Plectin Polyclonal Antibody | anti-PLEC antibody
Anti-Plectin Antibody
IHC (Immunohistochemistry)
(Anti- Plectin Picoband antibody, AAA46302, IHC(P)IHC(P): Human Intestinal Cancer Tissue)
IHC (Immunohistochemisry)
(Anti- Plectin Picoband antibody, AAA46302, IHC(P)IHC(P): Rat Intestine Tissue)
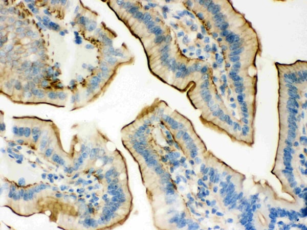
IHC (Immunohiostchemistry)
(Anti- Plectin Picoband antibody, AAA46302, IHC(P)IHC(P): Mouse Intestine Tissue)
WB (Western Blot)
(Anti- Plectin Picoband antibody, AAA46302, Western blottingAll lanes: Anti Plectin (AAA46302) at 0.5ug/mlLane 1: HELA Whole Cell Lysate at 40ugLane 2: Rat Brain Tissue Lysate at 50ugPredicted bind size: 532KDObserved bind size: 532KD)
Background: Plectin, known as PLEC, is a prominent member of an important family of structurally and in part functionally related proteins, termed plakins or cytolinkers, that are capable of interlinking different elements of the cytoskeleton. Plakins, with their multi-domain structure and enormous size, not only play crucial roles in maintaining cell and tissue integrity and orchestrating dynamic changes in cytoarchitecture and cell shape, but also serve as scaffolding platforms for the assembly, positioning, and regulation of signaling complexes. Plectin is expressed as several protein isoforms in a wide range of cell types and tissues from a single gene located on chromosome 8 in humans. The plectin gene locus in mouse on chromosome 15 has been analyzed in detail, revealing a genomic exon-intron organization with well over 40 exons spanning over 62 kb and an unusual 5' transcript complexity of plectin isoforms. Eleven exons (1-1j) have been identified that alternatively splice directly into a common exon 2 which is the first exon to encode plectin's highly conserved actin binding domain (ABD). Three additional exons (-1, 0a, and 0) splice into an alternative first coding exon (1c), and two additional exons (2alpha and 3alpha) are optionally spliced within the exons encoding the acting binding domain (exons 2-8). Analysis of the human locus has identified eight of the eleven alternative 5' exons found in mouse and rat; exons 1i, 1j and 1h have not been confirmed in human. Furthermore, isoforms lacking the central rod domain encoded by exon 31 have been detected in mouse, rat, and human. The short alternative amino-terminal sequences encoded by the different first exons direct the targeting of the various isoforms to distinct subcellular locations. As the expression of specific plectin isoforms was found to be dependent on cell type (tissue) and stage of development, it appears that each cell type (tissue) contains a unique set (proportion and composition) of plectin isoforms, as if custom-made for specific requirements of the particular cells. Concordantly, individual isoforms were found to carry out distinct and specific functions.
NCBI and Uniprot Product Information
Customer Reviews
Loading reviews...
Share Your Experience
Similar Products
Product Notes
The PLEC plec (Catalog #AAA46302) is an Antibody and is intended for research purposes only. The product is available for immediate purchase. The Anti-Plectin Antibody reacts with Human, Mouse, Rat and may cross-react with other species as described in the data sheet. AAA Biotech's Plectin can be used in a range of immunoassay formats including, but not limited to, IHC (Immunohistochemistry), WB (Western Blot). Researchers should empirically determine the suitability of the PLEC plec for an application not listed in the data sheet. Researchers commonly develop new applications and it is an integral, important part of the investigative research process. It is sometimes possible for the material contained within the vial of "Plectin, Polyclonal Antibody" to become dispersed throughout the inside of the vial, particularly around the seal of said vial, during shipment and storage. We always suggest centrifuging these vials to consolidate all of the liquid away from the lid and to the bottom of the vial prior to opening. Please be advised that certain products may require dry ice for shipping and that, if this is the case, an additional dry ice fee may also be required.Precautions
All products in the AAA Biotech catalog are strictly for research-use only, and are absolutely not suitable for use in any sort of medical, therapeutic, prophylactic, in-vivo, or diagnostic capacity. By purchasing a product from AAA Biotech, you are explicitly certifying that said products will be properly tested and used in line with industry standard. AAA Biotech and its authorized distribution partners reserve the right to refuse to fulfill any order if we have any indication that a purchaser may be intending to use a product outside of our accepted criteria.Disclaimer
Though we do strive to guarantee the information represented in this datasheet, AAA Biotech cannot be held responsible for any oversights or imprecisions. AAA Biotech reserves the right to adjust any aspect of this datasheet at any time and without notice. It is the responsibility of the customer to inform AAA Biotech of any product performance issues observed or experienced within 30 days of receipt of said product. To see additional details on this or any of our other policies, please see our Terms & Conditions page.Item has been added to Shopping Cart
If you are ready to order, navigate to Shopping Cart and get ready to checkout.
