Rabbit PRKD1 Polyclonal Antibody | anti-PRKD1 antibody
PRKD1 Polyclonal Antibody
Gene Names
prkd1; pkd; pkcm; prkcm; pkc-mu
Reactivity
Human, Mouse, Rat
Applications
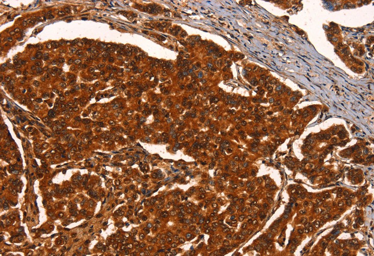
Immunohistochemistry, ELISA
Purity
Antigen affinity purification
Synonyms
PRKD1, Antibody; PRKD1 Polyclonal Antibody; PKD, PKCM, PRKCM, PKC-MU; anti-PRKD1 antibody
Host
Rabbit
Reactivity
Human, Mouse, Rat
Clonality
Polyclonal
Isotype
IgG
Purity/Purification
Antigen affinity purification
Concentration
1.1mg/mL (varies by lot)
Sequence Length
860
Applicable Applications for anti-PRKD1 antibody
IHC (Immunohistochemistry), ELISA
Immunogen
Synthetic peptide of human PRKD1
Buffer
PBS with 0.05% sodium azide, 50% glycerol, pH7.3
Preparation and Storage
Store at -20 degree C (regular) and -80 degree C (long term). Avoid freeze / thaw cycles.
Related Product Information for anti-PRKD1 antibody
PRKD1 is a serine/threonine kinase that regulates a variety of cellular functions, including membrane receptor signaling, transport at the Golgi, protection from oxidative stress at the mitochondria, gene transcription, and regulation of cell shape, motility, and adhesion
Product Categories/Family for anti-PRKD1 antibody
NCBI and Uniprot Product Information
NCBI GI #
NCBI GeneID
Molecular Weight
97,118 Da
NCBI Official Full Name
prkd1 protein
NCBI Official Synonym Full Names
protein kinase D1
NCBI Official Symbol
prkd1
NCBI Official Synonym Symbols
pkd; pkcm; prkcm; pkc-mu
NCBI Protein Information
serine/threonine-protein kinase D1; protein kinase C, mu
UniProt Protein Name
Serine/threonine-protein kinase D
UniProt Gene Name
prkd1
UniProt Entry Name
B2GU99_XENTR
Customer Reviews
Loading reviews...
Share Your Experience
Similar Products
Product Notes
The PRKD1 prkd1 (Catalog #AAA168387) is an Antibody produced from Rabbit and is intended for research purposes only. The product is available for immediate purchase. The PRKD1 Polyclonal Antibody reacts with Human, Mouse, Rat and may cross-react with other species as described in the data sheet. AAA Biotech's PRKD1 can be used in a range of immunoassay formats including, but not limited to, IHC (Immunohistochemistry), ELISA. Researchers should empirically determine the suitability of the PRKD1 prkd1 for an application not listed in the data sheet. Researchers commonly develop new applications and it is an integral, important part of the investigative research process. It is sometimes possible for the material contained within the vial of "PRKD1, Polyclonal Antibody" to become dispersed throughout the inside of the vial, particularly around the seal of said vial, during shipment and storage. We always suggest centrifuging these vials to consolidate all of the liquid away from the lid and to the bottom of the vial prior to opening. Please be advised that certain products may require dry ice for shipping and that, if this is the case, an additional dry ice fee may also be required.Precautions
All products in the AAA Biotech catalog are strictly for research-use only, and are absolutely not suitable for use in any sort of medical, therapeutic, prophylactic, in-vivo, or diagnostic capacity. By purchasing a product from AAA Biotech, you are explicitly certifying that said products will be properly tested and used in line with industry standard. AAA Biotech and its authorized distribution partners reserve the right to refuse to fulfill any order if we have any indication that a purchaser may be intending to use a product outside of our accepted criteria.Disclaimer
Though we do strive to guarantee the information represented in this datasheet, AAA Biotech cannot be held responsible for any oversights or imprecisions. AAA Biotech reserves the right to adjust any aspect of this datasheet at any time and without notice. It is the responsibility of the customer to inform AAA Biotech of any product performance issues observed or experienced within 30 days of receipt of said product. To see additional details on this or any of our other policies, please see our Terms & Conditions page.Item has been added to Shopping Cart
If you are ready to order, navigate to Shopping Cart and get ready to checkout.
