Loading...

Skip to main content
Call us at +1-800-604-9114 for more information about our products or contact us online Need help? +1-800-604-9114 or contact us
product-image-AAA240339_SDS_PAGE11.jpg SDS-PAGE (Gel: 6%SDS-PAGE, Lysate: 40 ug, Lane 1-6: Human testis tissue, K562 cells, A549 cells, Raji cells, NIH/3T3 cells, Hela cells, Primary antibody: AAA240339(PRKD3 Antibody) at dilution 1/200, Secondary antibody: Goat anti rabbit IgG at 1/8000 dilution, Exposure time: 10 minutes)

Rabbit anti-Human, Mouse PRKD3 Polyclonal Antibody | anti-PRKD3 antibody

PRKD3 Antibody

Average rating 0.0
No ratings yet
Gene Names
PRKD3; EPK2; PKD3; PRKCN; PKC-NU; nPKC-NU
Reactivity
Human, Mouse
Applications
Immunohistochemistry, Western Blot, ELISA
Purity
Antigen Affinity Purification
Synonyms
PRKD3, Antibody; PRKD3 Antibody; protein kinase D3; anti-PRKD3 antibody
Ordering
Host
Rabbit
Reactivity
Human, Mouse
Clonality
Polyclonal
Isotype
IgG
Purity/Purification
Antigen Affinity Purification
Form/Format
Liquid; In Phosphate Buffered Saline, pH 7.4, 0.05% NaN3, and 40% Glycerol
Applicable Applications for anti-PRKD3 antibody
IHC (Immunohistochemistry), WB (Western Blot), ELISA
Immunogen
Synthetic peptide of human PRKD3
Immunogen Species
Human
Conjugate
Non-conjugated
Preparation and Storage
Upon receipt, store at -20 degree C or -80 degree C. Avoid repeated freeze.

SDS-PAGE

(Gel: 6%SDS-PAGE, Lysate: 40 ug, Lane 1-6: Human testis tissue, K562 cells, A549 cells, Raji cells, NIH/3T3 cells, Hela cells, Primary antibody: AAA240339(PRKD3 Antibody) at dilution 1/200, Secondary antibody: Goat anti rabbit IgG at 1/8000 dilution, Exposure time: 10 minutes)

product-image-AAA240339_SDS_PAGE11.jpg SDS-PAGE (Gel: 6%SDS-PAGE, Lysate: 40 ug, Lane 1-6: Human testis tissue, K562 cells, A549 cells, Raji cells, NIH/3T3 cells, Hela cells, Primary antibody: AAA240339(PRKD3 Antibody) at dilution 1/200, Secondary antibody: Goat anti rabbit IgG at 1/8000 dilution, Exposure time: 10 minutes)

IHC (Immunohiostchemistry)

(The image on the left is immunohistochemistry of paraffin-embedded Human colon cancer tissue using AAA240339(PRKD3 Antibody) at dilution 1/50, on the right is treated with synthetic peptide. (Original magnification: ×200))

product-image-AAA240339_IHC13.jpg IHC (Immunohiostchemistry) (The image on the left is immunohistochemistry of paraffin-embedded Human colon cancer tissue using AAA240339(PRKD3 Antibody) at dilution 1/50, on the right is treated with synthetic peptide. (Original magnification: ×200))

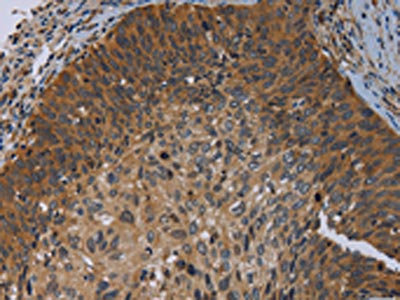
IHC (Immunohistochemistry)

(The image on the left is immunohistochemistry of paraffin-embedded Human cervical cancer tissue using AAA240339(PRKD3 Antibody) at dilution 1/50, on the right is treated with synthetic peptide. (Original magnification: ×200))

product-image-AAA240339_IHC15.jpg IHC (Immunohistochemistry) (The image on the left is immunohistochemistry of paraffin-embedded Human cervical cancer tissue using AAA240339(PRKD3 Antibody) at dilution 1/50, on the right is treated with synthetic peptide. (Original magnification: ×200))
Product Categories/Family for anti-PRKD3 antibody

NCBI and Uniprot Product Information

NCBI GI #
NCBI GeneID
NCBI Accession #
NCBI GenBank Nucleotide #
UniProt Accession #
Molecular Weight
68,123 Da
NCBI Official Full Name
serine/threonine-protein kinase D3
NCBI Official Synonym Full Names
protein kinase D3
NCBI Official Symbol
PRKD3
NCBI Official Synonym Symbols
EPK2; PKD3; PRKCN; PKC-NU; nPKC-NU
NCBI Protein Information
serine/threonine-protein kinase D3; protein kinase EPK2; protein kinase C, nu; protein kinase C nu type; protein-serine/threonine kinase
UniProt Protein Name
Serine/threonine-protein kinase D3
UniProt Gene Name
PRKD3
UniProt Synonym Gene Names
EPK2; PRKCN
UniProt Entry Name
KPCD3_HUMAN

Customer Reviews

View All Reviews

Loading reviews...

Share Your Experience

Rating

Similar Products

Product Notes

The PRKD3 prkd3 (Catalog #AAA240339) is an Antibody produced from Rabbit and is intended for research purposes only. The product is available for immediate purchase. The PRKD3 Antibody reacts with Human, Mouse and may cross-react with other species as described in the data sheet. AAA Biotech's PRKD3 can be used in a range of immunoassay formats including, but not limited to, IHC (Immunohistochemistry), WB (Western Blot), ELISA. Researchers should empirically determine the suitability of the PRKD3 prkd3 for an application not listed in the data sheet. Researchers commonly develop new applications and it is an integral, important part of the investigative research process. It is sometimes possible for the material contained within the vial of "PRKD3, Polyclonal Antibody" to become dispersed throughout the inside of the vial, particularly around the seal of said vial, during shipment and storage. We always suggest centrifuging these vials to consolidate all of the liquid away from the lid and to the bottom of the vial prior to opening. Please be advised that certain products may require dry ice for shipping and that, if this is the case, an additional dry ice fee may also be required.

Precautions

All products in the AAA Biotech catalog are strictly for research-use only, and are absolutely not suitable for use in any sort of medical, therapeutic, prophylactic, in-vivo, or diagnostic capacity. By purchasing a product from AAA Biotech, you are explicitly certifying that said products will be properly tested and used in line with industry standard. AAA Biotech and its authorized distribution partners reserve the right to refuse to fulfill any order if we have any indication that a purchaser may be intending to use a product outside of our accepted criteria.

Disclaimer

Though we do strive to guarantee the information represented in this datasheet, AAA Biotech cannot be held responsible for any oversights or imprecisions. AAA Biotech reserves the right to adjust any aspect of this datasheet at any time and without notice. It is the responsibility of the customer to inform AAA Biotech of any product performance issues observed or experienced within 30 days of receipt of said product. To see additional details on this or any of our other policies, please see our Terms & Conditions page.

Item has been added to Shopping Cart

If you are ready to order, navigate to Shopping Cart and get ready to checkout.

Submit a Question

Please complete the form below and a representative will contact you as soon as possible.

Request more Information

Please complete the form below and a representative will contact you as soon as possible.

Request a Manual

Please complete the form below and a representative will contact you as soon as possible.

Request a Quote

Please complete the form below and a representative will contact you as soon as possible.