Rabbit PPAR Alpha Polyclonal Antibody | anti-PPARA antibody
Rabbit Polyclonal to Mouse PPAR Alpha
WB (Western Blot)
(Anti-PPAR alpha (N -terminal specific) Antibody - Western Blot. Affinity Purified Anti-PPAR alpha (N -terminal specific) (Rabbit) is shown to detect a 52 kD band corresponding to PPAR alpha present in a 3T3 whole cell lysate. Approximately 20 ug of lysate was loaded per lane for SDS-PAGE. Detection occurred after using a 1:500 (lane 1) or 1:1000 (lane 2) dilution of antibody followed by 1:2000 dilution of HRP Goat-a-Rabbit IgG for visualization. Storage Conditions: Store vial at -20° C prior to opening. Dilute only prior to immediate use. For extended storage aliquot contents and freeze at -20° C or below. Avoid cycles of freezing and thawing. Expiration date is one (1) year from date of opening.)
IHC (Immunohiostchemistry)
(Immunohistochemistry using anti-PPAR antibody, showing staining of PPAR alpha in rat brain sections, highlighting cytoplasmic staining in ependymal cells and neurons in frontal cortex. Bottom image shows subventricular zone (svz) of lateral ventrical (exit point of progenitor olfactory neurons); top image shows frontal cortex in the same section. Cytoplasmic staining is also observed in the corpus callosum (bottom image) and in dendritic fields of the cortex. Formalin/PFA-fixed paraffin-embedded sections of rat brain tissue were incubated with the primary antibody at 1:200 for 1 hour. Antigen retrieval was performed by heat induction in citrate buffer pH 6.0.)
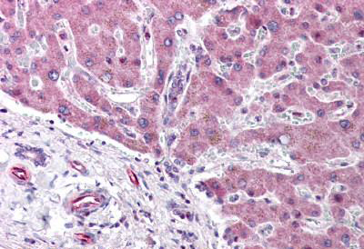
IHC (Immunohistochemistry)
(Anti-PPAR Alpha antibody IHC of human liver. Immunohistochemistry of formalin-fixed, paraffin-embedded tissue after heat-induced antigen retrieval. Antibody concentration 20 ug/ml.)
NCBI and Uniprot Product Information
Customer Reviews
Loading reviews...
Share Your Experience
Similar Products
Product Notes
The PPARA ppara (Catalog #AAA50730) is an Antibody produced from Rabbit and is intended for research purposes only. The product is available for immediate purchase. The Rabbit Polyclonal to Mouse PPAR Alpha reacts with Boar, Bovine, Dog, Hamster, Human, Mouse, Rat and may cross-react with other species as described in the data sheet. AAA Biotech's PPAR Alpha can be used in a range of immunoassay formats including, but not limited to, ELISA, WB (Western Blot), IHC (Immunohistochemistry). Researchers should empirically determine the suitability of the PPARA ppara for an application not listed in the data sheet. Researchers commonly develop new applications and it is an integral, important part of the investigative research process. It is sometimes possible for the material contained within the vial of "PPAR Alpha, Polyclonal Antibody" to become dispersed throughout the inside of the vial, particularly around the seal of said vial, during shipment and storage. We always suggest centrifuging these vials to consolidate all of the liquid away from the lid and to the bottom of the vial prior to opening. Please be advised that certain products may require dry ice for shipping and that, if this is the case, an additional dry ice fee may also be required.Precautions
All products in the AAA Biotech catalog are strictly for research-use only, and are absolutely not suitable for use in any sort of medical, therapeutic, prophylactic, in-vivo, or diagnostic capacity. By purchasing a product from AAA Biotech, you are explicitly certifying that said products will be properly tested and used in line with industry standard. AAA Biotech and its authorized distribution partners reserve the right to refuse to fulfill any order if we have any indication that a purchaser may be intending to use a product outside of our accepted criteria.Disclaimer
Though we do strive to guarantee the information represented in this datasheet, AAA Biotech cannot be held responsible for any oversights or imprecisions. AAA Biotech reserves the right to adjust any aspect of this datasheet at any time and without notice. It is the responsibility of the customer to inform AAA Biotech of any product performance issues observed or experienced within 30 days of receipt of said product. To see additional details on this or any of our other policies, please see our Terms & Conditions page.Item has been added to Shopping Cart
If you are ready to order, navigate to Shopping Cart and get ready to checkout.
