Rabbit anti-Human, Mouse Protein Tyrosine Phosphatase Receptor Type J Polyclonal Antibody | anti-PTPRJ antibody
Polyclonal Antibody to Protein Tyrosine Phosphatase Receptor Type J (PTPRJ)
Gene Names
PTPRJ; DEP1; SCC1; CD148; HPTPeta; R-PTP-ETA
Reactivity
Human, Mouse
Applications
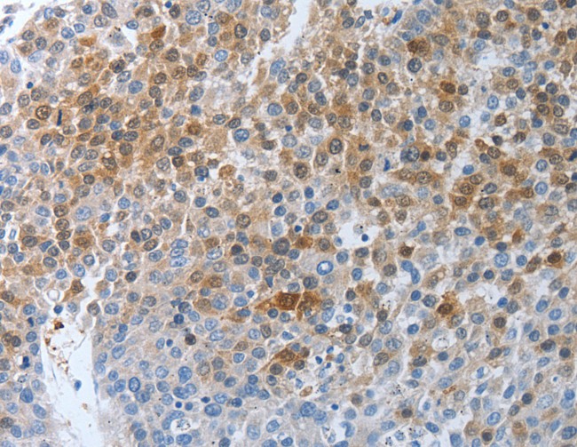
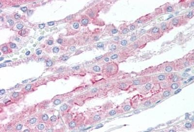
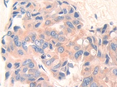
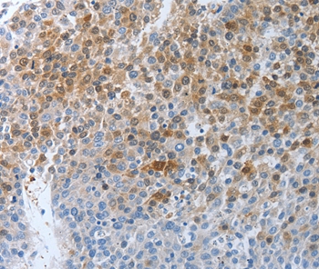
ELISA, Immunohistochemistry, Immunocytochemistry, Western Blot
Purity
Affinity Chromatography
Synonyms
Protein Tyrosine Phosphatase Receptor Type J, Antibody; Polyclonal Antibody to Protein Tyrosine Phosphatase Receptor Type J (PTPRJ); anti-PTPRJ antibody
Host
Rabbit
Reactivity
Human, Mouse
Clonality
Polyclonal
Specificity
The antibody is a rabbit polyclonal antibody raised against PTPRJ. It has beenselected for its ability to recognize PTPRJ in immunohistochemical staining andwestern blotting.
Purity/Purification
Affinity Chromatography
Form/Format
Liquid
Concentration
500ug/mL (varies by lot)
Sequence
Antigen: The target protein is fused with two N-terminal Tags, His-tag and T7-tag and its sequence is listed below.
MGSSHHHHHH SSGLVPRGSH MASMTGGQQM GRGSEF- ELAENRGKNR YNNVLPYDIS RVKLSVQTHS TDDYINANYM PGYHSKKDFI ATQGPLPNTL KDFWRMVWEK NVYAIIMLTK CVEQGRTKCE EYWPSKQAQD YGDITVAMTS EIVLPEWTIR DFTVKNIQTS ESHPLRQFHF TSWPDHGVPD TTDLLINFRY LVRDYMKQSP PESPILVHCS AGVGRTGTFI AIDRLIYQIE
MGSSHHHHHH SSGLVPRGSH MASMTGGQQM GRGSEF- ELAENRGKNR YNNVLPYDIS RVKLSVQTHS TDDYINANYM PGYHSKKDFI ATQGPLPNTL KDFWRMVWEK NVYAIIMLTK CVEQGRTKCE EYWPSKQAQD YGDITVAMTS EIVLPEWTIR DFTVKNIQTS ESHPLRQFHF TSWPDHGVPD TTDLLINFRY LVRDYMKQSP PESPILVHCS AGVGRTGTFI AIDRLIYQIE
Applicable Applications for anti-PTPRJ antibody
ELISA, IHC (Immunohistochemistry), ICC (Immunocytochemistry), WB (Western Blot)
Fragment
PTPRJ (Glu1061~Gln1293)
Organism Species
Homo sapiens (Human)
Cross Reactivity
Human, Mouse
Conjugate
No Conjugate
Immunogen
Recombinant PTPRJ (Glu1061~Gln1293) expressed in E Coli.
Conjugated Antibody
The APC conjugated antibody version of this item is also available as
Preparation and Storage
Store at 4 degree C for frequent use. Stored at -20 degree C to -80 degree C in a manual defrost freezer for one year without detectable loss of activity. Avoid repeated freeze-thaw cycles.
NCBI and Uniprot Product Information
NCBI GI #
NCBI GeneID
NCBI Accession #
NCBI GenBank Nucleotide #
Molecular Weight
57,190 Da
NCBI Official Full Name
receptor-type tyrosine-protein phosphatase eta isoform 2
NCBI Official Synonym Full Names
protein tyrosine phosphatase, receptor type J
NCBI Official Symbol
PTPRJ
NCBI Official Synonym Symbols
DEP1; SCC1; CD148; HPTPeta; R-PTP-ETA
NCBI Protein Information
receptor-type tyrosine-protein phosphatase eta
UniProt Protein Name
Receptor-type tyrosine-protein phosphatase eta
UniProt Gene Name
PTPRJ
UniProt Synonym Gene Names
DEP1; Protein-tyrosine phosphatase eta; R-PTP-eta; DEP-1; R-PTP-J
Customer Reviews
Loading reviews...
Share Your Experience
Similar Products
Product Notes
The PTPRJ ptprj (Catalog #AAA142804) is an Antibody produced from Rabbit and is intended for research purposes only. The product is available for immediate purchase. The Polyclonal Antibody to Protein Tyrosine Phosphatase Receptor Type J (PTPRJ) reacts with Human, Mouse and may cross-react with other species as described in the data sheet. AAA Biotech's Protein Tyrosine Phosphatase Receptor Type J can be used in a range of immunoassay formats including, but not limited to, ELISA, IHC (Immunohistochemistry), ICC (Immunocytochemistry), WB (Western Blot). Researchers should empirically determine the suitability of the PTPRJ ptprj for an application not listed in the data sheet. Researchers commonly develop new applications and it is an integral, important part of the investigative research process. The amino acid sequence is listed below: Antigen: The target protein is fused with two N-terminal Tags, His-tag and T7-tag and its sequence is listed below. MGSSHHHHHH SSGLVPRGSH MASMTGGQQM GRGSEF- ELAENRGKNR YNNVLPYDIS RVKLSVQTHS TDDYINANYM PGYHSKKDFI ATQGPLPNTL KDFWRMVWEK NVYAIIMLTK CVEQGRTKCE EYWPSKQAQD YGDITVAMTS EIVLPEWTIR DFTVKNIQTS ESHPLRQFHF TSWPDHGVPD TTDLLINFRY LVRDYMKQSP PESPILVHCS AGVGRTGTFI AIDRLIYQIE. It is sometimes possible for the material contained within the vial of "Protein Tyrosine Phosphatase Receptor Type J, Polyclonal Antibody" to become dispersed throughout the inside of the vial, particularly around the seal of said vial, during shipment and storage. We always suggest centrifuging these vials to consolidate all of the liquid away from the lid and to the bottom of the vial prior to opening. Please be advised that certain products may require dry ice for shipping and that, if this is the case, an additional dry ice fee may also be required.Precautions
All products in the AAA Biotech catalog are strictly for research-use only, and are absolutely not suitable for use in any sort of medical, therapeutic, prophylactic, in-vivo, or diagnostic capacity. By purchasing a product from AAA Biotech, you are explicitly certifying that said products will be properly tested and used in line with industry standard. AAA Biotech and its authorized distribution partners reserve the right to refuse to fulfill any order if we have any indication that a purchaser may be intending to use a product outside of our accepted criteria.Disclaimer
Though we do strive to guarantee the information represented in this datasheet, AAA Biotech cannot be held responsible for any oversights or imprecisions. AAA Biotech reserves the right to adjust any aspect of this datasheet at any time and without notice. It is the responsibility of the customer to inform AAA Biotech of any product performance issues observed or experienced within 30 days of receipt of said product. To see additional details on this or any of our other policies, please see our Terms & Conditions page.Item has been added to Shopping Cart
If you are ready to order, navigate to Shopping Cart and get ready to checkout.
