Rabbit PSMD8 Polyclonal Antibody | anti-PSMD8 antibody
PSMD8 Polyclonal Antibody
Gene Names
psmd8; fa93g07; fb17c09; fb49a10; zgc:86762; wu:fa93g07; wu:fb17c09; wu:fb49a10
Reactivity
Human, Mouse, Rat
Applications
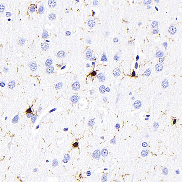
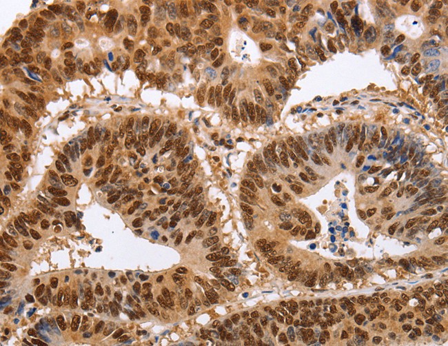
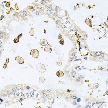
Immunohistochemistry, ELISA
Purity
Antigen affinity purification
Synonyms
PSMD8, Antibody; PSMD8 Polyclonal Antibody; S14, p31, HIP6, HYPF, Nin1p, Rpn12; anti-PSMD8 antibody
Host
Rabbit
Reactivity
Human, Mouse, Rat
Clonality
Polyclonal
Isotype
IgG
Purity/Purification
Antigen affinity purification
Concentration
0.7mg/mL (varies by lot)
Sequence Length
267
Applicable Applications for anti-PSMD8 antibody
IHC (Immunohistochemistry), ELISA
Immunogen
Recombinant protein of human PSMD8
Buffer
PBS with 0.05% sodium azide, 50% glycerol, pH7.3
Preparation and Storage
Store at -20 degree C (regular) and -80 degree C (long term). Avoid freeze / thaw cycles.
Related Product Information for anti-PSMD8 antibody
The 26S proteasome is a multicatalytic proteinase complex with a highly ordered structure composed of 2 complexes, a 20S core and a 19S regulator. The 20S core is composed of 4 rings of 28 non-identical subunits; 2 rings are composed of 7 alpha subunits and 2 rings are composed of 7 beta subunits. The 19S regulator is composed of a base, which contains 6 ATPase subunits and 2 non-ATPase subunits, and a lid, which contains up to 10 non-ATPase subunits. Proteasomes are distributed throughout eukaryotic cells at a high concentration and cleave peptides in an ATP/ubiquitin-dependent process in a non-lysosomal pathway. An essential function of a modified proteasome, the immunoproteasome, is the processing of class I MHC peptides. This gene encodes a non-ATPase subunit of the 19S regulator. A pseudogene has been identified on chromosome 1.
Product Categories/Family for anti-PSMD8 antibody
NCBI and Uniprot Product Information
NCBI GI #
NCBI GeneID
Molecular Weight
30,943 Da
NCBI Official Full Name
PSMD8
NCBI Official Synonym Full Names
proteasome (prosome, macropain) 26S subunit, non-ATPase, 8
NCBI Official Symbol
psmd8
NCBI Official Synonym Symbols
fa93g07; fb17c09; fb49a10; zgc:86762; wu:fa93g07; wu:fb17c09; wu:fb49a10
NCBI Protein Information
26S proteasome non-ATPase regulatory subunit 8
UniProt Protein Name
PSMD8
UniProt Gene Name
psmd8
UniProt Entry Name
K7XMM6_DANRE
Customer Reviews
Loading reviews...
Share Your Experience
Similar Products
Product Notes
The PSMD8 psmd8 (Catalog #AAA170081) is an Antibody produced from Rabbit and is intended for research purposes only. The product is available for immediate purchase. The PSMD8 Polyclonal Antibody reacts with Human, Mouse, Rat and may cross-react with other species as described in the data sheet. AAA Biotech's PSMD8 can be used in a range of immunoassay formats including, but not limited to, IHC (Immunohistochemistry), ELISA. Researchers should empirically determine the suitability of the PSMD8 psmd8 for an application not listed in the data sheet. Researchers commonly develop new applications and it is an integral, important part of the investigative research process. It is sometimes possible for the material contained within the vial of "PSMD8, Polyclonal Antibody" to become dispersed throughout the inside of the vial, particularly around the seal of said vial, during shipment and storage. We always suggest centrifuging these vials to consolidate all of the liquid away from the lid and to the bottom of the vial prior to opening. Please be advised that certain products may require dry ice for shipping and that, if this is the case, an additional dry ice fee may also be required.Precautions
All products in the AAA Biotech catalog are strictly for research-use only, and are absolutely not suitable for use in any sort of medical, therapeutic, prophylactic, in-vivo, or diagnostic capacity. By purchasing a product from AAA Biotech, you are explicitly certifying that said products will be properly tested and used in line with industry standard. AAA Biotech and its authorized distribution partners reserve the right to refuse to fulfill any order if we have any indication that a purchaser may be intending to use a product outside of our accepted criteria.Disclaimer
Though we do strive to guarantee the information represented in this datasheet, AAA Biotech cannot be held responsible for any oversights or imprecisions. AAA Biotech reserves the right to adjust any aspect of this datasheet at any time and without notice. It is the responsibility of the customer to inform AAA Biotech of any product performance issues observed or experienced within 30 days of receipt of said product. To see additional details on this or any of our other policies, please see our Terms & Conditions page.Item has been added to Shopping Cart
If you are ready to order, navigate to Shopping Cart and get ready to checkout.
