Rabbit PKA CAT Polyclonal Antibody | anti-PKACA antibody
Phospho-PKA CAT (Thr197) Antibody
Predicted: Pig, Bovine, Horse, Sheep, Dog, Xenopus
Predicted: Pig, Bovine, Horse, Sheep, Dog, Xenopus
WB (Western Blot)
(Western blot analysis of extracts of mouse brain tissue sample,using Phospho-PKA CAT (Thr197) Antibody.)
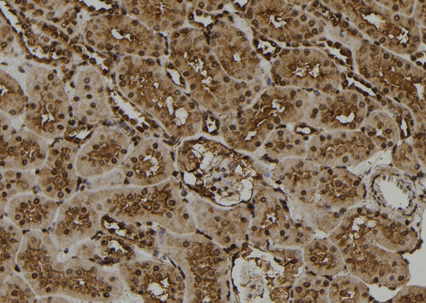
IHC (Immunohistochemisry)
(At 1/100 staining human kidney tissue sections by IHC-P. The tissue was formaldehyde fixed and a heat mediated antigen retrieval step in citrate buffer was performed. The tissue was then blocked and incubated with the antibody for 1.5 hours at 22 degree C. An HRP conjugated goat anti-rabbit antibody was used as the secondary)
IHC (Immunohiostchemistry)
(At 1/100 staining rat kidney tissue sections by IHC-P. The tissue was formaldehyde fixed and a heat mediated antigen retrieval step in citrate buffer was performed. The tissue was then blocked and incubated with the antibody for 1.5 hours at 22 degree C. An HRP conjugated goat anti-rabbit antibody was used as the secondary)
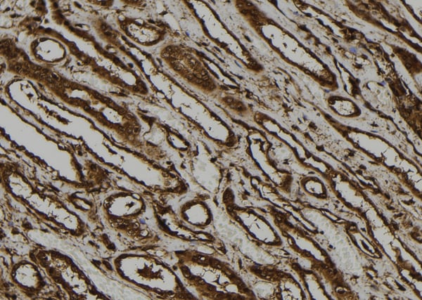
IHC (Immunohistochemistry)
(At 1/100 staining mouse heart tissue sections by IHC-P. The tissue was formaldehyde fixed and a heat mediated antigen retrieval step in citrate buffer was performed. The tissue was then blocked and incubated with the antibody for 1.5 hours at 22 degree C. An HRP conjugated goat anti-rabbit antibody was used as the secondary)
Post Translational Modifications: Asn-3 is partially deaminated to Asp giving rise to 2 major isoelectric variants, called CB and CA respectively. Autophosphorylated. Phosphorylation is enhanced by vitamin K2. Phosphorylated on threonine and serine residues. Phosphorylation on Thr-198 is required for full activity. Phosphorylated at Tyr-331 by activated receptor tyrosine kinases EGFR and PDGFR; this increases catalytic efficienncy.
Subunit Structure: A number of inactive tetrameric holoenzymes are produced by the combination of homo- or heterodimers of the different regulatory subunits associated with two catalytic subunits. cAMP causes the dissociation of the inactive holoenzyme into a dimer of regulatory subunits bound to four cAMP and two free monomeric catalytic subunits. The cAMP-dependent protein kinase catalytic subunit binds PJA2. Both isoforms 1 and 2 forms activate cAMP-sensitive PKAI and PKAII holoenzymes by interacting with regulatory subunit (R) of PKA, PRKAR1A/PKR1 and PRKAR2A/PKR2, respectively. Interacts with NFKB1, NFKB2 and NFKBIA in platelets; these interactions are disrupted by thrombin and collagen. Binds to ABL1 in spermatozoa and with CDC25B in oocytes. Interacts with APOBEC3G and AICDA. Interacts with RAB13; downstream effector of RAB13 involved in tight junction assembly. Found in a complex at least composed of MROH2B, PRKACA isoform 2 and TCP11 (By similarity). Interacts with MROH2B (By similarity). Isoform 2 interacts with TCP11 (By similarity). Interacts with HSF1 (PubMed:21085490).
Similarity: Belongs to the protein kinase superfamily. AGC Ser/Thr protein kinase family. cAMP subfamily.
NCBI and Uniprot Product Information
Predicted: 41 kDa
Customer Reviews
Loading reviews...
Share Your Experience
Similar Products
Product Notes
The PKACA prkaca (Catalog #AAA328402) is an Antibody produced from Rabbit and is intended for research purposes only. The product is available for immediate purchase. The Phospho-PKA CAT (Thr197) Antibody reacts with Human, Mouse, Rat Predicted: Pig, Bovine, Horse, Sheep, Dog, Xenopus and may cross-react with other species as described in the data sheet. AAA Biotech's PKA CAT can be used in a range of immunoassay formats including, but not limited to, ELISA (Peptide ELISA), IHC (Immunohistochemistry), WB (Western Blot). Researchers should empirically determine the suitability of the PKACA prkaca for an application not listed in the data sheet. Researchers commonly develop new applications and it is an integral, important part of the investigative research process. It is sometimes possible for the material contained within the vial of "PKA CAT, Polyclonal Antibody" to become dispersed throughout the inside of the vial, particularly around the seal of said vial, during shipment and storage. We always suggest centrifuging these vials to consolidate all of the liquid away from the lid and to the bottom of the vial prior to opening. Please be advised that certain products may require dry ice for shipping and that, if this is the case, an additional dry ice fee may also be required.Precautions
All products in the AAA Biotech catalog are strictly for research-use only, and are absolutely not suitable for use in any sort of medical, therapeutic, prophylactic, in-vivo, or diagnostic capacity. By purchasing a product from AAA Biotech, you are explicitly certifying that said products will be properly tested and used in line with industry standard. AAA Biotech and its authorized distribution partners reserve the right to refuse to fulfill any order if we have any indication that a purchaser may be intending to use a product outside of our accepted criteria.Disclaimer
Though we do strive to guarantee the information represented in this datasheet, AAA Biotech cannot be held responsible for any oversights or imprecisions. AAA Biotech reserves the right to adjust any aspect of this datasheet at any time and without notice. It is the responsibility of the customer to inform AAA Biotech of any product performance issues observed or experienced within 30 days of receipt of said product. To see additional details on this or any of our other policies, please see our Terms & Conditions page.Item has been added to Shopping Cart
If you are ready to order, navigate to Shopping Cart and get ready to checkout.
