Rabbit anti-Human Phospholipid transfer Polyclonal Antibody | anti-PLTP antibody
Phospholipid transfer Polyclonal Antibody
Gene Names
PLTP; BPIFE; HDLCQ9
Reactivity
Human
Applications
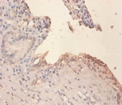
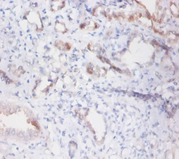
Immunohistochemistry
Purity
Caprylic Acid Ammonium Sulfate Precipitation purified
Synonyms
Phospholipid transfer, Antibody; Phospholipid transfer Polyclonal Antibody; Lipid transfer protein II PLTP; anti-PLTP antibody
Host
Rabbit
Reactivity
Human
Clonality
Polyclonal
Specificity
The antibody detects endogenous level of total Phospholipid transfer polyclonal antibody.
Purity/Purification
Caprylic Acid Ammonium Sulfate Precipitation purified
Form/Format
Preservative: 0.03% Proclin 300 Constituents: 50% Glycerol, 0.01M PBS, PH 7.4
Concentration
1.0 mg/ml (varies by lot)
Sequence Length
398
Applicable Applications for anti-PLTP antibody
IHC (Immunohistochemistry)
Immunogen
Recombinant Human Phospholipid transfer protein
Immunogen Type
Protein
Preparation and Storage
Store at -20 degree C
Related Product Information for anti-PLTP antibody
Facilitates the transfer of a spectrum of different lipid molecules, including diacylglycerol, phosphatidic acid, sphingomyelin, phosphatidylcholine, phosphatidylglycerol, cerebroside and phosphatidyl ethanolamine. Essential for the transfer of excess surface lipids from triglyceride-rich lipoproteins to HDL, thereby facilitating the formation of smaller lipoprotein remnants, contributing to the formation of LDL, and assisting in the maturation of HDL particles. PLTP also plays a key role in the uptake of cholesterol from peripheral cells and tissues that is subsequently transported to the liver for degradation and excretion. Two distinct forms of PLTP exist in plasma: an active form that can transfer PC from phospholipid vesicles to high-density lipoproteins (HDL), and an inactive form that lacks this capability.
Product Categories/Family for anti-PLTP antibody
NCBI and Uniprot Product Information
NCBI GI #
NCBI GeneID
NCBI Accession #
NCBI GenBank Nucleotide #
Molecular Weight
44,847 Da
NCBI Official Full Name
phospholipid transfer protein isoform c
NCBI Official Synonym Full Names
phospholipid transfer protein
NCBI Official Symbol
PLTP
NCBI Official Synonym Symbols
BPIFE; HDLCQ9
NCBI Protein Information
phospholipid transfer protein
UniProt Protein Name
Phospholipid transfer protein
UniProt Gene Name
PLTP
UniProt Entry Name
PLTP_HUMAN
Customer Reviews
Loading reviews...
Share Your Experience
Similar Products
Product Notes
The PLTP pltp (Catalog #AAA308893) is an Antibody produced from Rabbit and is intended for research purposes only. The product is available for immediate purchase. The Phospholipid transfer Polyclonal Antibody reacts with Human and may cross-react with other species as described in the data sheet. AAA Biotech's Phospholipid transfer can be used in a range of immunoassay formats including, but not limited to, IHC (Immunohistochemistry). Researchers should empirically determine the suitability of the PLTP pltp for an application not listed in the data sheet. Researchers commonly develop new applications and it is an integral, important part of the investigative research process. It is sometimes possible for the material contained within the vial of "Phospholipid transfer, Polyclonal Antibody" to become dispersed throughout the inside of the vial, particularly around the seal of said vial, during shipment and storage. We always suggest centrifuging these vials to consolidate all of the liquid away from the lid and to the bottom of the vial prior to opening. Please be advised that certain products may require dry ice for shipping and that, if this is the case, an additional dry ice fee may also be required.Precautions
All products in the AAA Biotech catalog are strictly for research-use only, and are absolutely not suitable for use in any sort of medical, therapeutic, prophylactic, in-vivo, or diagnostic capacity. By purchasing a product from AAA Biotech, you are explicitly certifying that said products will be properly tested and used in line with industry standard. AAA Biotech and its authorized distribution partners reserve the right to refuse to fulfill any order if we have any indication that a purchaser may be intending to use a product outside of our accepted criteria.Disclaimer
Though we do strive to guarantee the information represented in this datasheet, AAA Biotech cannot be held responsible for any oversights or imprecisions. AAA Biotech reserves the right to adjust any aspect of this datasheet at any time and without notice. It is the responsibility of the customer to inform AAA Biotech of any product performance issues observed or experienced within 30 days of receipt of said product. To see additional details on this or any of our other policies, please see our Terms & Conditions page.Item has been added to Shopping Cart
If you are ready to order, navigate to Shopping Cart and get ready to checkout.
