Rabbit PRKRA Polyclonal Antibody | anti-PRKRA antibody
PRKRA Antibody
Phosphate buffered saline, pH 7.4, 150mM NaCl, 0.02% sodium azide and 50% glycerol.
WB (Western Blot)
(Western blot analysis of extracts of mouse liver, using PRKRA antibody. The lane on the left is treated with the antigen-specific peptide.)
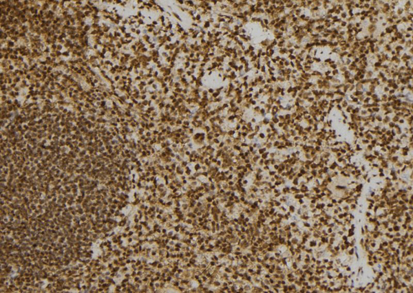
IHC (Immunohistochemistry)
(AAA327035 at 1/100 staining Mouse spleen tissue by IHC-P. The sample was formaldehyde fixed and a heat mediated antigen retrieval step in citrate buffer was performed. The sample was then blocked and incubated with the antibody for 1.5 hours at 22 degree C. An HRP conjugated goat anti-rabbit antibody was used as the secondary.)
Function: Activates EIF2AK2/PKR in the absence of double-stranded RNA (dsRNA), leading to phosphorylation of EIF2S1/EFI2-alpha and inhibition of translation and induction of apoptosis. Required for siRNA production by DICER1 and for subsequent siRNA-mediated post-transcriptional gene silencing. Does not seem to be required for processing of pre-miRNA to miRNA by DICER1. Promotes UBC9-p53/TP53 association and sumoylation and phosphorylation of p53/TP53 at 'Lys-386' at 'Ser-392' respectively and enhances its activity in a EIF2AK2/PKR-dependent manner (By similarity).
Subunit Structure: Homodimer. Interacts with EIF2AK2/PKR through its DRBM domains. Interacts with DICER1, AGO2 and TARBP2. Also able to interact with dsRNA. Interacts with UBC9 (By similarity). Forms a complex with UBC9 and p53/TP53 (By similarity). Interacts with DUS2L (via DRBM domain).
Post-translational Modifications: Phosphorylated at Ser-246 in unstressed cells and at Ser-287 in stressed cells. Phosphorylation at Ser-246 appears to be a prerequisite for subsequent phosphorylation at Ser-287. Phosphorylation at Ser-246 and Ser-287 are necessary for activation of EIF2AK2/PKR under conditions of stress.
Similarity: Self-association may occur via interactions between DRBM domains as follows: DRBM 1/DRBM 1, DRBM 1/DRBM 2, DRBM 2/DRBM 2 or DRBM 3/DRBM3. Belongs to the PRKRA family.
NCBI and Uniprot Product Information
Predicted: 35 kDa
Customer Reviews
Loading reviews...
Share Your Experience
Similar Products
Product Notes
The PRKRA prkra (Catalog #AAA327035) is an Antibody produced from Rabbit and is intended for research purposes only. The product is available for immediate purchase. The PRKRA Antibody reacts with Human, Mouse, Rat and may cross-react with other species as described in the data sheet. AAA Biotech's PRKRA can be used in a range of immunoassay formats including, but not limited to, ELISA, IHC (Immunohistochemistry), WB (Western Blot). Researchers should empirically determine the suitability of the PRKRA prkra for an application not listed in the data sheet. Researchers commonly develop new applications and it is an integral, important part of the investigative research process. It is sometimes possible for the material contained within the vial of "PRKRA, Polyclonal Antibody" to become dispersed throughout the inside of the vial, particularly around the seal of said vial, during shipment and storage. We always suggest centrifuging these vials to consolidate all of the liquid away from the lid and to the bottom of the vial prior to opening. Please be advised that certain products may require dry ice for shipping and that, if this is the case, an additional dry ice fee may also be required.Precautions
All products in the AAA Biotech catalog are strictly for research-use only, and are absolutely not suitable for use in any sort of medical, therapeutic, prophylactic, in-vivo, or diagnostic capacity. By purchasing a product from AAA Biotech, you are explicitly certifying that said products will be properly tested and used in line with industry standard. AAA Biotech and its authorized distribution partners reserve the right to refuse to fulfill any order if we have any indication that a purchaser may be intending to use a product outside of our accepted criteria.Disclaimer
Though we do strive to guarantee the information represented in this datasheet, AAA Biotech cannot be held responsible for any oversights or imprecisions. AAA Biotech reserves the right to adjust any aspect of this datasheet at any time and without notice. It is the responsibility of the customer to inform AAA Biotech of any product performance issues observed or experienced within 30 days of receipt of said product. To see additional details on this or any of our other policies, please see our Terms & Conditions page.Item has been added to Shopping Cart
If you are ready to order, navigate to Shopping Cart and get ready to checkout.
