Rabbit anti-Human PIKFYV Polyclonal Antibody | anti-PIKFYV antibody
PIKFYV Antibody
Gene Names
PIKFYVE; CFD; FAB1; HEL37; PIP5K; PIP5K3; ZFYVE29
Reactivity
Human
Applications
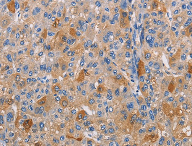
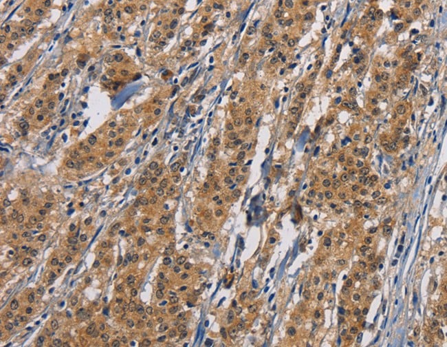
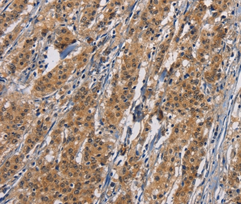
Immunohistochemistry
Purity
Antigen affinity purification.
Synonyms
PIKFYV, Antibody; PIKFYV Antibody; CFD; FAB1; PIP5K; PIP5K3; ZFYVE29; anti-PIKFYV antibody
Host
Rabbit
Reactivity
Human
Clonality
Polyclonal
Specificity
The antibody detects endogenous levels of total PIKFYV protein.
Purity/Purification
Antigen affinity purification.
Form/Format
Rabbit IgG in pH7.3 PBS, 0.05% NaN3, 50% Glycerol.
Concentration
2.1 mg/ml (varies by lot)
Sequence Length
548
Applicable Applications for anti-PIKFYV antibody
IHC (Immunohistochemistry)
Immunogen Type
Recombinant Protein
Immunogen Description
Fusion protein corresponding to residues near the C terminal of human phosphoinositide kinase, FYVE finger containing
Target Name
PIKFYV
Preparation and Storage
Store at -20 degree C
Related Product Information for anti-PIKFYV antibody
Phosphorylated derivatives of phosphatidylinositol (PtdIns) regulate cytoskeletal functions, membrane trafficking, and receptor signaling by recruiting protein complexes to cell- and endosomal-membranes. Humans have multiple PtdIns proteins that differ by the degree and position of phosphorylation of the inositol ring. This gene encodes an enzyme (PIKfyve; also known as phosphatidylinositol-3-phosphate 5-kinase type III or PIPKIII) that phosphorylates the D-5 position in PtdIns and phosphatidylinositol-3-phosphate (PtdIns3P) to make PtdIns5P and PtdIns(3,5)biphosphate.
Product Categories/Family for anti-PIKFYV antibody
NCBI and Uniprot Product Information
NCBI GI #
NCBI GeneID
NCBI Accession #
NCBI GenBank Nucleotide #
Molecular Weight
61,595 Da
NCBI Official Full Name
1-phosphatidylinositol 3-phosphate 5-kinase isoform 4
NCBI Official Synonym Full Names
phosphoinositide kinase, FYVE finger containing
NCBI Official Symbol
PIKFYVE
NCBI Official Synonym Symbols
CFD; FAB1; HEL37; PIP5K; PIP5K3; ZFYVE29
NCBI Protein Information
1-phosphatidylinositol 3-phosphate 5-kinase
UniProt Protein Name
1-phosphatidylinositol 3-phosphate 5-kinase
UniProt Gene Name
PIKFYVE
UniProt Synonym Gene Names
KIAA0981; PIP5K3; Phosphatidylinositol 3-phosphate 5-kinase; PIPkin-III; Type III PIP kinase
UniProt Entry Name
FYV1_HUMAN
Customer Reviews
Loading reviews...
Share Your Experience
Similar Products
Product Notes
The PIKFYV pikfyve (Catalog #AAA304200) is an Antibody produced from Rabbit and is intended for research purposes only. The product is available for immediate purchase. The PIKFYV Antibody reacts with Human and may cross-react with other species as described in the data sheet. AAA Biotech's PIKFYV can be used in a range of immunoassay formats including, but not limited to, IHC (Immunohistochemistry). Researchers should empirically determine the suitability of the PIKFYV pikfyve for an application not listed in the data sheet. Researchers commonly develop new applications and it is an integral, important part of the investigative research process. It is sometimes possible for the material contained within the vial of "PIKFYV, Polyclonal Antibody" to become dispersed throughout the inside of the vial, particularly around the seal of said vial, during shipment and storage. We always suggest centrifuging these vials to consolidate all of the liquid away from the lid and to the bottom of the vial prior to opening. Please be advised that certain products may require dry ice for shipping and that, if this is the case, an additional dry ice fee may also be required.Precautions
All products in the AAA Biotech catalog are strictly for research-use only, and are absolutely not suitable for use in any sort of medical, therapeutic, prophylactic, in-vivo, or diagnostic capacity. By purchasing a product from AAA Biotech, you are explicitly certifying that said products will be properly tested and used in line with industry standard. AAA Biotech and its authorized distribution partners reserve the right to refuse to fulfill any order if we have any indication that a purchaser may be intending to use a product outside of our accepted criteria.Disclaimer
Though we do strive to guarantee the information represented in this datasheet, AAA Biotech cannot be held responsible for any oversights or imprecisions. AAA Biotech reserves the right to adjust any aspect of this datasheet at any time and without notice. It is the responsibility of the customer to inform AAA Biotech of any product performance issues observed or experienced within 30 days of receipt of said product. To see additional details on this or any of our other policies, please see our Terms & Conditions page.Item has been added to Shopping Cart
If you are ready to order, navigate to Shopping Cart and get ready to checkout.
