Rabbit PLCG1 Polyclonal Antibody | anti-PLCG1 antibody
Phospho-PLCG1 (Tyr472) Antibody
Predicted: Pig, Zebrafish, Bovine, Horse, Sheep, Rabbit, Dog, Chicken
Predicted: Pig, Zebrafish, Bovine, Horse, Sheep, Rabbit, Dog, Chicken
WB (Western Blot)
(Western blot analysis of Phospho-PLCG1 (Tyr472) in lysates of COS7 EGF 200ng/ml 30', using Phospho-PLCG1 (Tyr472) Antibody.)
IHC (Immunohistochemisry)
(At 1/100 staining human liver tissue sections by IHC-P. The tissue was formaldehyde fixed and a heat mediated antigen retrieval step in citrate buffer was performed. The tissue was then blocked and incubated with the antibody for 1.5 hours at 22 degree C. An HRP conjugated goat anti-rabbit antibody was used as the secondary)
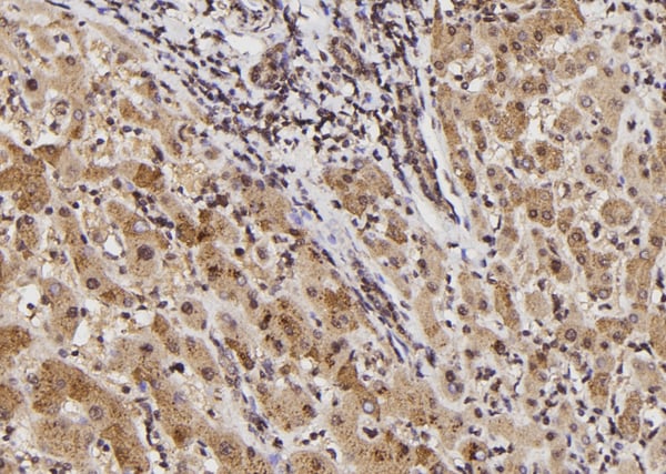
IHC (Immunohiostchemistry)
(At 1/100 staining rat liver tissue sections by IHC-P. The tissue was formaldehyde fixed and a heat mediated antigen retrieval step in citrate buffer was performed. The tissue was then blocked and incubated with the antibody for 1.5 hours at 22 degree C. An HRP conjugated goat anti-rabbit antibody was used as the secondary)
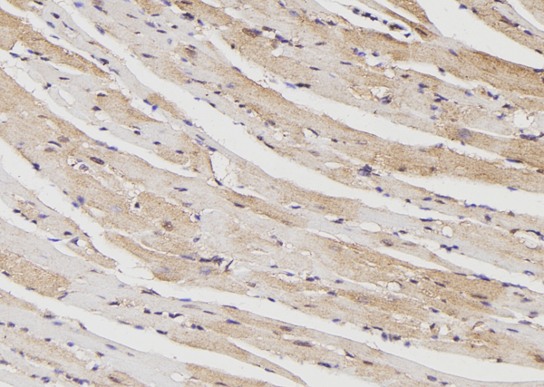
IHC (Immunohistochemistry)
(At 1/100 staining mouse heart tissue sections by IHC-P. The tissue was formaldehyde fixed and a heat mediated antigen retrieval step in citrate buffer was performed. The tissue was then blocked and incubated with the antibody for 1.5 hours at 22 degree C. An HRP conjugated goat anti-rabbit antibody was used as the secondary)
Post Translational Modifications: Tyrosine phosphorylated in response to signaling via activated FLT3, KIT and PDGFRA (By similarity). Tyrosine phosphorylated by activated FGFR1, FGFR2, FGFR3 and FGFR4. Tyrosine phosphorylated by activated FLT1 and KDR. Tyrosine phosphorylated by activated PDGFRB. The receptor-mediated activation of PLCG1 involves its phosphorylation by tyrosine kinases, in response to ligation of a variety of growth factor receptors and immune system receptors. For instance, SYK phosphorylates and activates PLCG1 in response to ligation of the B-cell receptor. May be dephosphorylated by PTPRJ. Phosphorylated by ITK and TXK on Tyr-783 upon TCR activation in T-cells. Ubiquitinated by CBLB in activated T-cells.
Subunit Structure: Interacts with AGAP2 via its SH3 domain. Interacts (via SH2 domain) with RET. Interacts with FLT1 (tyrosine-phosphorylated) (By similarity). Interacts (via SH2 domain) with FGFR1, FGFR2, FGFR3 and FGFR4 (phosphorylated). Interacts with LAT (phosphorylated) upon TCR activation. Interacts (via SH3 domain) with the Pro-rich domain of TNK1. Associates with BLNK, VAV1, GRB2 and NCK1 in a B-cell antigen receptor-dependent fashion. Interacts with CBLB in activated T-cells; which inhibits phosphorylation. Interacts with SHB. Interacts (via SH3 domain) with the Arg/Gly-rich-flanked Pro-rich domains of KHDRBS1/SAM68. This interaction is selectively regulated by arginine methylation of KHDRBS1/SAM68. Interacts with INPP5D/SHIP1, THEMIS and CLNK (By similarity). Interacts with AXL, FLT4 and KIT. Interacts with RALGPS1. Interacts (via SH3 domain) with HEV ORF3 protein. Interacts (via the SH2 domains) with VIL1 (phosphorylated at C-terminus tyrosine phosphorylation sites). Interacts (via SH2 domain) with PDGFRA and PDGFRB (tyrosine phosphorylated). Interacts with PIP5K1C (By similarity). Interacts with NTRK1 and NTRK2 (phosphorylated upon ligand-binding). Interacts with SYK; activates PLCG1. Interacts with GRB2, LAT and THEMIS upon TCR activation in thymocytes (By similarity). Interacts with TESPA1; the association is increased with prolonged stimulation of the TCR and may facilitate the assembly of the LAT signalosome.
Similarity: The SH3 domain mediates interaction with CLNK (By similarity). The SH3 domain also mediates interaction with RALGPS1.
NCBI and Uniprot Product Information
Predicted: 149 kDa
Customer Reviews
Loading reviews...
Share Your Experience
Similar Products
Product Notes
The PLCG1 plcg1 (Catalog #AAA328408) is an Antibody produced from Rabbit and is intended for research purposes only. The product is available for immediate purchase. The Phospho-PLCG1 (Tyr472) Antibody reacts with Human, Mouse, Rat Predicted: Pig, Zebrafish, Bovine, Horse, Sheep, Rabbit, Dog, Chicken and may cross-react with other species as described in the data sheet. AAA Biotech's PLCG1 can be used in a range of immunoassay formats including, but not limited to, ELISA (Peptide ELISA), IHC (Immunohistochemistry), WB (Western Blot). Researchers should empirically determine the suitability of the PLCG1 plcg1 for an application not listed in the data sheet. Researchers commonly develop new applications and it is an integral, important part of the investigative research process. It is sometimes possible for the material contained within the vial of "PLCG1, Polyclonal Antibody" to become dispersed throughout the inside of the vial, particularly around the seal of said vial, during shipment and storage. We always suggest centrifuging these vials to consolidate all of the liquid away from the lid and to the bottom of the vial prior to opening. Please be advised that certain products may require dry ice for shipping and that, if this is the case, an additional dry ice fee may also be required.Precautions
All products in the AAA Biotech catalog are strictly for research-use only, and are absolutely not suitable for use in any sort of medical, therapeutic, prophylactic, in-vivo, or diagnostic capacity. By purchasing a product from AAA Biotech, you are explicitly certifying that said products will be properly tested and used in line with industry standard. AAA Biotech and its authorized distribution partners reserve the right to refuse to fulfill any order if we have any indication that a purchaser may be intending to use a product outside of our accepted criteria.Disclaimer
Though we do strive to guarantee the information represented in this datasheet, AAA Biotech cannot be held responsible for any oversights or imprecisions. AAA Biotech reserves the right to adjust any aspect of this datasheet at any time and without notice. It is the responsibility of the customer to inform AAA Biotech of any product performance issues observed or experienced within 30 days of receipt of said product. To see additional details on this or any of our other policies, please see our Terms & Conditions page.Item has been added to Shopping Cart
If you are ready to order, navigate to Shopping Cart and get ready to checkout.
