Rabbit anti-Mouse Procalcitonin Polyclonal Antibody | anti-PCT antibody
Polyclonal Antibody to Procalcitonin (PCT)
Gene Names
Calca; CA; Ct; Ctn; Calc; Cgrp; CGRP1; Calc1; CGRP-1
Reactivity
Mouse
Applications
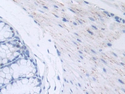
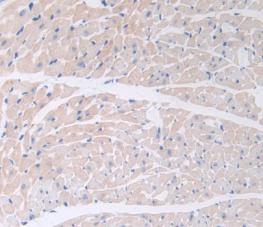
Immunoprecipitation, Immunocytochemistry, Immunohistochemistry, Western Blot
Purity
Antigen-specific affinity chromatography followed by Protein A affinity chromatography
Synonyms
Procalcitonin, Antibody; Polyclonal Antibody to Procalcitonin (PCT); anti-PCT antibody
Host
Rabbit
Reactivity
Mouse
Clonality
Polyclonal
Purity/Purification
Antigen-specific affinity chromatography followed by Protein A affinity chromatography
Form/Format
Supplied as solution form in 0.01M PBS, pH7.4, containing 0.05% Proclin-300,50% glycerol.
Concentration
500ug/mL (varies by lot)
Applicable Applications for anti-PCT antibody
IP (Immunoprecipitation), ICC (Immunocytochemistry), IHC (Immunohistochemistry), WB (Western Blot)
Organism Species
Mus musculus (Mouse)
Source
Polyclonal antibody preparation
Traits
Liquid
Immunogen
Recombinant PCT (Val26~Asn136 (Accession # P70160)) expressed in E.coli
Cross Reactivity
Mouse
Conjugate
No Conjugate
Conjugated Antibody
The APC conjugated antibody version of this item is also available as
Preparation and Storage
Storage: Avoid repeated freeze/thaw cycles.
Store at 4ºC for frequent use.
Aliquot and store at -20ºC for 12 months.
Stability Test: The thermal stability is described by the loss rate. The loss rate was determined by accelerated thermal degradation test, that is, incubate the protein at 37°C for 48h, and no obvious degradation and precipitation were observed. The loss rate is less than 5% within the expiration date under appropriate storage condition.
Store at 4ºC for frequent use.
Aliquot and store at -20ºC for 12 months.
Stability Test: The thermal stability is described by the loss rate. The loss rate was determined by accelerated thermal degradation test, that is, incubate the protein at 37°C for 48h, and no obvious degradation and precipitation were observed. The loss rate is less than 5% within the expiration date under appropriate storage condition.
NCBI and Uniprot Product Information
NCBI GI #
NCBI GeneID
NCBI Accession #
NCBI GenBank Nucleotide #
NCBI Official Full Name
calcitonin gene-related peptide 1 isoform Calca preproprotein
NCBI Official Synonym Full Names
calcitonin/calcitonin-related polypeptide, alpha
NCBI Official Symbol
Calca
NCBI Official Synonym Symbols
CA; Ct; Ctn; Calc; Cgrp; CGRP1; Calc1; CGRP-1
NCBI Protein Information
calcitonin gene-related peptide 1
UniProt Protein Name
Calcitonin
UniProt Gene Name
Calca
UniProt Synonym Gene Names
Calc
Customer Reviews
Loading reviews...
Share Your Experience
Similar Products
Product Notes
The PCT calca (Catalog #AAA142071) is an Antibody produced from Rabbit and is intended for research purposes only. The product is available for immediate purchase. The Polyclonal Antibody to Procalcitonin (PCT) reacts with Mouse and may cross-react with other species as described in the data sheet. AAA Biotech's Procalcitonin can be used in a range of immunoassay formats including, but not limited to, IP (Immunoprecipitation), ICC (Immunocytochemistry), IHC (Immunohistochemistry), WB (Western Blot). Researchers should empirically determine the suitability of the PCT calca for an application not listed in the data sheet. Researchers commonly develop new applications and it is an integral, important part of the investigative research process. It is sometimes possible for the material contained within the vial of "Procalcitonin, Polyclonal Antibody" to become dispersed throughout the inside of the vial, particularly around the seal of said vial, during shipment and storage. We always suggest centrifuging these vials to consolidate all of the liquid away from the lid and to the bottom of the vial prior to opening. Please be advised that certain products may require dry ice for shipping and that, if this is the case, an additional dry ice fee may also be required.Precautions
All products in the AAA Biotech catalog are strictly for research-use only, and are absolutely not suitable for use in any sort of medical, therapeutic, prophylactic, in-vivo, or diagnostic capacity. By purchasing a product from AAA Biotech, you are explicitly certifying that said products will be properly tested and used in line with industry standard. AAA Biotech and its authorized distribution partners reserve the right to refuse to fulfill any order if we have any indication that a purchaser may be intending to use a product outside of our accepted criteria.Disclaimer
Though we do strive to guarantee the information represented in this datasheet, AAA Biotech cannot be held responsible for any oversights or imprecisions. AAA Biotech reserves the right to adjust any aspect of this datasheet at any time and without notice. It is the responsibility of the customer to inform AAA Biotech of any product performance issues observed or experienced within 30 days of receipt of said product. To see additional details on this or any of our other policies, please see our Terms & Conditions page.Item has been added to Shopping Cart
If you are ready to order, navigate to Shopping Cart and get ready to checkout.
