affinity chromatography using SulfoLink Coupling Resin (Thermo Fisher Scientific).
Form/Format
Liquid; Phosphate buffered saline, pH 7.4, 150mM NaCl, 0.02% sodium azide and 50% glycerol.
Concentration
1mg/ml (varies by lot)
Sequence Length
254
Applicable Applications for anti-PGAM1 antibody
WB (Western Blot)
Immunogen
A synthesized peptide derived from human PGAM1.
Tissue Specificity
Expressed in the liver and brain. Not found in the muscle.
Fragment
Fab Fragment
Conjugate
Unconjugated
Preparation and Storage
Store at -20 degree C. Stable for 12 months from date of receipt.
Related Product Information for anti-PGAM1 antibody
Description: Interconversion of 3- and 2-phosphoglycerate with 2,3-bisphosphoglycerate as the primer of the reaction. Can also catalyze the reaction of EC 5.4.2.4 (synthase), but with a reduced activity.
Post Translational Modifications: Acetylated at Lys-253, Lys-253 and Lys-254 under high glucose condition. Acetylation increases catalytic activity. Under glucose restriction SIRT1 levels dramatically increase and it deacetylates the enzyme.
Subunit Structure: Homodimer.
Similarity: Belongs to the phosphoglycerate mutase family. BPG-dependent PGAM subfamily.
Post Translational Modifications: Acetylated at Lys-253, Lys-253 and Lys-254 under high glucose condition. Acetylation increases catalytic activity. Under glucose restriction SIRT1 levels dramatically increase and it deacetylates the enzyme.
Subunit Structure: Homodimer.
Similarity: Belongs to the phosphoglycerate mutase family. BPG-dependent PGAM subfamily.
NCBI and Uniprot Product Information
NCBI GI #
NCBI GeneID
UniProt Accession #
Molecular Weight
Observed: 29 kDa
Predicted: 29 kDa
Predicted: 29 kDa
NCBI Official Full Name
Phosphoglycerate mutase 1
NCBI Official Synonym Full Names
phosphoglycerate mutase 1
NCBI Official Symbol
PGAM1
NCBI Official Synonym Symbols
PGAMA; PGAM-B; HEL-S-35
NCBI Protein Information
phosphoglycerate mutase 1
UniProt Protein Name
Phosphoglycerate mutase 1
UniProt Gene Name
PGAM1
UniProt Synonym Gene Names
PGAMA; PGAM-B
UniProt Entry Name
PGAM1_HUMAN
Customer Reviews
Loading reviews...
Share Your Experience
Similar Products
Product Notes
The PGAM1 pgam1 (Catalog #AAA328700) is an Antibody produced from Rabbit and is intended for research purposes only. The product is available for immediate purchase. The PGAM1 Antibody reacts with Human, Mouse, Rat Predicted: Pig, Bovine, Horse, Sheep, Rabbit, Dog, Chicken, Xenopus and may cross-react with other species as described in the data sheet. AAA Biotech's PGAM1 can be used in a range of immunoassay formats including, but not limited to, WB (Western Blot). Researchers should empirically determine the suitability of the PGAM1 pgam1 for an application not listed in the data sheet. Researchers commonly develop new applications and it is an integral, important part of the investigative research process. It is sometimes possible for the material contained within the vial of "PGAM1, Polyclonal Antibody" to become dispersed throughout the inside of the vial, particularly around the seal of said vial, during shipment and storage. We always suggest centrifuging these vials to consolidate all of the liquid away from the lid and to the bottom of the vial prior to opening. Please be advised that certain products may require dry ice for shipping and that, if this is the case, an additional dry ice fee may also be required.Precautions
All products in the AAA Biotech catalog are strictly for research-use only, and are absolutely not suitable for use in any sort of medical, therapeutic, prophylactic, in-vivo, or diagnostic capacity. By purchasing a product from AAA Biotech, you are explicitly certifying that said products will be properly tested and used in line with industry standard. AAA Biotech and its authorized distribution partners reserve the right to refuse to fulfill any order if we have any indication that a purchaser may be intending to use a product outside of our accepted criteria.Disclaimer
Though we do strive to guarantee the information represented in this datasheet, AAA Biotech cannot be held responsible for any oversights or imprecisions. AAA Biotech reserves the right to adjust any aspect of this datasheet at any time and without notice. It is the responsibility of the customer to inform AAA Biotech of any product performance issues observed or experienced within 30 days of receipt of said product. To see additional details on this or any of our other policies, please see our Terms & Conditions page.Item has been added to Shopping Cart
If you are ready to order, navigate to Shopping Cart and get ready to checkout.
