Rabbit PTER Polyclonal Antibody | anti-PTER antibody
PTER Antibody
Reactivity
Human, Mouse, Rat
Applications
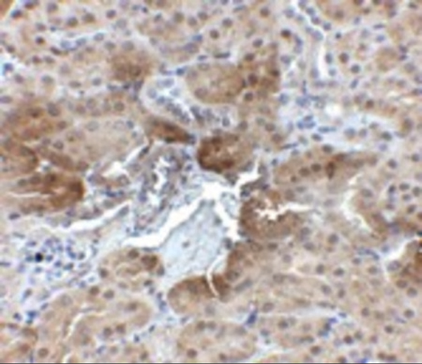
Immunohistochemistry, Western Blot, ELISA
Purity
Affinity chromatography purified via peptide column
Synonyms
PTER, Antibody; PTER Antibody; Phosphotriesterase-related protein, RPR-1; anti-PTER antibody
Host
Rabbit
Reactivity
Human, Mouse, Rat
Clonality
Polyclonal
Purity/Purification
Affinity chromatography purified via peptide column
Form/Format
Supplied in PBS containing 0.02% sodium azide.
Sequence Length
302
Applicable Applications for anti-PTER antibody
IHC (Immunohistochemistry), WB (Western Blot), ELISA
Immunogen Type
Peptide
Immunogen Description
Raised against a 16 amino acid peptide from near the carboxy terminus of human PTER.
Target Name
PTER
Preparation and Storage
Can be stored at -20 degree C, stable for one year. As with all antibodies care should be taken to avoid repeated freeze thaw cycles. Antibodies should not be exposed to prolonged high temperatures.
Related Product Information for anti-PTER antibody
PTER is a mammalian homolog to bacterial phosphotriesterases, enzymes that hydrolyze phosphotriester-containing organophosphate pesticides. It is expressed primarily in the proximal renal tubules and the gene has been localized in humans to chromosomal band 10p12 by in situ hybridization. PTER, in addition to FTO, MC4R, and NPC1 has recently been shown to be a new risk loci for early-onset and morbid adult obesity in European populations. At least two isoforms of PTER are known to exist.
Product Categories/Family for anti-PTER antibody
NCBI and Uniprot Product Information
Customer Reviews
Loading reviews...
Share Your Experience
Similar Products
Product Notes
The PTER pter (Catalog #AAA301737) is an Antibody produced from Rabbit and is intended for research purposes only. The product is available for immediate purchase. The PTER Antibody reacts with Human, Mouse, Rat and may cross-react with other species as described in the data sheet. AAA Biotech's PTER can be used in a range of immunoassay formats including, but not limited to, IHC (Immunohistochemistry), WB (Western Blot), ELISA. Researchers should empirically determine the suitability of the PTER pter for an application not listed in the data sheet. Researchers commonly develop new applications and it is an integral, important part of the investigative research process. It is sometimes possible for the material contained within the vial of "PTER, Polyclonal Antibody" to become dispersed throughout the inside of the vial, particularly around the seal of said vial, during shipment and storage. We always suggest centrifuging these vials to consolidate all of the liquid away from the lid and to the bottom of the vial prior to opening. Please be advised that certain products may require dry ice for shipping and that, if this is the case, an additional dry ice fee may also be required.Precautions
All products in the AAA Biotech catalog are strictly for research-use only, and are absolutely not suitable for use in any sort of medical, therapeutic, prophylactic, in-vivo, or diagnostic capacity. By purchasing a product from AAA Biotech, you are explicitly certifying that said products will be properly tested and used in line with industry standard. AAA Biotech and its authorized distribution partners reserve the right to refuse to fulfill any order if we have any indication that a purchaser may be intending to use a product outside of our accepted criteria.Disclaimer
Though we do strive to guarantee the information represented in this datasheet, AAA Biotech cannot be held responsible for any oversights or imprecisions. AAA Biotech reserves the right to adjust any aspect of this datasheet at any time and without notice. It is the responsibility of the customer to inform AAA Biotech of any product performance issues observed or experienced within 30 days of receipt of said product. To see additional details on this or any of our other policies, please see our Terms & Conditions page.Item has been added to Shopping Cart
If you are ready to order, navigate to Shopping Cart and get ready to checkout.
