Rabbit PIAS2 Polyclonal Antibody | anti-PIAS2 antibody
PIAS2 Antibody
Phosphate buffered saline, pH 7.4, 150mM NaCl, 0.02% sodium azide and 50% glycerol.
WB (Western Blot)
(Western blot analysis of K562 whole cell lysates, using PIAS2 Antibody. The lane on the left is treated with the antigen-specific peptide.)
IF (Immunofluorescence)
(AAA327139 staining HepG2 by IF/ICC. The sample were fixed with PFA and permeabilized in 0.1% Triton X-100, then blocked in 10% serum for 45 minutes at 25 degree C. The primary antibody was diluted at 1/200 and incubated with the sample for 1 hour at 37 degree C. An Alexa Fluor 594 conjugated goat anti-rabbit IgG (H+L) Ab, diluted at 1/600, was used as the secondary antibody.)
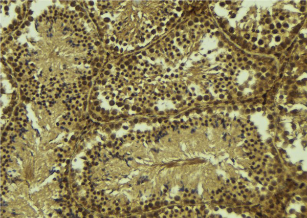
IHC (Immunohistochemistry)
(AAA327139 at 1/100 staining Mouse testis tissue by IHC-P. The sample was formaldehyde fixed and a heat mediated antigen retrieval step in citrate buffer was performed. The sample was then blocked and incubated with the antibody for 1.5 hours at 22 degree C. An HRP conjugated goat anti-rabbit antibody was used as the secondary.)
Function: Functions as an E3-type small ubiquitin-like modifier (SUMO) ligase, stabilizing the interaction between UBE2I and the substrate, and as a SUMO-tethering factor. Plays a crucial role as a transcriptional coregulator in various cellular pathways, including the STAT pathway, the p53 pathway and the steroid hormone signaling pathway. The effects of this transcriptional coregulation, transactivation or silencing may vary depending upon the biological context and the PIAS2 isoform studied. However, it seems to be mostly involved in gene silencing. Binds to sumoylated ELK1 and enhances its transcriptional activity by preventing recruitment of HDAC2 by ELK1, thus reversing SUMO-mediated repression of ELK1 transactivation activity. Isoform PIAS2-beta, but not isoform PIAS2-alpha, promotes MDM2 sumoylation. Isoform PIAS2-alpha promotes PARK7 sumoylation. Isoform PIAS2-beta promotes NCOA2 sumoylation more efficiently than isoform PIAS2-alpha. Isoform PIAS2-alpha sumoylates PML at'Lys-65' and 'Lys-160'.
Subunit Structure: Binds SUMO1 and UBE2I. Interacts with AXIN1, JUN, MDM2, PARK7, TP53 and TP73 isoform alpha, but not TP73 isoform beta. Interacts with STAT4 following IL12 and IFN-alpha stimulation of T-cells. Interacts also with GTF2I, GTF2IRD1, IKFZ1, DAB2 and MSX2, as well as with several steroid receptors, including ESR1, ESR2, NR3C1, PGR, AR, and with NCOA2 (By similarity). Sumoylation of a target protein seems to enhance the interaction. Binds to sumoylated ELK1. Binds DNA, such as CDKN1A promoter, in a sequence-specific manner. Interacts with PLAG1. Interacts with KLF8; the interaction results in SUMO ligation and repression of KLF8 transcriptional activity and of its cell cycle progression into G1 phase. PIAS2-beta interacts with IFIH1/MDA5. Isoform PIAS2-alpha interacts with PML (isoform PML-12).
Post-translational Modifications: Sumoylated.
Similarity: The LXXLL motif is a transcriptional coregulator signature. Belongs to the PIAS family.
NCBI and Uniprot Product Information
Predicted: 69 kDa
Customer Reviews
Loading reviews...
Share Your Experience
Similar Products
Product Notes
The PIAS2 pias2 (Catalog #AAA327139) is an Antibody produced from Rabbit and is intended for research purposes only. The product is available for immediate purchase. The PIAS2 Antibody reacts with Human, Mouse, Rat and may cross-react with other species as described in the data sheet. AAA Biotech's PIAS2 can be used in a range of immunoassay formats including, but not limited to, ELISA, ICC (Immunocytochemistry), IF (Immunofluorescence), IHC (Immunohistochemistry), WB (Western Blot). Researchers should empirically determine the suitability of the PIAS2 pias2 for an application not listed in the data sheet. Researchers commonly develop new applications and it is an integral, important part of the investigative research process. It is sometimes possible for the material contained within the vial of "PIAS2, Polyclonal Antibody" to become dispersed throughout the inside of the vial, particularly around the seal of said vial, during shipment and storage. We always suggest centrifuging these vials to consolidate all of the liquid away from the lid and to the bottom of the vial prior to opening. Please be advised that certain products may require dry ice for shipping and that, if this is the case, an additional dry ice fee may also be required.Precautions
All products in the AAA Biotech catalog are strictly for research-use only, and are absolutely not suitable for use in any sort of medical, therapeutic, prophylactic, in-vivo, or diagnostic capacity. By purchasing a product from AAA Biotech, you are explicitly certifying that said products will be properly tested and used in line with industry standard. AAA Biotech and its authorized distribution partners reserve the right to refuse to fulfill any order if we have any indication that a purchaser may be intending to use a product outside of our accepted criteria.Disclaimer
Though we do strive to guarantee the information represented in this datasheet, AAA Biotech cannot be held responsible for any oversights or imprecisions. AAA Biotech reserves the right to adjust any aspect of this datasheet at any time and without notice. It is the responsibility of the customer to inform AAA Biotech of any product performance issues observed or experienced within 30 days of receipt of said product. To see additional details on this or any of our other policies, please see our Terms & Conditions page.Item has been added to Shopping Cart
If you are ready to order, navigate to Shopping Cart and get ready to checkout.
