Rabbit anti-Human R3HCC1L Polyclonal Antibody | anti-R3HCC1L antibody
R3HCC1L Antibody
Gene Names
R3HCC1L; PSORT; GIDRP86; GIDRP88; C10orf28
Reactivity
Human
Applications
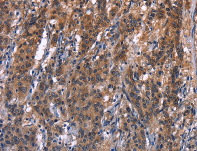
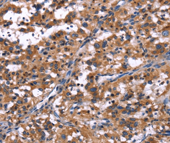
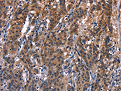
Immunohistochemistry
Purity
Antigen affinity purification.
Synonyms
R3HCC1L, Antibody; R3HCC1L Antibody; PSORT; GIDRP86; GIDRP88; C10orf28; anti-R3HCC1L antibody
Host
Rabbit
Reactivity
Human
Clonality
Polyclonal
Specificity
The antibody detects endogenous levels of total R3HCC1L protein.
Purity/Purification
Antigen affinity purification.
Form/Format
Rabbit IgG in pH7.3 PBS, 0.05% NaN3, 50% Glycerol.
Concentration
2.9 mg/ml (varies by lot)
Sequence Length
792
Applicable Applications for anti-R3HCC1L antibody
IHC (Immunohistochemistry)
Immunogen Type
Peptide
Immunogen Description
Synthetic peptide corresponding to residues near the C terminal of human R3H domain and coiled-coil containing 1-like
Target Name
R3HCC1L
Preparation and Storage
Store at -20 degree C
Related Product Information for anti-R3HCC1L antibody
C10orf28 (chromosome 10 open reading frame 28), also known as GIDRP88 (growth inhibition and differentiation-related protein 88) or putative mitochondrial space protein 32.1, is a 792 amino acid protein that exists as three alternatively spliced isoforms. The gene encoding C10orf28 maps to human chromosome 10, which spans nearly 135 million base pairs, makes up approximately 4.5% of total DNA in cells and encodes nearly 1,200 genes. Several protein-coding genes, including those that encode for chemokines, cadherins, excision repair proteins, early growth response factors (Egrs) and fibroblast growth receptors (FGFRs), are located on chromosome 10. Defects in some of the genes that map to chromosome 10 are associated with Charcot-Marie Tooth disease, Jackson-Weiss syndrome, Usher syndrome, nonsyndromatic deafness, Wolman's syndrome, Cowden syndrome, multiple endocrine neoplasia type 2 and porphyria.
Product Categories/Family for anti-R3HCC1L antibody
NCBI and Uniprot Product Information
NCBI GI #
NCBI GeneID
NCBI Accession #
NCBI GenBank Nucleotide #
Molecular Weight
21,191 Da
NCBI Official Full Name
coiled-coil domain-containing protein R3HCC1L isoform 1
NCBI Official Synonym Full Names
R3H domain and coiled-coil containing 1-like
NCBI Official Symbol
R3HCC1L
NCBI Official Synonym Symbols
PSORT; GIDRP86; GIDRP88; C10orf28
NCBI Protein Information
coiled-coil domain-containing protein R3HCC1L
UniProt Protein Name
Coiled-coil domain-containing protein R3HCC1L
UniProt Gene Name
R3HCC1L
UniProt Synonym Gene Names
C10orf28; GIDRP88
UniProt Entry Name
R3HCL_HUMAN
Customer Reviews
Loading reviews...
Share Your Experience
Similar Products
Product Notes
The R3HCC1L r3hcc1l (Catalog #AAA305612) is an Antibody produced from Rabbit and is intended for research purposes only. The product is available for immediate purchase. The R3HCC1L Antibody reacts with Human and may cross-react with other species as described in the data sheet. AAA Biotech's R3HCC1L can be used in a range of immunoassay formats including, but not limited to, IHC (Immunohistochemistry). Researchers should empirically determine the suitability of the R3HCC1L r3hcc1l for an application not listed in the data sheet. Researchers commonly develop new applications and it is an integral, important part of the investigative research process. It is sometimes possible for the material contained within the vial of "R3HCC1L, Polyclonal Antibody" to become dispersed throughout the inside of the vial, particularly around the seal of said vial, during shipment and storage. We always suggest centrifuging these vials to consolidate all of the liquid away from the lid and to the bottom of the vial prior to opening. Please be advised that certain products may require dry ice for shipping and that, if this is the case, an additional dry ice fee may also be required.Precautions
All products in the AAA Biotech catalog are strictly for research-use only, and are absolutely not suitable for use in any sort of medical, therapeutic, prophylactic, in-vivo, or diagnostic capacity. By purchasing a product from AAA Biotech, you are explicitly certifying that said products will be properly tested and used in line with industry standard. AAA Biotech and its authorized distribution partners reserve the right to refuse to fulfill any order if we have any indication that a purchaser may be intending to use a product outside of our accepted criteria.Disclaimer
Though we do strive to guarantee the information represented in this datasheet, AAA Biotech cannot be held responsible for any oversights or imprecisions. AAA Biotech reserves the right to adjust any aspect of this datasheet at any time and without notice. It is the responsibility of the customer to inform AAA Biotech of any product performance issues observed or experienced within 30 days of receipt of said product. To see additional details on this or any of our other policies, please see our Terms & Conditions page.Item has been added to Shopping Cart
If you are ready to order, navigate to Shopping Cart and get ready to checkout.
