Rabbit anti-Human PIF1 Polyclonal Antibody | anti-PIF1 antibody
PIF1 Antibody
Gene Names
PIF1; PIF; C15orf20
Reactivity
Human
Applications
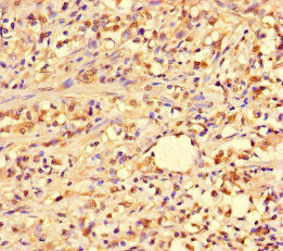
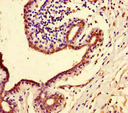
Immunohistochemistry, ELISA
Purity
>95%, Protein G purified
Synonyms
PIF1, Antibody; PIF1 Antibody; ATP-dependent DNA helicase PIF1UniRule annotation; DNA repair and recombination helicase PIF1; PIF1; anti-PIF1 antibody
Host
Rabbit
Reactivity
Human
Clonality
Polyclonal
Isotype
IgG
Purity/Purification
>95%, Protein G purified
Form/Format
Liquid
Sequence Length
641
Applicable Applications for anti-PIF1 antibody
IHC (Immunohistochemistry), ELISA
Species
Human
Immunogen
Recombinant human ATP-dependent DNA helicase PIF1 protein
Conjugate
Non-conjugated
Buffer
Preservative: 0.03% Proclin 300
Constituents: 50% Glycerol, 0.01M PBS, PH 7.4
Constituents: 50% Glycerol, 0.01M PBS, PH 7.4
Santa Cruz Alternative
Potential replacement for Santa Cruz Biotechnology antibody catalog# sc-69202 / sc-69200 / sc-68870
Preparation and Storage
Shipped at 4 degree C. Upon delivery aliquot and store at -20 degree C or -80 degree C. Avoid repeated freeze.
Related Product Information for anti-PIF1 antibody
DNA-dependent ATPase and 5'-3' DNA helicase required for the maintenance of both mitochondrial and nuclear genome stability. Efficiently unwinds G-quadruplex (G4) DNA structures and forked RNA-DNA hybrids. Resolves G4 structures, preventing replication pausing and double-strand breaks (DSBs) at G4 motifs. Involved in the maintenance of telomeric DNA. Inhibits telomere elongation, de novo telomere formation and telomere addition to DSBs via catalytic inhibition of telomerase. Reduces the processivity of telomerase by displacing active telomerase from DNA ends. Releases telomerase by unwinding the short telomerase RNA/telomeric DNA hybrid that is the intermediate in the telomerase reaction. Possesses an intrinsic strand annealing activity.
NCBI and Uniprot Product Information
NCBI GI #
NCBI GeneID
NCBI Accession #
NCBI GenBank Nucleotide #
Molecular Weight
63,889 Da
NCBI Official Full Name
ATP-dependent DNA helicase PIF1 isoform a
NCBI Official Synonym Full Names
PIF1 5'-to-3' DNA helicase
NCBI Official Symbol
PIF1
NCBI Official Synonym Symbols
PIF; C15orf20
NCBI Protein Information
ATP-dependent DNA helicase PIF1
UniProt Protein Name
ATP-dependent DNA helicase PIF1
UniProt Gene Name
PIF1
UniProt Entry Name
PIF1_HUMAN
Customer Reviews
Loading reviews...
Share Your Experience
Similar Products
Product Notes
The PIF1 pif1 (Catalog #AAA231774) is an Antibody produced from Rabbit and is intended for research purposes only. The product is available for immediate purchase. The PIF1 Antibody reacts with Human and may cross-react with other species as described in the data sheet. AAA Biotech's PIF1 can be used in a range of immunoassay formats including, but not limited to, IHC (Immunohistochemistry), ELISA. Researchers should empirically determine the suitability of the PIF1 pif1 for an application not listed in the data sheet. Researchers commonly develop new applications and it is an integral, important part of the investigative research process. It is sometimes possible for the material contained within the vial of "PIF1, Polyclonal Antibody" to become dispersed throughout the inside of the vial, particularly around the seal of said vial, during shipment and storage. We always suggest centrifuging these vials to consolidate all of the liquid away from the lid and to the bottom of the vial prior to opening. Please be advised that certain products may require dry ice for shipping and that, if this is the case, an additional dry ice fee may also be required.Precautions
All products in the AAA Biotech catalog are strictly for research-use only, and are absolutely not suitable for use in any sort of medical, therapeutic, prophylactic, in-vivo, or diagnostic capacity. By purchasing a product from AAA Biotech, you are explicitly certifying that said products will be properly tested and used in line with industry standard. AAA Biotech and its authorized distribution partners reserve the right to refuse to fulfill any order if we have any indication that a purchaser may be intending to use a product outside of our accepted criteria.Disclaimer
Though we do strive to guarantee the information represented in this datasheet, AAA Biotech cannot be held responsible for any oversights or imprecisions. AAA Biotech reserves the right to adjust any aspect of this datasheet at any time and without notice. It is the responsibility of the customer to inform AAA Biotech of any product performance issues observed or experienced within 30 days of receipt of said product. To see additional details on this or any of our other policies, please see our Terms & Conditions page.Item has been added to Shopping Cart
If you are ready to order, navigate to Shopping Cart and get ready to checkout.
