PKC iota Polyclonal Antibody | anti-PKC iota antibody
Anti-PKC iota Antibody
IHC (Immunohistochemistry)
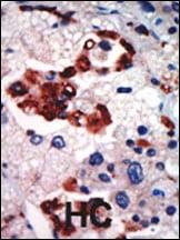
(Anti- PKC iota Picoband antibody, AAA46379,IHC(P)IHC(P): Human Lung Cancer Tissue)
IHC (Immunohistochemisry)
(Anti- PKC iota Picoband antibody, AAA46379,IHC(P)IHC(P): Rat Brain Tissue)
IHC (Immunohiostchemistry)
(Anti- PKC iota Picoband antibody, AAA46379,IHC(P)IHC(P): Mouse Brain Tissue)
WB (Western Blot)
(Anti- PKC iota Picoband antibody, AAA46379, Western blottingAll lanes: Anti PKC iota (AAA46379) at 0.5ug/mlLane 1: SHG Whole Cell Lysate at 40ugLane 2: A549 Whole Cell Lysate at 40ugLane 3: U87 Whole Cell Lysate at 40ugLane 4: 293T Whole Cell Lysate at 40ugLane 5: HELA Whole Cell Lysate at 40ugLane 6: JURKAT Whole Cell Lysate at 40ugPredicted bind size: 68KDObserved bind size: 68KD)
Background: Protein kinase C iota type, also called PKCI, is an enzyme that in humans is encoded by the PRKCI gene. This gene encodes a member of the protein kinase C (PKC) family of serine/threonine protein kinases. This protein kinase is calcium-independent and phospholipid-dependent. It is not activated by phorbolesters or diacylglycerol. This kinase can be recruited to vesicle tubular clusters (VTCs) by direct interaction with the small GTPase RAB2, where this kinase phosphorylates glyceraldehyde-3-phosphate dehydrogenase (GAPD/GAPDH) and plays a role in microtubule dynamics in the early secretory pathway. PRKCI is found to be necessary for BCL-ABL-mediated resistance to drug-induced apoptosis and therefore protects leukemia cells against drug-induced apoptosis. PRKCI is also a hedgehog target gene that forms a positive feedback loop with GLI and exists at increased levels in basal cell carcinomas.
NCBI and Uniprot Product Information
Customer Reviews
Loading reviews...
Share Your Experience
Similar Products
Product Notes
The PKC iota prkci (Catalog #AAA46379) is an Antibody and is intended for research purposes only. The product is available for immediate purchase. The Anti-PKC iota Antibody reacts with Human, Mouse, Rat and may cross-react with other species as described in the data sheet. AAA Biotech's PKC iota can be used in a range of immunoassay formats including, but not limited to, IHC (Immunohistochemistry), WB (Western Blot). Researchers should empirically determine the suitability of the PKC iota prkci for an application not listed in the data sheet. Researchers commonly develop new applications and it is an integral, important part of the investigative research process. It is sometimes possible for the material contained within the vial of "PKC iota, Polyclonal Antibody" to become dispersed throughout the inside of the vial, particularly around the seal of said vial, during shipment and storage. We always suggest centrifuging these vials to consolidate all of the liquid away from the lid and to the bottom of the vial prior to opening. Please be advised that certain products may require dry ice for shipping and that, if this is the case, an additional dry ice fee may also be required.Precautions
All products in the AAA Biotech catalog are strictly for research-use only, and are absolutely not suitable for use in any sort of medical, therapeutic, prophylactic, in-vivo, or diagnostic capacity. By purchasing a product from AAA Biotech, you are explicitly certifying that said products will be properly tested and used in line with industry standard. AAA Biotech and its authorized distribution partners reserve the right to refuse to fulfill any order if we have any indication that a purchaser may be intending to use a product outside of our accepted criteria.Disclaimer
Though we do strive to guarantee the information represented in this datasheet, AAA Biotech cannot be held responsible for any oversights or imprecisions. AAA Biotech reserves the right to adjust any aspect of this datasheet at any time and without notice. It is the responsibility of the customer to inform AAA Biotech of any product performance issues observed or experienced within 30 days of receipt of said product. To see additional details on this or any of our other policies, please see our Terms & Conditions page.Item has been added to Shopping Cart
If you are ready to order, navigate to Shopping Cart and get ready to checkout.
