Rabbit Rab5A Polyclonal Antibody | anti-Rab5A antibody
Rab5A Antibody
Phosphate buffered saline, pH 7.4, 150mM NaCl, 0.02% sodium azide and 50% glycerol.
IHC (Immunohistochemisry)
(AAA321796 at 1/100 staining human colon tissues sections by IHC-P. The tissue was formaldehyde fixed and a heat mediated antigen retrieval step in citrate buffer was performed. The tissue was then blocked and incubated with the antibody for 1.5 hours at121 degree)
WB (Western Blot)
(Western blot analysis of Rab5A expression in HeLa cell lysate, The lane on the left is treated with the antigen-specific peptide.)
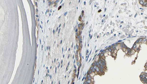
IHC (Immunohistochemistry)
(AAA321796 at 1/100 staining Human prostate tissue by IHC-P. The sample was formaldehyde fixed and a heat mediated antigen retrieval step in citrate buffer was performed. The sample was then blocked and incubated with the antibody for 1.5 hours at 22 degree C. An HRP conjugated goat anti-rabbit antibody was used as the secondary.)
Function: The small GTPases Rab are key regulators of intracellular membrane trafficking, from the formation of transport vesicles to their fusion with membranes. Rabs cycle between an inactive GDP-bound form and an active GTP-bound form that is able to recruit to membranes different sets of downstream effectors directly responsible for vesicle formation, movement, tethering and fusion. RAB5A is required for the fusion of plasma membranes and early endosomes (PubMed:10818110, PubMed:14617813, PubMed:16410077, PubMed:15378032). Contributes to the regulation of filopodia extension (PubMed:14978216). Required for the exosomal release of SDCBP, CD63, PDCD6IP and syndecan (PubMed:22660413). Regulates maturation of apoptotic cell-containing phagosomes, probably downstream of DYN2 and PIK3C3 (By similarity).
Subunit Structure: Interacts with SGSM1 and SGSM3 (By similarity). Interacts with PIK3CB (By similarity). Interacts with GDI1; this promotes dissociation from membranes (PubMed:23815289). Interacts with EEA1 (PubMed:10491193, PubMed:20534488). Interacts with RIN1 and GAPVD1, which regulate its pathway, probably by acting as a GEF (PubMed:11703925, PubMed:16410077). Interacts with RINL. Interacts with ALS2CL, SUN2, ZFYVE20 and RUFY1 (PubMed:10818110, PubMed:11062261, PubMed:15388334, PubMed:14617813, PubMed:16034420). Interacts with RABEP1; one RABEP1 homodimer binds two RAB5A chains, but at opposite sides of the dimer (PubMed:15378032). Interacts with OCRL (PubMed:25869668). Interacts with INPP5F. May be a component of a complex composed of RAB5A, DYN2 and PIK3C3 (By similarity). Does not interact with BLOC-3 complex (heterodimer of HPS1 and HPS4) (By similarity). Interacts with CLN5 (PubMed:22431521).
Similarity: Belongs to the small GTPase superfamily. Rab family.
NCBI and Uniprot Product Information
Predicted: 24 kDa
Customer Reviews
Loading reviews...
Share Your Experience
Similar Products
Product Notes
The Rab5A rab5a (Catalog #AAA321796) is an Antibody produced from Rabbit and is intended for research purposes only. The product is available for immediate purchase. The Rab5A Antibody reacts with Human, Mouse, Rat and may cross-react with other species as described in the data sheet. AAA Biotech's Rab5A can be used in a range of immunoassay formats including, but not limited to, ELISA, IHC (Immunohistochemistry), WB (Western Blot). Researchers should empirically determine the suitability of the Rab5A rab5a for an application not listed in the data sheet. Researchers commonly develop new applications and it is an integral, important part of the investigative research process. It is sometimes possible for the material contained within the vial of "Rab5A, Polyclonal Antibody" to become dispersed throughout the inside of the vial, particularly around the seal of said vial, during shipment and storage. We always suggest centrifuging these vials to consolidate all of the liquid away from the lid and to the bottom of the vial prior to opening. Please be advised that certain products may require dry ice for shipping and that, if this is the case, an additional dry ice fee may also be required.Precautions
All products in the AAA Biotech catalog are strictly for research-use only, and are absolutely not suitable for use in any sort of medical, therapeutic, prophylactic, in-vivo, or diagnostic capacity. By purchasing a product from AAA Biotech, you are explicitly certifying that said products will be properly tested and used in line with industry standard. AAA Biotech and its authorized distribution partners reserve the right to refuse to fulfill any order if we have any indication that a purchaser may be intending to use a product outside of our accepted criteria.Disclaimer
Though we do strive to guarantee the information represented in this datasheet, AAA Biotech cannot be held responsible for any oversights or imprecisions. AAA Biotech reserves the right to adjust any aspect of this datasheet at any time and without notice. It is the responsibility of the customer to inform AAA Biotech of any product performance issues observed or experienced within 30 days of receipt of said product. To see additional details on this or any of our other policies, please see our Terms & Conditions page.Item has been added to Shopping Cart
If you are ready to order, navigate to Shopping Cart and get ready to checkout.
