Host
Rabbit
Reactivity
Human
Clonality
Polyclonal
Specificity
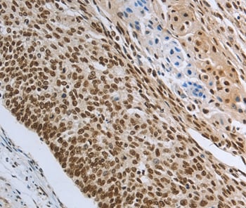
The antibody detects endogenous levels of total PRMT3 protein.
Purity/Purification
Antigen affinity purification.
Form/Format
Rabbit IgG in pH7.3 PBS, 0.05% NaN3, 50% Glycerol.
Concentration
1.1 mg/ml (varies by lot)
Sequence Length
531
Applicable Applications for anti-PRMT3 antibody
IHC (Immunohistochemistry)
Immunogen Type
Peptide
Immunogen Description
Synthetic peptide corresponding to residues near the N terminal of human Protein arginine methyltransferase 3
Target Name
PRMT3
Preparation and Storage
Store at -20 degree C
Related Product Information for anti-PRMT3 antibody
Type I protein arginine N-methyltransferases (PRMTs), such as PRMT3, catalyze the formation of asymmetric N(G),N(G)-dimethylarginine (ADMA) residues in proteins (Tang et al., 1998 [PubMed 9642256]).
Product Categories/Family for anti-PRMT3 antibody
NCBI and Uniprot Product Information
NCBI GI #
NCBI GeneID
NCBI Accession #
NCBI GenBank Nucleotide #
Molecular Weight
52,875 Da
NCBI Official Full Name
protein arginine N-methyltransferase 3 isoform 1
NCBI Official Synonym Full Names
protein arginine methyltransferase 3
NCBI Official Symbol
PRMT3
NCBI Official Synonym Symbols
HRMT1L3
NCBI Protein Information
protein arginine N-methyltransferase 3
UniProt Protein Name
Protein arginine N-methyltransferase 3
UniProt Gene Name
PRMT3
UniProt Synonym Gene Names
HRMT1L3
UniProt Entry Name
ANM3_HUMAN
Customer Reviews
Loading reviews...
Share Your Experience
Similar Products
Product Notes
The PRMT3 prmt3 (Catalog #AAA303477) is an Antibody produced from Rabbit and is intended for research purposes only. The product is available for immediate purchase. The PRMT3 Antibody reacts with Human and may cross-react with other species as described in the data sheet. AAA Biotech's PRMT3 can be used in a range of immunoassay formats including, but not limited to, IHC (Immunohistochemistry). Researchers should empirically determine the suitability of the PRMT3 prmt3 for an application not listed in the data sheet. Researchers commonly develop new applications and it is an integral, important part of the investigative research process. It is sometimes possible for the material contained within the vial of "PRMT3, Polyclonal Antibody" to become dispersed throughout the inside of the vial, particularly around the seal of said vial, during shipment and storage. We always suggest centrifuging these vials to consolidate all of the liquid away from the lid and to the bottom of the vial prior to opening. Please be advised that certain products may require dry ice for shipping and that, if this is the case, an additional dry ice fee may also be required.Precautions
All products in the AAA Biotech catalog are strictly for research-use only, and are absolutely not suitable for use in any sort of medical, therapeutic, prophylactic, in-vivo, or diagnostic capacity. By purchasing a product from AAA Biotech, you are explicitly certifying that said products will be properly tested and used in line with industry standard. AAA Biotech and its authorized distribution partners reserve the right to refuse to fulfill any order if we have any indication that a purchaser may be intending to use a product outside of our accepted criteria.Disclaimer
Though we do strive to guarantee the information represented in this datasheet, AAA Biotech cannot be held responsible for any oversights or imprecisions. AAA Biotech reserves the right to adjust any aspect of this datasheet at any time and without notice. It is the responsibility of the customer to inform AAA Biotech of any product performance issues observed or experienced within 30 days of receipt of said product. To see additional details on this or any of our other policies, please see our Terms & Conditions page.Item has been added to Shopping Cart
If you are ready to order, navigate to Shopping Cart and get ready to checkout.
