Rabbit PSD95 Polyclonal Antibody | anti-DLG4 antibody
Anti-PSD95 antibody
WB (Western Blot)
(Anti-PSD95 antibody, AAA45684, All Western blottingAll lanes: Anti-DLG4 (AAA45684) at 0.5ug/mlLane 1: Rat Brain Tissue Lysate at 40ugLane 2: HELA Whole Cell Lysate at 40ugPredicted bind size: 80KDObserved bind size: 100KD)
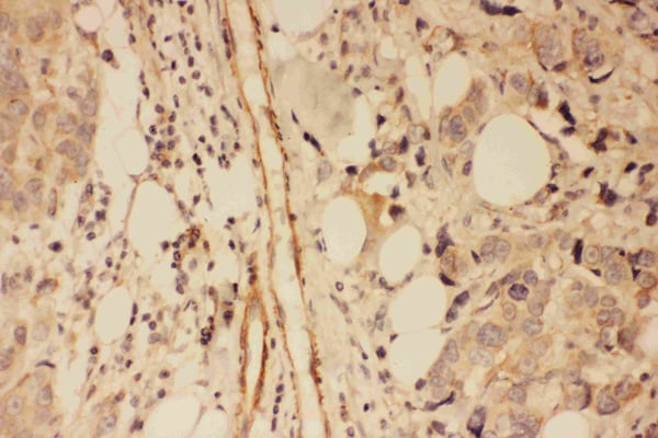
IHC (Immunohiostchemistry)
(Anti-PSD95 antibody, AAA45684, IHC(P)IHC(P): Human Mammary Cancer Tissue)
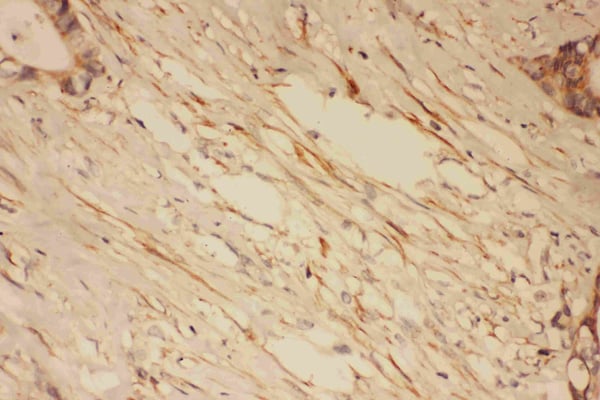
IHC (Immunohistochemistry)
(Anti-PSD95 antibody, AAA45684, IHC(P)IHC(P): Human Intestinal Cancer Tissue)
Background: DLG4 discs large homolog 4, also known as PSD95 or SAP-90, is a protein that in humans is encoded by the DLG4 gene. It is a member of the membrane-associated guanylate kinase(MAGUK) family. This gene is mapped to 17p13.1. DLG4 can heteromultimerize with another MAGUK protein, DLG2, and is recruited into NMDA receptor and potassium channel clusters. These two MAGUK proteins may interact at postsynaptic sites to form a multimeric scaffold for the clustering of receptors, ion channels, and associated signaling proteins. Overexpression of DLG4 in hippocampal neurons could drive maturation of glutamatergic synapses. DLG4 can orchestrate synaptic development and it has a role in synapse stabilization and plasticity. Ubiquitination of DLG4 through an MDM2-mediated pathway can regulate AMPA receptor surface expression during synaptic plasticity.
NCBI and Uniprot Product Information
Customer Reviews
Loading reviews...
Share Your Experience
Similar Products
Product Notes
The DLG4 dlg4 (Catalog #AAA45684) is an Antibody produced from Rabbit and is intended for research purposes only. The product is available for immediate purchase. The Anti-PSD95 antibody reacts with Human, Mouse, Rat and may cross-react with other species as described in the data sheet. AAA Biotech's PSD95 can be used in a range of immunoassay formats including, but not limited to, IHC (Immunohistochemistry), WB (Western Blot). Researchers should empirically determine the suitability of the DLG4 dlg4 for an application not listed in the data sheet. Researchers commonly develop new applications and it is an integral, important part of the investigative research process. It is sometimes possible for the material contained within the vial of "PSD95, Polyclonal Antibody" to become dispersed throughout the inside of the vial, particularly around the seal of said vial, during shipment and storage. We always suggest centrifuging these vials to consolidate all of the liquid away from the lid and to the bottom of the vial prior to opening. Please be advised that certain products may require dry ice for shipping and that, if this is the case, an additional dry ice fee may also be required.Precautions
All products in the AAA Biotech catalog are strictly for research-use only, and are absolutely not suitable for use in any sort of medical, therapeutic, prophylactic, in-vivo, or diagnostic capacity. By purchasing a product from AAA Biotech, you are explicitly certifying that said products will be properly tested and used in line with industry standard. AAA Biotech and its authorized distribution partners reserve the right to refuse to fulfill any order if we have any indication that a purchaser may be intending to use a product outside of our accepted criteria.Disclaimer
Though we do strive to guarantee the information represented in this datasheet, AAA Biotech cannot be held responsible for any oversights or imprecisions. AAA Biotech reserves the right to adjust any aspect of this datasheet at any time and without notice. It is the responsibility of the customer to inform AAA Biotech of any product performance issues observed or experienced within 30 days of receipt of said product. To see additional details on this or any of our other policies, please see our Terms & Conditions page.Item has been added to Shopping Cart
If you are ready to order, navigate to Shopping Cart and get ready to checkout.
