PTGER4 / EP4 Polyclonal Antibody | anti-PTGER4 antibody
Rabbit Polyclonal to Human PTGER4 / EP4
Gene Names
PTGER4; EP4; EP4R
Reactivity
Human, Monkey
Applications
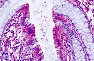
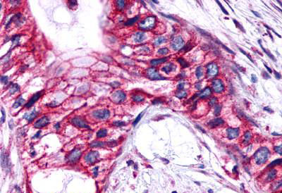
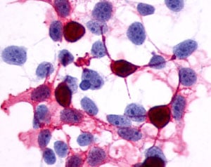
Immunocytochemistry, Immunohistochemistry
Purity
Immunoaffinity Purified
Synonyms
PTGER4 / EP4, Antibody; Rabbit Polyclonal to Human PTGER4 / EP4; Anti-PTGER4 / EP4 Antibody (C-Terminus) IHC-plus; PTGER4; EP4; EP4 prostaglandin receptor; EP4R; PGE receptor EP4 subtype; Prostanoid EP4 receptor; Prostaglandin E receptor 4; PGE receptor; EP4 subtype; PGE2 receptor EP4 subtype; Human PTGER4; anti-PTGER4 antibody
Host
PTGER4/EP4 antibody was produced in Rabbit
Reactivity
Human, Monkey
Clonality
Polyclonal
Specificity
Human PTGER4 / EP4. BLAST analysis of the peptide immunogen showed no homology with other human proteins.
Purity/Purification
Immunoaffinity Purified
Form/Format
PBS, 0.1% sodium azide.
Concentration
1 mg/ml (varies by lot)
Sequence Length
488
Applicable Applications for anti-PTGER4 antibody
ICC (Immunocytochemistry), IHC (Immunohistochemistry)
Antigen Type
Synthetic peptide
Immunogen
PTGER4 / EP4 antibody was raised against synthetic 18 amino acid peptide from C-terminus of human PTGER4 / EP4. Percent identity with other species by BLAST analysis: Human, Chimpanzee, Gorilla, Gibbon, Monkey, Marmoset (100%); Panda, Dog, Horse (83%).
Immunogen Species
PTGER4/EP4 antibody was raised against Human
Disclaimer
Due to the highly specific nature of antibodies and antigens, we cannot predict or be held responsible with respect to how this antibody will behave in your systems. Researchers using this antibody should conduct optimization studies to achieve the most optimal result possible for their intended application.
Recommended Immunohistochemistry Protocol
The following protocol is a recommendation only, and AAA Biotech makes no guarantee of the results:
Tissue Preparation:
Formalin fixation and embedding in paraffin wax.
Tissue Sectioning:
Make 4-um sections and place on pre-cleaned and charged microscope slides. Heat in a tissue-dryingoven for 45 minutes at 60°C.
Deparaffinization:
Wash dry slides in 3 changes of xylene - 5 minutes each @ RT
Rehydration:
Wash slides in 3 changes of 100% alcohol - 3 minutes each @ RT
Wash slides in 2 changes of 95% alcohol - 3 minutes each @ RT
Wash slides in 1 change of 80% alcohol - 3 minutes @ RT
Rinse slides in gentle running distilled water - 5 minutes @ RT
Antigen retrieval:
Steam slides in 0.01 M sodium citrate buffer, pH 6.0 at 99-100°C - 20 minutes
Remove from heat and let stand at room temperature in buffer - 20 minutes
Rinse in 1X TBS with Tween (TBST) -1 minute @ RT
Immunostaining:
(Do not allow tissues to dry at any time during the staining procedure)
Apply a universal protein block - 20 minutes @ RT
Drain protein block from slides, apply diluted primary antibody - 45 minutes @ RT
Rinse slides in 1 X TBST - 1 minute @ RT
Apply a biotinylated secondary antibody appropriate for the primary antibody - 30 minutes @ RT
Rinse slides in 1X TBST -1 minute @ RT
Apply alkaline phosphatase streptavidin - 30 minutes @ RT
Rinse slides in 1X TBST -1 minute @ RT
Apply alkaline phosphatase chromogen substrate - 30 minutes @ RT
Wash slides in distilled water - 1 minute @ RT
Dehydrate:
(This method should only be used if the chromogen substrate is alcohol insoluble (e.g. Vector Red, DAB)
Wash slides in 2 changes of 80% alcohol - 1 minute each @ RT
Wash slides in 2 changes of 95% alcohol - 1 minute each @ RT
Wash slides in 3 changes of 100% alcohol - 1 minute each @ RT
Wash slides in 3 changes of xylene - 1 minute each @ RT
Apply coverslip
Tissue Preparation:
Formalin fixation and embedding in paraffin wax.
Tissue Sectioning:
Make 4-um sections and place on pre-cleaned and charged microscope slides. Heat in a tissue-dryingoven for 45 minutes at 60°C.
Deparaffinization:
Wash dry slides in 3 changes of xylene - 5 minutes each @ RT
Rehydration:
Wash slides in 3 changes of 100% alcohol - 3 minutes each @ RT
Wash slides in 2 changes of 95% alcohol - 3 minutes each @ RT
Wash slides in 1 change of 80% alcohol - 3 minutes @ RT
Rinse slides in gentle running distilled water - 5 minutes @ RT
Antigen retrieval:
Steam slides in 0.01 M sodium citrate buffer, pH 6.0 at 99-100°C - 20 minutes
Remove from heat and let stand at room temperature in buffer - 20 minutes
Rinse in 1X TBS with Tween (TBST) -1 minute @ RT
Immunostaining:
(Do not allow tissues to dry at any time during the staining procedure)
Apply a universal protein block - 20 minutes @ RT
Drain protein block from slides, apply diluted primary antibody - 45 minutes @ RT
Rinse slides in 1 X TBST - 1 minute @ RT
Apply a biotinylated secondary antibody appropriate for the primary antibody - 30 minutes @ RT
Rinse slides in 1X TBST -1 minute @ RT
Apply alkaline phosphatase streptavidin - 30 minutes @ RT
Rinse slides in 1X TBST -1 minute @ RT
Apply alkaline phosphatase chromogen substrate - 30 minutes @ RT
Wash slides in distilled water - 1 minute @ RT
Dehydrate:
(This method should only be used if the chromogen substrate is alcohol insoluble (e.g. Vector Red, DAB)
Wash slides in 2 changes of 80% alcohol - 1 minute each @ RT
Wash slides in 2 changes of 95% alcohol - 1 minute each @ RT
Wash slides in 3 changes of 100% alcohol - 1 minute each @ RT
Wash slides in 3 changes of xylene - 1 minute each @ RT
Apply coverslip
Note
During shipment,small volumes of product will ocassionally become entrapped in the seal of the product vial. We recommend briefly centrifuging the vial to dislodge any liquid in the container's cap prior to opening.
Warning
This reagent may contain sodium azide. The chemical, physical, and toxicologial properties of this material have not been thoughly investigated.Standard Laboratory Practices should be followed. Avoid skin and eye contact,inhalation, and ingestion. Sodium azide forms hydrazoic acid under acidic conditions and may react with lead or copper plubing to form highly explosive metal azides. On disposal, flush with large volumes of water to prevent accumulation.
Preparation and Storage
Aliquot and store undiluted at -20°C or below for up to 1 year. Can be stored undiluted at 4°C for up to 1 month. Avoid freeze/thaw cycles.
Related Product Information for anti-PTGER4 antibody
Prostaglandin E receptor EP4 is a Prostanoid Receptor with a relaxing effect on smooth muscle. It may play an important role in regulating renal hemodynamics, intestinal epithelial transport, adrenal aldosterone secretion, and uterine function.
Product Categories/Family for anti-PTGER4 antibody
NCBI and Uniprot Product Information
NCBI GI #
NCBI GeneID
NCBI Accession #
NCBI GenBank Nucleotide #
NCBI Official Full Name
prostaglandin E2 receptor EP4 subtype
NCBI Official Synonym Full Names
prostaglandin E receptor 4 (subtype EP4)
NCBI Official Symbol
PTGER4
NCBI Official Synonym Symbols
EP4; EP4R
NCBI Protein Information
prostaglandin E2 receptor EP4 subtype; prostanoid EP4 receptor; PGE receptor EP4 subtype; PGE receptor, EP4 subtype; PGE2 receptor EP4 subtype
UniProt Protein Name
Prostaglandin E2 receptor EP4 subtype
UniProt Gene Name
PTGER4
UniProt Synonym Gene Names
PTGER2; PGE receptor EP4 subtype; PGE2 receptor EP4 subtype
UniProt Entry Name
PE2R4_HUMAN
Customer Reviews
Loading reviews...
Share Your Experience
Similar Products
Product Notes
The PTGER4 ptger4 (Catalog #AAA52128) is an Antibody produced from PTGER4/EP4 antibody was produced in Rabbit and is intended for research purposes only. The product is available for immediate purchase. The Rabbit Polyclonal to Human PTGER4 / EP4 reacts with Human, Monkey and may cross-react with other species as described in the data sheet. AAA Biotech's PTGER4 / EP4 can be used in a range of immunoassay formats including, but not limited to, ICC (Immunocytochemistry), IHC (Immunohistochemistry). Researchers should empirically determine the suitability of the PTGER4 ptger4 for an application not listed in the data sheet. Researchers commonly develop new applications and it is an integral, important part of the investigative research process. It is sometimes possible for the material contained within the vial of "PTGER4 / EP4, Polyclonal Antibody" to become dispersed throughout the inside of the vial, particularly around the seal of said vial, during shipment and storage. We always suggest centrifuging these vials to consolidate all of the liquid away from the lid and to the bottom of the vial prior to opening. Please be advised that certain products may require dry ice for shipping and that, if this is the case, an additional dry ice fee may also be required.Precautions
All products in the AAA Biotech catalog are strictly for research-use only, and are absolutely not suitable for use in any sort of medical, therapeutic, prophylactic, in-vivo, or diagnostic capacity. By purchasing a product from AAA Biotech, you are explicitly certifying that said products will be properly tested and used in line with industry standard. AAA Biotech and its authorized distribution partners reserve the right to refuse to fulfill any order if we have any indication that a purchaser may be intending to use a product outside of our accepted criteria.Disclaimer
Though we do strive to guarantee the information represented in this datasheet, AAA Biotech cannot be held responsible for any oversights or imprecisions. AAA Biotech reserves the right to adjust any aspect of this datasheet at any time and without notice. It is the responsibility of the customer to inform AAA Biotech of any product performance issues observed or experienced within 30 days of receipt of said product. To see additional details on this or any of our other policies, please see our Terms & Conditions page.Item has been added to Shopping Cart
If you are ready to order, navigate to Shopping Cart and get ready to checkout.
