Rabbit anti-Human PRY Polyclonal Antibody | anti-PRY antibody
PRY Antibody
Gene Names
PRY2; PTPN13LY2
Reactivity
Human
Applications
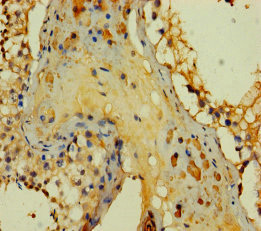
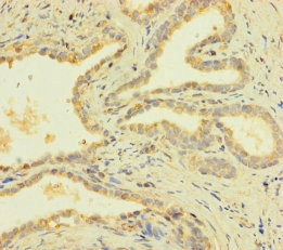
Immunohistochemistry, ELISA
Purity
>95%,Protein G purified
Synonyms
PRY, Antibody; PRY Antibody; PTPN13-like protein; Y-linked; Testis-specific PTP-BL-related Y protein; PRY; PRY1; PTPN13LY; AND; PRY2; PTPN13LY2; PRYP3; PRYP4; anti-PRY antibody
Host
Rabbit
Reactivity
Human
Clonality
Polyclonal
Isotype
IgG
Purity/Purification
>95%,Protein G purified
Form/Format
Liquid
Sequence Length
147
Applicable Applications for anti-PRY antibody
IHC (Immunohistochemistry), ELISA
Immunogen
Recombinant human PTPN13-like protein, Y-linked protein
Conjugation
Non-conjugated
Storage Buffer
Preservative: 0.03% Proclin 300 Constituents: 50% Glycerol, 0.01M PBS, PH 7.4
Santa Cruz Alternative
Potential replacement for Santa Cruz Biotechnology antibody catalog# sc-79704
Preparation and Storage
Shipped at 4 degree C. Upon delivery, aliquot and store at -20 degree C or -80 degree C.
NCBI and Uniprot Product Information
NCBI GI #
NCBI GeneID
NCBI Accession #
NCBI GenBank Nucleotide #
Molecular Weight
7,878 Da
NCBI Official Full Name
PTPN13-like protein, Y-linked
NCBI Official Synonym Full Names
PTPN13-like, Y-linked 2
NCBI Official Symbol
PRY2
NCBI Official Synonym Symbols
PTPN13LY2
NCBI Protein Information
PTPN13-like protein, Y-linked
UniProt Protein Name
PTPN13-like protein, Y-linked
UniProt Gene Name
PRY
UniProt Synonym Gene Names
PRY1; PTPN13LY
UniProt Entry Name
PRY_HUMAN
Customer Reviews
Loading reviews...
Share Your Experience
Similar Products
Product Notes
The PRY pry (Catalog #AAA229371) is an Antibody produced from Rabbit and is intended for research purposes only. The product is available for immediate purchase. The PRY Antibody reacts with Human and may cross-react with other species as described in the data sheet. AAA Biotech's PRY can be used in a range of immunoassay formats including, but not limited to, IHC (Immunohistochemistry), ELISA. Researchers should empirically determine the suitability of the PRY pry for an application not listed in the data sheet. Researchers commonly develop new applications and it is an integral, important part of the investigative research process. It is sometimes possible for the material contained within the vial of "PRY, Polyclonal Antibody" to become dispersed throughout the inside of the vial, particularly around the seal of said vial, during shipment and storage. We always suggest centrifuging these vials to consolidate all of the liquid away from the lid and to the bottom of the vial prior to opening. Please be advised that certain products may require dry ice for shipping and that, if this is the case, an additional dry ice fee may also be required.Precautions
All products in the AAA Biotech catalog are strictly for research-use only, and are absolutely not suitable for use in any sort of medical, therapeutic, prophylactic, in-vivo, or diagnostic capacity. By purchasing a product from AAA Biotech, you are explicitly certifying that said products will be properly tested and used in line with industry standard. AAA Biotech and its authorized distribution partners reserve the right to refuse to fulfill any order if we have any indication that a purchaser may be intending to use a product outside of our accepted criteria.Disclaimer
Though we do strive to guarantee the information represented in this datasheet, AAA Biotech cannot be held responsible for any oversights or imprecisions. AAA Biotech reserves the right to adjust any aspect of this datasheet at any time and without notice. It is the responsibility of the customer to inform AAA Biotech of any product performance issues observed or experienced within 30 days of receipt of said product. To see additional details on this or any of our other policies, please see our Terms & Conditions page.Item has been added to Shopping Cart
If you are ready to order, navigate to Shopping Cart and get ready to checkout.
