Rabbit anti-Human PMP70 Polyclonal Antibody | anti-PMP70 antibody
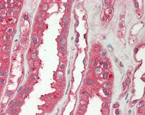
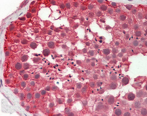
Anti-PMP70 Antibody IHC-plus
Gene Names
ABCD3; ZWS2; ABC43; CBAS5; PMP70; PXMP1
Reactivity
Human
Applications
Western Blot, Immunohistochemistry, Immunohistochemistry
Purity
Affinity purified
Synonyms
PMP70, Antibody; Anti-PMP70 Antibody IHC-plus; Rabbit Polyclonal (IgG) to Human PMP70; Human PMP70; ABC43; PXMP1; ZWS2; Peroxisomal membrane protein 1; PMP68; anti-PMP70 antibody
Host
Rabbit
Reactivity
Human
Clonality
Polyclonal
Isotype
IgG
Purity/Purification
Affinity purified
Form/Format
PBS, pH 7.4, 0.02% sodium azide
Concentration
1 mg/ml (varies by lot)
Sequence Length
659
Applicable Applications for anti-PMP70 antibody
WB (Western Blot), IHC (Immunohistochemistry), IHC (Immunohistochemistry)
Immunogen
PMP70 antibody was raised against recombinant protein
Immunogen Description
Recombinant protein
Immunogen Type
Recombinant protein
Target Species
Human
Preparation and Storage
Store at -20 degree C for up to one year.
Related Product Information for anti-PMP70 antibody
ABCD3 Antibody, ABC43 Antibody, PMP70 Antibody, PXMP1 Antibody, ZWS2 Antibody, Peroxisomal membrane protein 1 Antibody, PMP68 Antibody Description: PMP70 is a member of the superfamily of ATP-binding cassette (ABC) transporters. ABC proteins transport various molecules across extra- and intra-cellular membranes. ABC genes are divided into seven distinct subfamilies (ABC1, MDR/TAP, MRP, ALD, OABP, GCN20, White). This protein is a member of the ALD subfamily, which is involved in peroxisomal import of fatty acids and/or fatty acyl-CoAs in the organelle.
NCBI and Uniprot Product Information
NCBI GI #
NCBI GeneID
NCBI Accession #
NCBI GenBank Nucleotide #
Molecular Weight
27,121 Da
NCBI Official Full Name
ATP-binding cassette sub-family D member 3 isoform a
NCBI Official Synonym Full Names
ATP binding cassette subfamily D member 3
NCBI Official Symbol
ABCD3
NCBI Official Synonym Symbols
ZWS2; ABC43; CBAS5; PMP70; PXMP1
NCBI Protein Information
ATP-binding cassette sub-family D member 3
UniProt Protein Name
ATP-binding cassette sub-family D member 3
UniProt Gene Name
ABCD3
UniProt Synonym Gene Names
PMP70; PXMP1; PMP70
UniProt Entry Name
ABCD3_HUMAN
Customer Reviews
Loading reviews...
Share Your Experience
Similar Products
Product Notes
The PMP70 abcd3 (Catalog #AAA162144) is an Antibody produced from Rabbit and is intended for research purposes only. The product is available for immediate purchase. The Anti-PMP70 Antibody IHC-plus reacts with Human and may cross-react with other species as described in the data sheet. AAA Biotech's PMP70 can be used in a range of immunoassay formats including, but not limited to, WB (Western Blot), IHC (Immunohistochemistry), IHC (Immunohistochemistry). Researchers should empirically determine the suitability of the PMP70 abcd3 for an application not listed in the data sheet. Researchers commonly develop new applications and it is an integral, important part of the investigative research process. It is sometimes possible for the material contained within the vial of "PMP70, Polyclonal Antibody" to become dispersed throughout the inside of the vial, particularly around the seal of said vial, during shipment and storage. We always suggest centrifuging these vials to consolidate all of the liquid away from the lid and to the bottom of the vial prior to opening. Please be advised that certain products may require dry ice for shipping and that, if this is the case, an additional dry ice fee may also be required.Precautions
All products in the AAA Biotech catalog are strictly for research-use only, and are absolutely not suitable for use in any sort of medical, therapeutic, prophylactic, in-vivo, or diagnostic capacity. By purchasing a product from AAA Biotech, you are explicitly certifying that said products will be properly tested and used in line with industry standard. AAA Biotech and its authorized distribution partners reserve the right to refuse to fulfill any order if we have any indication that a purchaser may be intending to use a product outside of our accepted criteria.Disclaimer
Though we do strive to guarantee the information represented in this datasheet, AAA Biotech cannot be held responsible for any oversights or imprecisions. AAA Biotech reserves the right to adjust any aspect of this datasheet at any time and without notice. It is the responsibility of the customer to inform AAA Biotech of any product performance issues observed or experienced within 30 days of receipt of said product. To see additional details on this or any of our other policies, please see our Terms & Conditions page.Item has been added to Shopping Cart
If you are ready to order, navigate to Shopping Cart and get ready to checkout.
