Rabbit POLH Polyclonal Antibody | anti-POLH antibody
POLH Antibody
Phosphate buffered saline, pH 7.4, 150mM NaCl, 0.02% sodium azide and 50% glycerol.
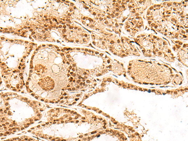
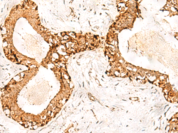
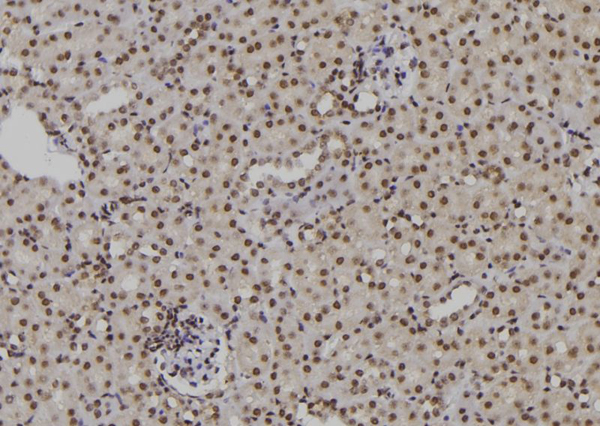
IHC (Immunohiostchemistry)
(AAA326411 at 1/100 staining Mouse kidney tissue by IHC-P. The sample was formaldehyde fixed and a heat mediated antigen retrieval step in citrate buffer was performed. The sample was then blocked and incubated with the antibody for 1.5 hours at 22 degree C. An HRP conjugated goat anti-rabbit antibody was used as the secondary.)
WB (Western Blot)
(Western blot analysis of extracts of A431, using POLH antibody. The lane on the left is treated with the antigen-specific peptide.)
Function: DNA polymerase specifically involved in the DNA repair by translesion synthesis (TLS) (PubMed:10385124, PubMed:11743006, PubMed:24449906). Due to low processivity on both damaged and normal DNA, cooperates with the heterotetrameric (REV3L, REV7, POLD2 and POLD3) POLZ complex for complete bypass of DNA lesions. Inserts one or 2 nucleotide(s) opposite the lesion, the primer is further extended by the tetrameric POLZ complex. In the case of 1, 2-intrastrand d(GpG)-cisplatin cross-link, inserts dCTP opposite the 3' guanine (PubMed:24449906). Particularly important for the repair of UV-induced pyrimidine dimers (PubMed:10385124, PubMed:11743006). Although inserts the correct base, may cause base transitions and transversions depending upon the context. May play a role in hypermutation at immunoglobulin genes (PubMed:11376341, PubMed:14734526). Forms a Schiff base with 5'-deoxyribose phosphate at abasic sites, but does not have any lyase activity, preventing the release of the 5'-deoxyribose phosphate (5'-dRP) residue. This covalent trapping of the enzyme by the 5'-dRP residue inhibits its DNA synthetic activity during base excision repair, thereby avoiding high incidence of mutagenesis (PubMed:14630940). Targets POLI to replication foci (PubMed:12606586).
Subunit Structure: Interacts with REV1 (By similarity). Interacts with monoubiquitinated PCNA, but not unmodified PCNA (PubMed:15149598). Interacts with POLI; this interaction targets POLI to the replication machinery (PubMed:12606586). Interacts with PALB2 and BRCA2; the interactions are direct and are required to sustain the recruitment of POLH at blocked replication forks and to stimulate POLH-dependent DNA synthesis on D loop substrates (PubMed:24485656).
Post-translational Modifications: Monoubiquitinated by RCHY1/PIRH2; ubiquitination inhibits the ability of PolH to interact with PCNA and to bypass UV-induced lesions.
Similarity: The catalytic core consists of fingers, palm and thumb subdomains, but the fingers and thumb subdomains are much smaller than in high-fidelity polymerases; residues from five sequence motifs of the Y-family cluster around an active site cleft that can accommodate DNA and nucleotide substrates with relaxed geometric constraints, with consequently higher rates of misincorporation and low processivity. Belongs to the DNA polymerase type-Y family.
NCBI and Uniprot Product Information
Predicted: 79 kDa
Customer Reviews
Loading reviews...
Share Your Experience
Similar Products
Product Notes
The POLH polh (Catalog #AAA326411) is an Antibody produced from Rabbit and is intended for research purposes only. The product is available for immediate purchase. The POLH Antibody reacts with Human, Mouse, Rat and may cross-react with other species as described in the data sheet. AAA Biotech's POLH can be used in a range of immunoassay formats including, but not limited to, ELISA, IHC (Immunohistochemistry), WB (Western Blot). Researchers should empirically determine the suitability of the POLH polh for an application not listed in the data sheet. Researchers commonly develop new applications and it is an integral, important part of the investigative research process. It is sometimes possible for the material contained within the vial of "POLH, Polyclonal Antibody" to become dispersed throughout the inside of the vial, particularly around the seal of said vial, during shipment and storage. We always suggest centrifuging these vials to consolidate all of the liquid away from the lid and to the bottom of the vial prior to opening. Please be advised that certain products may require dry ice for shipping and that, if this is the case, an additional dry ice fee may also be required.Precautions
All products in the AAA Biotech catalog are strictly for research-use only, and are absolutely not suitable for use in any sort of medical, therapeutic, prophylactic, in-vivo, or diagnostic capacity. By purchasing a product from AAA Biotech, you are explicitly certifying that said products will be properly tested and used in line with industry standard. AAA Biotech and its authorized distribution partners reserve the right to refuse to fulfill any order if we have any indication that a purchaser may be intending to use a product outside of our accepted criteria.Disclaimer
Though we do strive to guarantee the information represented in this datasheet, AAA Biotech cannot be held responsible for any oversights or imprecisions. AAA Biotech reserves the right to adjust any aspect of this datasheet at any time and without notice. It is the responsibility of the customer to inform AAA Biotech of any product performance issues observed or experienced within 30 days of receipt of said product. To see additional details on this or any of our other policies, please see our Terms & Conditions page.Item has been added to Shopping Cart
If you are ready to order, navigate to Shopping Cart and get ready to checkout.
