Rabbit anti-Human proteasome alpha 7 Polyclonal Antibody | anti-PSMA7 antibody
proteasome alpha 7 antibody
Gene Names
PSMA7; C6; HSPC; RC6-1; XAPC7
Reactivity
Human
Applications
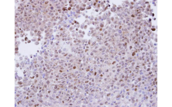
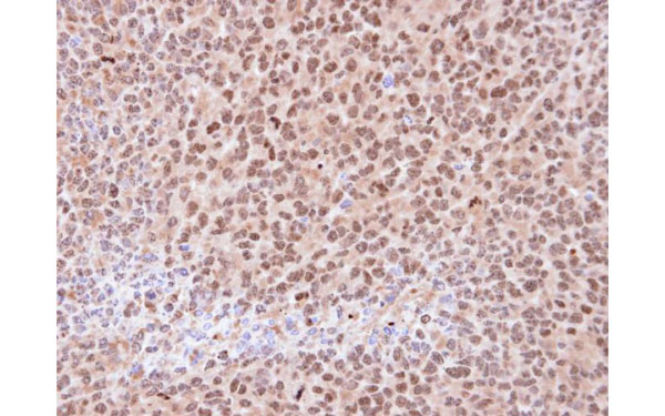
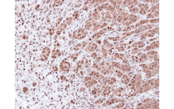
Immunohistochemistry, Western Blot
Purity
Purified by antigen-affinity chromatography.
Synonyms
proteasome alpha 7, Antibody; proteasome alpha 7 antibody; anti-PSMA7 antibody
Host
Rabbit
Reactivity
Human
Clonality
Polyclonal
Purity/Purification
Purified by antigen-affinity chromatography.
Form/Format
Supplied in 0.1M Tris-buffered saline with 20% Glycerol (pH7.0). 0.01% Thimerosal was added as a preservative.
Sequence Length
248
Applicable Applications for anti-PSMA7 antibody
IHC (Immunohistochemistry), WB (Western Blot)
Immunogen Type
Recombinant protein
Immunogen Description
Recombinant protein fragment contain a sequence corresponding to a region within amino acids 1 and 175 of proteasome alpha 7
Target Name
proteasome alpha 7
Preparation and Storage
Store at -20 degree C for long term preservation (recommended). Store at 4 degree C for short term use.
Related Product Information for anti-PSMA7 antibody
The proteasome is a multicatalytic proteinase complex with a highly ordered ring-shaped 20S core structure. The core structure is composed of 4 rings of 28 non-identical subunits; 2 rings are composed of 7 alpha subunits and 2 rings are composed of 7 beta subunits. Proteasomes are distributed throughout eukaryotic cells at a high concentration and cleave peptides in an ATP/ubiquitin-dependent process in a non-lysosomal pathway. An essential function of a modified proteasome, the immunoproteasome, is the processing of class I MHC peptides. This gene encodes a member of the peptidase T1A family, that is a 20S core alpha subunit. This particular subunit has been shown to interact specifically with the hepatitis B virus X protein, a protein critical to viral replication. In addition, this subunit is involved in regulating hepatitis virus C internal ribosome entry site (IRES) activity, an activity essential for viral replication. This core alpha subunit is also involved in regulating the hypoxia-inducible factor-1alpha, a transcription factor important for cellular responses to oxygen tension. Multiple isoforms of this subunit arising from alternative splicing may exist but alternative transcripts for only two isoforms have been defined. A pseudogene has been identified on chromosome 9. [provided by RefSeq]
Product Categories/Family for anti-PSMA7 antibody
NCBI and Uniprot Product Information
NCBI GI #
NCBI GeneID
Molecular Weight
16,135 Da
NCBI Official Full Name
Proteasome (prosome, macropain) subunit, alpha type, 7
NCBI Official Synonym Full Names
proteasome subunit alpha 7
NCBI Official Symbol
PSMA7
NCBI Official Synonym Symbols
C6; HSPC; RC6-1; XAPC7
NCBI Protein Information
proteasome subunit alpha type-7
UniProt Protein Name
Proteasome subunit alpha type-7
UniProt Gene Name
PSMA7
UniProt Synonym Gene Names
HSPC
UniProt Entry Name
PSA7_HUMAN
Customer Reviews
Loading reviews...
Share Your Experience
Similar Products
Product Notes
The PSMA7 psma7 (Catalog #AAA307599) is an Antibody produced from Rabbit and is intended for research purposes only. The product is available for immediate purchase. The proteasome alpha 7 antibody reacts with Human and may cross-react with other species as described in the data sheet. AAA Biotech's proteasome alpha 7 can be used in a range of immunoassay formats including, but not limited to, IHC (Immunohistochemistry), WB (Western Blot). Researchers should empirically determine the suitability of the PSMA7 psma7 for an application not listed in the data sheet. Researchers commonly develop new applications and it is an integral, important part of the investigative research process. It is sometimes possible for the material contained within the vial of "proteasome alpha 7, Polyclonal Antibody" to become dispersed throughout the inside of the vial, particularly around the seal of said vial, during shipment and storage. We always suggest centrifuging these vials to consolidate all of the liquid away from the lid and to the bottom of the vial prior to opening. Please be advised that certain products may require dry ice for shipping and that, if this is the case, an additional dry ice fee may also be required.Precautions
All products in the AAA Biotech catalog are strictly for research-use only, and are absolutely not suitable for use in any sort of medical, therapeutic, prophylactic, in-vivo, or diagnostic capacity. By purchasing a product from AAA Biotech, you are explicitly certifying that said products will be properly tested and used in line with industry standard. AAA Biotech and its authorized distribution partners reserve the right to refuse to fulfill any order if we have any indication that a purchaser may be intending to use a product outside of our accepted criteria.Disclaimer
Though we do strive to guarantee the information represented in this datasheet, AAA Biotech cannot be held responsible for any oversights or imprecisions. AAA Biotech reserves the right to adjust any aspect of this datasheet at any time and without notice. It is the responsibility of the customer to inform AAA Biotech of any product performance issues observed or experienced within 30 days of receipt of said product. To see additional details on this or any of our other policies, please see our Terms & Conditions page.Item has been added to Shopping Cart
If you are ready to order, navigate to Shopping Cart and get ready to checkout.
