Rabbit PICK1 Polyclonal Antibody | anti-PICK1 antibody
PICK1 Antibody
Phosphate buffered saline, pH 7.4, 150mM NaCl, 0.02% sodium azide and 50% glycerol.
WB (Western Blot)
(Western blot analysis of Rat brain lysates, using PICK1 Antibody. The lane on the left is treated with the antigen-specific peptide.)
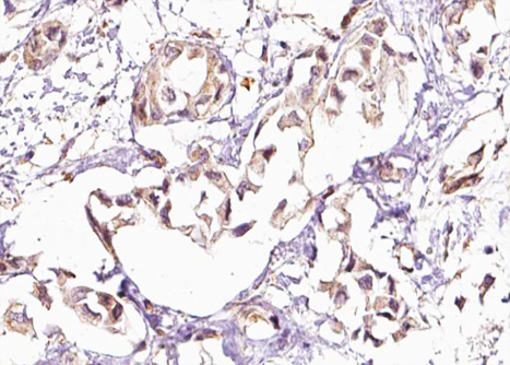
IHC (Immunohistochemistry)
(AAA326207 at 1/100 staining Human breast cancer tissue by IHC-P. The sample was formaldehyde fixed and a heat mediated antigen retrieval step in citrate buffer was performed. The sample was then blocked and incubated with the antibody for 1.5 hours at 22 degree C. An HRP conjugated goat anti-rabbit antibody was used as the secondary.)
Function: Probable adapter protein that bind to and organize the subcellular localization of a variety of membrane proteins containing some PDZ recognition sequence. Involved in the clustering of various receptors, possibly by acting at the receptor internalization level. Plays a role in synaptic plasticity by regulating the trafficking and internalization of AMPA receptors. May be regulated upon PRKCA activation. May regulate ASIC1/ASIC3 channel. Regulates actin polymerization by inhibiting the actin-nucleating activity of the Arp2/3 complex; the function is competetive with nucleation promoting factors and is linked to neuronal morphology regulation and AMPA receptor (AMPAR) endocytosis. Via interaction with the Arp2/3 complex involved in regulation of synaptic plasicity of excitatory synapses and required for spine shrinkage during long-term depression (LTD). Involved in regulation of astrocyte morphology, antagonistic to Arp2/3 complex activator WASL/N-WASP function.
Subunit Structure: Monomer and homodimer. Interacts with CXADR. Interacts presynaptically with the glutamate receptors GRIA2, GRIA3, GRIK3, isoform 3 of GRIA4, isoform A of GRM4, GRM7 and GRM8; with NAPA and NAPB; and with BTG2. The interaction with NAPA and NAPB disrupts the interaction with GRIA2, conducting to the internalization of GRIA2. Interacts with PRKCA; with the amine transporters SLC6A2 and SLC6A3; with the channels ASIC1 and ASIC2; with the GTP-binding proteins ARF1 and ARF3; with the ephrin receptor tyrosine kinases EPHA7, EPHB1 and EPHB2; with ERBB2 and through its PDZ domain with the C-terminal tail of PRLHR. Interacts with UNC5A. Interacts (via AH domain) with NCS1/FREQ; in a calcium-dependent manner. Interacts with F-actin and associates with the ARP2/3 complex. Interacts (via PDZ domain) with ARF1 (activated); the interaction blocks Arp2/3 complex inhibition.
Post-translational Modifications: Phosphorylation at Thr-82 appears to inhibit the interaction with AMPA receptors. Palmitoylation on Cys-413 is essential for long-term synaptic depression (LTD).
Similarity: The AH domain mediates binding to F-actin.The unoccupied PDZ domain is probably involved in allosteric modulation by forming an intramolecular bridge with the AH domain leading to a 'closed' formation. Binding of a PDZ ligand, such as GRIA2, allows enhanced interactions with F-actin and the Arp2/3 complex thus enhanced inhibition of actin polymerization (By similarity).
NCBI and Uniprot Product Information
Predicted: 47 kDa
Customer Reviews
Loading reviews...
Share Your Experience
Similar Products
Product Notes
The PICK1 pick1 (Catalog #AAA326207) is an Antibody produced from Rabbit and is intended for research purposes only. The product is available for immediate purchase. The PICK1 Antibody reacts with Human, Mouse, Rat and may cross-react with other species as described in the data sheet. AAA Biotech's PICK1 can be used in a range of immunoassay formats including, but not limited to, ELISA, IHC (Immunohistochemistry), WB (Western Blot). Researchers should empirically determine the suitability of the PICK1 pick1 for an application not listed in the data sheet. Researchers commonly develop new applications and it is an integral, important part of the investigative research process. It is sometimes possible for the material contained within the vial of "PICK1, Polyclonal Antibody" to become dispersed throughout the inside of the vial, particularly around the seal of said vial, during shipment and storage. We always suggest centrifuging these vials to consolidate all of the liquid away from the lid and to the bottom of the vial prior to opening. Please be advised that certain products may require dry ice for shipping and that, if this is the case, an additional dry ice fee may also be required.Precautions
All products in the AAA Biotech catalog are strictly for research-use only, and are absolutely not suitable for use in any sort of medical, therapeutic, prophylactic, in-vivo, or diagnostic capacity. By purchasing a product from AAA Biotech, you are explicitly certifying that said products will be properly tested and used in line with industry standard. AAA Biotech and its authorized distribution partners reserve the right to refuse to fulfill any order if we have any indication that a purchaser may be intending to use a product outside of our accepted criteria.Disclaimer
Though we do strive to guarantee the information represented in this datasheet, AAA Biotech cannot be held responsible for any oversights or imprecisions. AAA Biotech reserves the right to adjust any aspect of this datasheet at any time and without notice. It is the responsibility of the customer to inform AAA Biotech of any product performance issues observed or experienced within 30 days of receipt of said product. To see additional details on this or any of our other policies, please see our Terms & Conditions page.Item has been added to Shopping Cart
If you are ready to order, navigate to Shopping Cart and get ready to checkout.
