Rabbit PRKG1 Polyclonal Antibody | anti-PRKG1 antibody
PRKG1 Antibody
Phosphate buffered saline, pH 7.4, 150mM NaCl, 0.02% sodium azide and 50% glycerol.
WB (Western Blot)
(Western blot analysis of Hepg2 whole cell lysates, using PRKG1 Antibody. The lane on the left is treated with the antigen-specific peptide.)
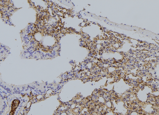
IHC (Immunohistochemistry)
(AAA326767 at 1/100 staining Human lung tissue by IHC-P. The sample was formaldehyde fixed and a heat mediated antigen retrieval step in citrate buffer was performed. The sample was then blocked and incubated with the antibody for 1.5 hours at 22 degree C. An HRP conjugated goat anti-rabbit antibody was used as the secondary.)
Function: Serine/threonine protein kinase that acts as key mediator of the nitric oxide (NO)/cGMP signaling pathway. GMP binding activates PRKG1, which phosphorylates serines and threonines on many cellular proteins. Numerous protein targets for PRKG1 phosphorylation are implicated in modulating cellular calcium, but the contribution of each of these targets may vary substantially among cell types. Proteins that are phosphorylated by PRKG1 regulate platelet activation and adhesion, smooth muscle contraction, cardiac function, gene expression, feedback of the NO-signaling pathway, and other processes involved in several aspects of the CNS like axon guidance, hippocampal and cerebellar learning, circadian rhythm and nociception. Smooth muscle relaxation is mediated through lowering of intracellular free calcium, by desensitization of contractile proteins to calcium, and by decrease in the contractile state of smooth muscle or in platelet activation. Regulates intracellular calcium levels via several pathways: phosphorylates MRVI1/IRAG and inhibits IP3-induced Ca2+ release from intracellular stores, phosphorylation of KCNMA1 (BKCa) channels decreases intracellular Ca2+ levels, which leads to increased opening of this channel. PRKG1 phosphorylates the canonical transient receptor potential channel (TRPC) family which inactivates the associated inward calcium current. Another mode of action of NO/cGMP/PKGI signaling involves PKGI-mediated inactivation of the Ras homolog gene family member A (RhoA). Phosphorylation of RHOA by PRKG1 blocks the action of this protein in myriad processes: regulation of RHOA translocation; decreasing contraction; controlling vesicle trafficking, reduction of myosin light chain phosphorylation resulting in vasorelaxation. Activation of PRKG1 by NO signaling alters also gene expression in a number of tissues. In smooth muscle cells, increased cGMP and PRKG1 activity influence expression of smooth muscle-specific contractile proteins, levels of proteins in the NO/cGMP signaling pathway, down-regulation of the matrix proteins osteopontin and thrombospondin-1 to limit smooth muscle cell migration and phenotype. Regulates vasodilator-stimulated phosphoprotein (VASP) functions in platelets and smooth muscle.
Subunit Structure: Isoform alpha: parallel homodimer or heterodimer and also heterotetramer. Interacts directly with PPP1R12A. Non-covalent dimer of dimer of PRKG1-PRKG1 and PPP1R12A-PPP1R12A. This interaction targets PRKG1 to stress fibers to mediate smooth muscle cell relaxation and vasodilation in responses to rises in cGMP. Isoform beta: antiparallel homodimer. Part of cGMP kinase signaling complex at least composed of ACTA2/alpha-actin, CNN1/calponin H1, PLN/phospholamban, PRKG1 and ITPR1 (By similarity). Interacts with MRVI1. Forms a stable complex with ITPR1, MRVI1, and isoform beta of PRKG1. Interacts with TRPC7 (via ankyrin repeat domain). Isoform alpha interacts with RGS2. Interacts with GTF2I.
Post-translational Modifications: Autophosphorylation increases kinase activity.65 kDa monomer is produced by proteolytic cleavage.
Similarity: Composed of an N-terminal leucine-zipper domain followed by an autoinhibitory domain, which mediate homodimer formation and inhibit kinase activity, respectively. Next, two cGMP-binding domains are followed by the catalytic domain at the C-terminus. Binding of cGMP to cGMP-binding domains results in a conformational change that activates kinase activity by removing the autoinhibitory domain from the catalytic cleft leaving the catalytic domain free to phosphorylate downstream substrates. Isoforms alpha and beta have identical cGMP-binding and catalytic domains but differ in their leucine zipper and autoinhibitory sequences and therefore differ in their dimerization substrates and kinase enzyme activity.Heterotetramerization is mediated by the interaction between a coiled-coil of PRKG1 and the leucine/isoleucine zipper of PPP1R12A/MBS, the myosin-binding subunit of the myosin phosphatase. Belongs to the protein kinase superfamily. AGC Ser/Thr protein kinase family. cGMP subfamily.
NCBI and Uniprot Product Information
Predicted: 77 kDa
Customer Reviews
Loading reviews...
Share Your Experience
Similar Products
Product Notes
The PRKG1 prkg1 (Catalog #AAA326767) is an Antibody produced from Rabbit and is intended for research purposes only. The product is available for immediate purchase. The PRKG1 Antibody reacts with Human, Mouse, Rat and may cross-react with other species as described in the data sheet. AAA Biotech's PRKG1 can be used in a range of immunoassay formats including, but not limited to, ELISA, IHC (Immunohistochemistry), WB (Western Blot). Researchers should empirically determine the suitability of the PRKG1 prkg1 for an application not listed in the data sheet. Researchers commonly develop new applications and it is an integral, important part of the investigative research process. It is sometimes possible for the material contained within the vial of "PRKG1, Polyclonal Antibody" to become dispersed throughout the inside of the vial, particularly around the seal of said vial, during shipment and storage. We always suggest centrifuging these vials to consolidate all of the liquid away from the lid and to the bottom of the vial prior to opening. Please be advised that certain products may require dry ice for shipping and that, if this is the case, an additional dry ice fee may also be required.Precautions
All products in the AAA Biotech catalog are strictly for research-use only, and are absolutely not suitable for use in any sort of medical, therapeutic, prophylactic, in-vivo, or diagnostic capacity. By purchasing a product from AAA Biotech, you are explicitly certifying that said products will be properly tested and used in line with industry standard. AAA Biotech and its authorized distribution partners reserve the right to refuse to fulfill any order if we have any indication that a purchaser may be intending to use a product outside of our accepted criteria.Disclaimer
Though we do strive to guarantee the information represented in this datasheet, AAA Biotech cannot be held responsible for any oversights or imprecisions. AAA Biotech reserves the right to adjust any aspect of this datasheet at any time and without notice. It is the responsibility of the customer to inform AAA Biotech of any product performance issues observed or experienced within 30 days of receipt of said product. To see additional details on this or any of our other policies, please see our Terms & Conditions page.Item has been added to Shopping Cart
If you are ready to order, navigate to Shopping Cart and get ready to checkout.
