Rabbit PTEN Polyclonal Antibody | anti-PTEN antibody
PTEN Antibody
Phosphate buffered saline, pH 7.4, 150mM NaCl, 0.02% sodium azide and 50% glycerol.
IHC (Immunohistochemisry)
(AAA322082 at 1/100 staining Mouse pancreas tissue by IHC-P. The sample was formaldehyde fixed and a heat mediated antigen retrieval step in citrate buffer was performed. The sample was then blocked and incubated with the antibody for 1.5 hours at 22 degree C. An HRP conjugated goat anti-rabbit antibody was used as the secondary.)
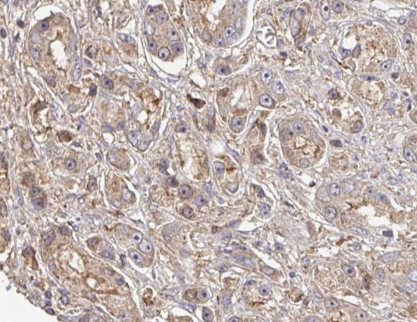
IHC (Immunohiostchemistry)
(AAA322082 at 1/100 staining human Pancreas cancer tissues sections by IHC-P. The tissue was formaldehyde fixed and a heat mediated antigen retrieval step in citrate buffer was performed. The tissue was then blocked and incubated with the antibody for 1.5 hou)
WB (Western Blot)
(Western blot analysis on rat heart cell lysate using PTEN Antibody.The lane on the left is treated with the antigen-specific peptide.)
Subunit Structure: Monomer. The unphosphorylated form interacts with the second PDZ domain of AIP1 and with DLG1 and MAST2 in vitro (PubMed:10646847, PubMed:10760291, PubMed:11707428). Interacts with MAGI2, MAGI3, MAST1 and MAST3, but neither with MAST4 nor with DLG5; interaction with MAGI2 increases protein stability (PubMed:10748157, PubMed:15951562). Interacts with NEDD4 (PubMed:17218260). Interacts with NDFIP1 and NDFIP2; in the presence of NEDD4 or ITCH, this interaction promotes PTEN ubiquitination (PubMed:25801959, PubMed:20534535). Interacts (via C2 domain) with FRK (PubMed:19345329). Interacts with USP7; the interaction is direct (PubMed:18716620). Interacts with ROCK1 (By similarity). Interacts with XIAP/BIRC4 (PubMed:19473982). Interacts with STK11; the interaction phosphorylates PTEN (PubMed:15987703). Interacts with PPP1R16B (PubMed:25007873). Interacts with NOP53; regulates PTEN phosphorylation and increases its stability (PubMed:15355975).
Post-translational Modifications: Constitutively phosphorylated by CK2 under normal conditions. Phosphorylated in vitro by MAST1, MAST2, MAST3 and STK11. Phosphorylation results in an inhibited activity towards PIP3. Phosphorylation can both inhibit or promote PDZ-binding. Phosphorylation at Tyr-336 by FRK/PTK5 protects this protein from ubiquitin-mediated degradation probably by inhibiting its binding to NEDD4. Phosphorylation by ROCK1 is essential for its stability and activity. Phosphorylation by PLK3 promotes its stability and prevents its degradation by the proteasome. Monoubiquitinated; monoubiquitination is increased in presence of retinoic acid. Deubiquitinated by USP7; leading to its nuclear exclusion. Monoubiquitination of one of either Lys-13 and Lys-289 amino acid is sufficient to modulate PTEN compartmentalization. Ubiquitinated by XIAP/BIRC4.
Similarity: The C2 domain binds phospholipid membranes in vitro in a Ca2+-independent manner; this binding is important for its tumor suppressor function.
NCBI and Uniprot Product Information
Predicted: 48 kDa
Customer Reviews
Loading reviews...
Share Your Experience
Similar Products
Product Notes
The PTEN pten (Catalog #AAA322082) is an Antibody produced from Rabbit and is intended for research purposes only. The product is available for immediate purchase. The PTEN Antibody reacts with Human, Mouse, Rat and may cross-react with other species as described in the data sheet. AAA Biotech's PTEN can be used in a range of immunoassay formats including, but not limited to, ELISA, IHC (Immunohistochemistry), WB (Western Blot). Researchers should empirically determine the suitability of the PTEN pten for an application not listed in the data sheet. Researchers commonly develop new applications and it is an integral, important part of the investigative research process. It is sometimes possible for the material contained within the vial of "PTEN, Polyclonal Antibody" to become dispersed throughout the inside of the vial, particularly around the seal of said vial, during shipment and storage. We always suggest centrifuging these vials to consolidate all of the liquid away from the lid and to the bottom of the vial prior to opening. Please be advised that certain products may require dry ice for shipping and that, if this is the case, an additional dry ice fee may also be required.Precautions
All products in the AAA Biotech catalog are strictly for research-use only, and are absolutely not suitable for use in any sort of medical, therapeutic, prophylactic, in-vivo, or diagnostic capacity. By purchasing a product from AAA Biotech, you are explicitly certifying that said products will be properly tested and used in line with industry standard. AAA Biotech and its authorized distribution partners reserve the right to refuse to fulfill any order if we have any indication that a purchaser may be intending to use a product outside of our accepted criteria.Disclaimer
Though we do strive to guarantee the information represented in this datasheet, AAA Biotech cannot be held responsible for any oversights or imprecisions. AAA Biotech reserves the right to adjust any aspect of this datasheet at any time and without notice. It is the responsibility of the customer to inform AAA Biotech of any product performance issues observed or experienced within 30 days of receipt of said product. To see additional details on this or any of our other policies, please see our Terms & Conditions page.Item has been added to Shopping Cart
If you are ready to order, navigate to Shopping Cart and get ready to checkout.
