Rabbit anti-Human RAB41 Polyclonal Antibody | anti-RAB41 antibody
RAB41 Antibody
Reactivity
Human
Applications
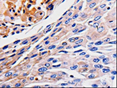
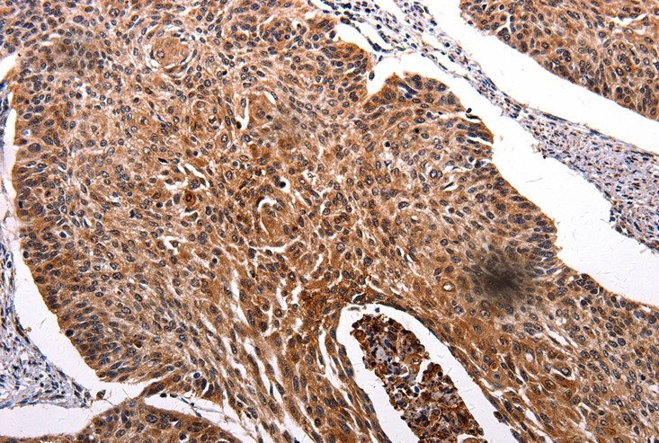
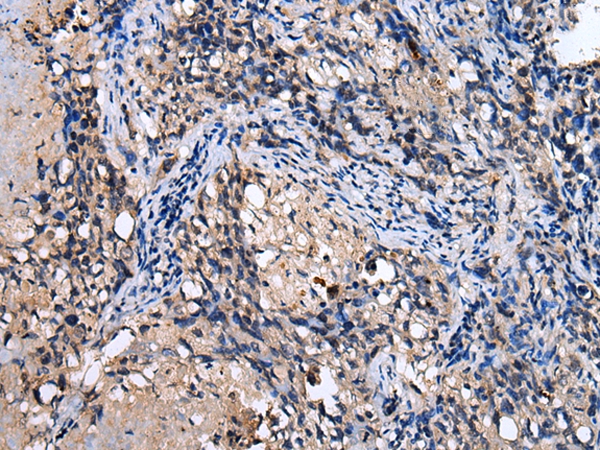
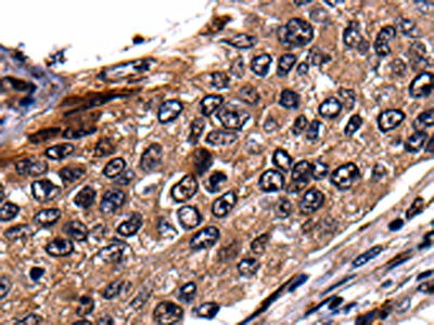
Immunohistochemistry
Purity
Antigen Affinity Purification
Synonyms
RAB41, Antibody; RAB41 Antibody; RAB41; member RAS homolog family; member RAS oncogene family; Ras-related protein Rab-41; anti-RAB41 antibody
Host
Rabbit
Reactivity
Human
Clonality
Polyclonal
Specificity
The antibody detects endogenous levels of total RAB41 protein.
Purity/Purification
Antigen Affinity Purification
Form/Format
Rabbit IgG in pH7.4 PBS, 0.05% NaN3, 40% Glycerol.
Concentration
0.7 mg/ml (varies by lot)
Sequence Length
221
Applicable Applications for anti-RAB41 antibody
IHC (Immunohistochemistry)
Immunogen
Full length fusion protein of human RAB41
Immunogen Type
Protein
Preparation and Storage
Store at -20 degree C
Related Product Information for anti-RAB41 antibody
This gene encodes a small GTP-binding protein that belongs to the largest family within the Ras superfamily. These proteins function as regulators of membrane trafficking. They cycle between inactive GDP-bound and activated GTP-bound states, which is controlled by GTP hydrolysis-activating proteins (GAPs). This family member can be activated by the GAP protein RN-Tre, and it is localized to the Golgi complex.
Product Categories/Family for anti-RAB41 antibody
NCBI and Uniprot Product Information
NCBI GI #
NCBI GeneID
NCBI Accession #
NCBI GenBank Nucleotide #
Molecular Weight
24,939 Da
NCBI Official Full Name
ras-related protein Rab-41
NCBI Official Synonym Full Names
RAB41, member RAS oncogene family
NCBI Official Symbol
RAB41
NCBI Protein Information
ras-related protein Rab-41
UniProt Protein Name
Ras-related protein Rab-41
UniProt Gene Name
RAB41
UniProt Entry Name
RAB41_HUMAN
Customer Reviews
Loading reviews...
Share Your Experience
Similar Products
Product Notes
The RAB41 rab41 (Catalog #AAA308650) is an Antibody produced from Rabbit and is intended for research purposes only. The product is available for immediate purchase. The RAB41 Antibody reacts with Human and may cross-react with other species as described in the data sheet. AAA Biotech's RAB41 can be used in a range of immunoassay formats including, but not limited to, IHC (Immunohistochemistry). Researchers should empirically determine the suitability of the RAB41 rab41 for an application not listed in the data sheet. Researchers commonly develop new applications and it is an integral, important part of the investigative research process. It is sometimes possible for the material contained within the vial of "RAB41, Polyclonal Antibody" to become dispersed throughout the inside of the vial, particularly around the seal of said vial, during shipment and storage. We always suggest centrifuging these vials to consolidate all of the liquid away from the lid and to the bottom of the vial prior to opening. Please be advised that certain products may require dry ice for shipping and that, if this is the case, an additional dry ice fee may also be required.Precautions
All products in the AAA Biotech catalog are strictly for research-use only, and are absolutely not suitable for use in any sort of medical, therapeutic, prophylactic, in-vivo, or diagnostic capacity. By purchasing a product from AAA Biotech, you are explicitly certifying that said products will be properly tested and used in line with industry standard. AAA Biotech and its authorized distribution partners reserve the right to refuse to fulfill any order if we have any indication that a purchaser may be intending to use a product outside of our accepted criteria.Disclaimer
Though we do strive to guarantee the information represented in this datasheet, AAA Biotech cannot be held responsible for any oversights or imprecisions. AAA Biotech reserves the right to adjust any aspect of this datasheet at any time and without notice. It is the responsibility of the customer to inform AAA Biotech of any product performance issues observed or experienced within 30 days of receipt of said product. To see additional details on this or any of our other policies, please see our Terms & Conditions page.Item has been added to Shopping Cart
If you are ready to order, navigate to Shopping Cart and get ready to checkout.
