Rabbit RAD1 Polyclonal Antibody | anti-RAD1 antibody
RAD1 Antibody
Phosphate buffered saline, pH 7.4, 150mM NaCl, 0.02% sodium azide and 50% glycerol.
WB (Western Blot)
(Western blot analysis of Hela lysate using RAD1 antibody. The lane on the left is treated with the antigen-specific peptide.)
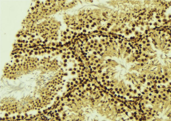
IHC (Immunohistochemistry)
(AAA325977 at 1/100 staining Mouse testis tissue by IHC-P. The sample was formaldehyde fixed and a heat mediated antigen retrieval step in citrate buffer was performed. The sample was then blocked and incubated with the antibody for 1.5 hours at 22 degree C. An HRP conjugated goat anti-rabbit antibody was used as the secondary.)
Function: Component of the 9-1-1 cell-cycle checkpoint response complex that plays a major role in DNA repair (PubMed:10846170, PubMed:10884395). The 9-1-1 complex is recruited to DNA lesion upon damage by the RAD17-replication factor C (RFC) clamp loader complex (PubMed:12578958). Acts then as a sliding clamp platform on DNA for several proteins involved in long-patch base excision repair (LP-BER) (PubMed:15871698). The 9-1-1 complex stimulates DNA polymerase beta (POLB) activity by increasing its affinity for the 3'-OH end of the primer-template and stabilizes POLB to those sites where LP-BER proceeds; endonuclease FEN1 cleavage activity on substrates with double, nick, or gap flaps of distinct sequences and lengths; and DNA ligase I (LIG1) on long-patch base excision repair substrates (PubMed:15314187, PubMed:15556996, PubMed:15871698). The 9-1-1 complex is necessary for the recruitment of RHNO1 to sites of double-stranded breaks (DSB) occurring during the S phase (PubMed:21659603). Isoform 1 possesses 3'-> 5' double stranded DNA exonuclease activity (PubMed:9660799).
Subunit Structure: Component of the toroidal 9-1-1 (RAD9-RAD1-HUS1) complex, composed of RAD9A, RAD1 and HUS1 (PubMed:10846170, PubMed:10884395). The 9-1-1 complex associates with LIG1, POLB, FEN1, RAD17, HDAC1, RPA1 and RPA2 (PubMed:10846170, PubMed:10884395, PubMed:15314187, PubMed:15556996, PubMed:15871698, PubMed:15897895, PubMed:16216273). The 9-1-1 complex associates with the RAD17-RFC complex (PubMed:12578958). RAD1 interacts with POLB, FEN1, HUS1, HUS1B, RAD9A and RAD9B (PubMed:10359610, PubMed:10777662, PubMed:11944979, PubMed:14500360, PubMed:14611806, PubMed:15314187, PubMed:15556996, PubMed:16216273). Interacts with DNAJC7 (PubMed:11573955).
Similarity: Belongs to the rad1 family.
NCBI and Uniprot Product Information
Predicted: 32 kDa
Customer Reviews
Loading reviews...
Share Your Experience
Similar Products
Product Notes
The RAD1 rad1 (Catalog #AAA325977) is an Antibody produced from Rabbit and is intended for research purposes only. The product is available for immediate purchase. The RAD1 Antibody reacts with Human, Mouse, Rat and may cross-react with other species as described in the data sheet. AAA Biotech's RAD1 can be used in a range of immunoassay formats including, but not limited to, ELISA, IHC (Immunohistochemistry), WB (Western Blot). Researchers should empirically determine the suitability of the RAD1 rad1 for an application not listed in the data sheet. Researchers commonly develop new applications and it is an integral, important part of the investigative research process. It is sometimes possible for the material contained within the vial of "RAD1, Polyclonal Antibody" to become dispersed throughout the inside of the vial, particularly around the seal of said vial, during shipment and storage. We always suggest centrifuging these vials to consolidate all of the liquid away from the lid and to the bottom of the vial prior to opening. Please be advised that certain products may require dry ice for shipping and that, if this is the case, an additional dry ice fee may also be required.Precautions
All products in the AAA Biotech catalog are strictly for research-use only, and are absolutely not suitable for use in any sort of medical, therapeutic, prophylactic, in-vivo, or diagnostic capacity. By purchasing a product from AAA Biotech, you are explicitly certifying that said products will be properly tested and used in line with industry standard. AAA Biotech and its authorized distribution partners reserve the right to refuse to fulfill any order if we have any indication that a purchaser may be intending to use a product outside of our accepted criteria.Disclaimer
Though we do strive to guarantee the information represented in this datasheet, AAA Biotech cannot be held responsible for any oversights or imprecisions. AAA Biotech reserves the right to adjust any aspect of this datasheet at any time and without notice. It is the responsibility of the customer to inform AAA Biotech of any product performance issues observed or experienced within 30 days of receipt of said product. To see additional details on this or any of our other policies, please see our Terms & Conditions page.Item has been added to Shopping Cart
If you are ready to order, navigate to Shopping Cart and get ready to checkout.
