Rabbit PNLIP Polyclonal Antibody | anti-PNLIP antibody
PNLIP antibody - C-terminal region
Gene Names
PNLIP; PL; PTL; PNLIPD
Reactivity
Human, Rabbit
Applications
Western Blot, Immunohistochemistry
Purity
Protein A purified
Synonyms
PNLIP, Antibody; PNLIP antibody - C-terminal region; anti-PNLIP antibody
Host
Rabbit
Reactivity
Human, Rabbit
Clonality
Polyclonal
Purity/Purification
Protein A purified
Form/Format
Liquid. Purified antibody supplied in 1x PBS buffer with 0.09% (w/v) sodium azide and 2% sucrose.
Sequence
Synthetic peptide located within the following region: GHYADRYPGKTNDVGQKFYLDTGDASNFARWRYKVSVTLSGKKVTGHILV
Sequence Length
465
Applicable Applications for anti-PNLIP antibody
WB (Western Blot), IHC (Immunohistochemistry)
Homology
Human: 100%; Rabbit: 82%
Immunogen
The immunogen is a synthetic peptide directed towards the C terminal region of human PNLIP
Preparation and Storage
For short term use, store at 2-8 degree C up to 1 week. For long term storage, store at -20 degree C in small aliquots to prevent freeze-thaw cycles.
Related Product Information for anti-PNLIP antibody
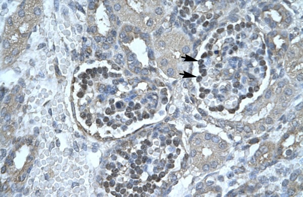
This is a rabbit polyclonal antibody against PNLIP. It was validated on Western Blot and immunohistochemistry
Target Description: PNLIP is a member of the lipase gene family. PNLIP is a carboxyl esterase that hydrolyzes insoluble, emulsified triglycerides, and is essential for the efficient digestion of dietary fats. It is expressed specifically in the pancreas.
Target Description: PNLIP is a member of the lipase gene family. PNLIP is a carboxyl esterase that hydrolyzes insoluble, emulsified triglycerides, and is essential for the efficient digestion of dietary fats. It is expressed specifically in the pancreas.
Product Categories/Family for anti-PNLIP antibody
NCBI and Uniprot Product Information
NCBI GI #
NCBI GeneID
NCBI Accession #
NCBI GenBank Nucleotide #
UniProt Accession #
Molecular Weight
51kDa
NCBI Official Full Name
pancreatic triacylglycerol lipase
NCBI Official Synonym Full Names
pancreatic lipase
NCBI Official Symbol
PNLIP
NCBI Official Synonym Symbols
PL; PTL; PNLIPD
NCBI Protein Information
pancreatic triacylglycerol lipase
UniProt Protein Name
Pancreatic triacylglycerol lipase
UniProt Gene Name
PNLIP
UniProt Synonym Gene Names
PL; PTL
UniProt Entry Name
LIPP_HUMAN
Customer Reviews
Loading reviews...
Share Your Experience
Similar Products
Product Notes
The PNLIP pnlip (Catalog #AAA197678) is an Antibody produced from Rabbit and is intended for research purposes only. The product is available for immediate purchase. The PNLIP antibody - C-terminal region reacts with Human, Rabbit and may cross-react with other species as described in the data sheet. AAA Biotech's PNLIP can be used in a range of immunoassay formats including, but not limited to, WB (Western Blot), IHC (Immunohistochemistry). Researchers should empirically determine the suitability of the PNLIP pnlip for an application not listed in the data sheet. Researchers commonly develop new applications and it is an integral, important part of the investigative research process. The amino acid sequence is listed below: Synthetic peptide located within the following region: GHYADRYPGK TNDVGQKFYL DTGDASNFAR WRYKVSVTLS GKKVTGHILV. It is sometimes possible for the material contained within the vial of "PNLIP, Polyclonal Antibody" to become dispersed throughout the inside of the vial, particularly around the seal of said vial, during shipment and storage. We always suggest centrifuging these vials to consolidate all of the liquid away from the lid and to the bottom of the vial prior to opening. Please be advised that certain products may require dry ice for shipping and that, if this is the case, an additional dry ice fee may also be required.Precautions
All products in the AAA Biotech catalog are strictly for research-use only, and are absolutely not suitable for use in any sort of medical, therapeutic, prophylactic, in-vivo, or diagnostic capacity. By purchasing a product from AAA Biotech, you are explicitly certifying that said products will be properly tested and used in line with industry standard. AAA Biotech and its authorized distribution partners reserve the right to refuse to fulfill any order if we have any indication that a purchaser may be intending to use a product outside of our accepted criteria.Disclaimer
Though we do strive to guarantee the information represented in this datasheet, AAA Biotech cannot be held responsible for any oversights or imprecisions. AAA Biotech reserves the right to adjust any aspect of this datasheet at any time and without notice. It is the responsibility of the customer to inform AAA Biotech of any product performance issues observed or experienced within 30 days of receipt of said product. To see additional details on this or any of our other policies, please see our Terms & Conditions page.Item has been added to Shopping Cart
If you are ready to order, navigate to Shopping Cart and get ready to checkout.
