Rabbit PPAR-gamma Polyclonal Antibody | anti-PPARG antibody
PPAR-gamma Antibody
Phosphate buffered saline, pH 7.4, 150mM NaCl, 0.02% sodium azide and 50% glycerol.
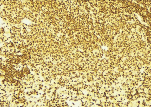
IHC (Immunohistochemisry)
(AAA322300 at 1/100 staining Mouse spleen tissue by IHC-P. The sample was formaldehyde fixed and a heat mediated antigen retrieval step in citrate buffer was performed. The sample was then blocked and incubated with the antibody for 1.5 hours at 22 degree C. An HRP conjugated goat anti-rabbit antibody was used as the secondary.)
IF (Immunofluorescence)
(AAA322300 staining Hela by IF/ICC. The sample were fixed with PFA and permeabilized in 0.1% Triton X-100, then blocked in 10% serum for 45 minutes at 25 degree C. The primary antibody was diluted at 1/200 and incubated with the sample for 1 hour at 37 degree C. An Alexa Fluor 594 conjugated goat anti-rabbit IgG (H+L) Ab, diluted at 1/600, was used as the secondary antibody.)
WB (Western Blot)
(Western blot analysis of PPAR-gamma expression in HuvEc whole cell lysates, The lane on the left is treated with the antigen-specific peptide.)
Function: Nuclear receptor that binds peroxisome proliferators such as hypolipidemic drugs and fatty acids. Once activated by a ligand, the nuclear receptor binds to DNA specific PPAR response elements (PPRE) and modulates the transcription of its target genes, such as acyl-CoA oxidase. It therefore controls the peroxisomal beta-oxidation pathway of fatty acids. Key regulator of adipocyte differentiation and glucose homeostasis. ARF6 acts as a key regulator of the tissue-specific adipocyte P2 (aP2) enhancer. Acts as a critical regulator of gut homeostasis by suppressing NF-kappa-B-mediated proinflammatory responses. Plays a role in the regulation of cardiovascular circadian rhythms by regulating the transcription of ARNTL/BMAL1 in the blood vessels (By similarity).
Subunit Structure: Interacts with FOXO1 (acetylated form) (By similarity). Heterodimer with other nuclear receptors, such as RXRA. The heterodimer with the retinoic acid receptor RXRA is called adipocyte-specific transcription factor ARF6. Interacts with NCOA6 coactivator, leading to a strong increase in transcription of target genes. Interacts with coactivator PPARBP, leading to a mild increase in transcription of target genes. Interacts with NOCA7 in a ligand-inducible manner. Interacts with NCOA1 and NCOA2 LXXLL motifs. Interacts with ASXL1, ASXL2, DNTTIP2, FAM120B, MAP2K1/MEK1, NR0B2, PDPK1, PRDM16, PRMT2 and TGFB1I1. Interacts (when activated by agonist) with PPP5C. Interacts with HELZ2 and THRAP3; the interaction stimulates the transcriptional activity of PPARG. Interacts with PER2, the interaction is ligand dependent and blocks PPARG recruitment to target promoters. Interacts with NOCT. Interacts with ACTN4. Interacts (when in the liganded conformation) with GPS2 (By similarity).
Post-translational Modifications: O-GlcNAcylation at Thr-84 reduces transcriptional activity in adipocytes. Phosphorylated in basal conditions and dephosphorylated when treated with the ligand. May be dephosphorylated by PPP5C. The phosphorylated form may be inactive and dephosphorylation at Ser-112 induces adipogenic activity (By similarity).
Similarity: Belongs to the nuclear hormone receptor family. NR1 subfamily.
NCBI and Uniprot Product Information
Predicted: 58 kDa
Customer Reviews
Loading reviews...
Share Your Experience
Similar Products
Product Notes
The PPARG pparg (Catalog #AAA322300) is an Antibody produced from Rabbit and is intended for research purposes only. The product is available for immediate purchase. The PPAR-gamma Antibody reacts with Human, Mouse, Rat and may cross-react with other species as described in the data sheet. AAA Biotech's PPAR-gamma can be used in a range of immunoassay formats including, but not limited to, ELISA, ICC (Immunocytochemistry), IF (Immunofluorescence), IHC (Immunohistochemistry), WB (Western Blot). Researchers should empirically determine the suitability of the PPARG pparg for an application not listed in the data sheet. Researchers commonly develop new applications and it is an integral, important part of the investigative research process. It is sometimes possible for the material contained within the vial of "PPAR-gamma, Polyclonal Antibody" to become dispersed throughout the inside of the vial, particularly around the seal of said vial, during shipment and storage. We always suggest centrifuging these vials to consolidate all of the liquid away from the lid and to the bottom of the vial prior to opening. Please be advised that certain products may require dry ice for shipping and that, if this is the case, an additional dry ice fee may also be required.Precautions
All products in the AAA Biotech catalog are strictly for research-use only, and are absolutely not suitable for use in any sort of medical, therapeutic, prophylactic, in-vivo, or diagnostic capacity. By purchasing a product from AAA Biotech, you are explicitly certifying that said products will be properly tested and used in line with industry standard. AAA Biotech and its authorized distribution partners reserve the right to refuse to fulfill any order if we have any indication that a purchaser may be intending to use a product outside of our accepted criteria.Disclaimer
Though we do strive to guarantee the information represented in this datasheet, AAA Biotech cannot be held responsible for any oversights or imprecisions. AAA Biotech reserves the right to adjust any aspect of this datasheet at any time and without notice. It is the responsibility of the customer to inform AAA Biotech of any product performance issues observed or experienced within 30 days of receipt of said product. To see additional details on this or any of our other policies, please see our Terms & Conditions page.Item has been added to Shopping Cart
If you are ready to order, navigate to Shopping Cart and get ready to checkout.
