Rabbit RAD23A Polyclonal Antibody | anti-RAD23A antibody
RAD23A antibody - middle region
WB (Western Blot)
(WB Suggested Anti-RAD23A Antibody Titration: 2.5ug/mlPositive Control: Jurkat cell lysateRAD23A is supported by BioGPS gene expression data to be expressed in Jurkat)
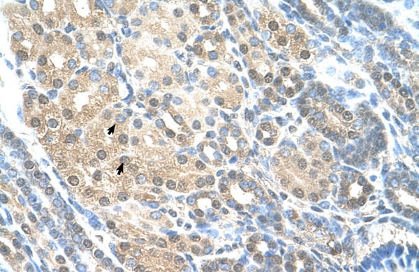
IHC (Immunohistochemistry)
(Rabbit Anti-RAD23A AntibodyParaffin Embedded Tissue: Human KidneyCellular Data: Epithelial cells of renal tubuleAntibody Concentration: 4.0-8.0 ug/mlMagnification: 400X)
Target Description: RAD23A is one of two human homologs of Saccharomyces cerevisiae Rad23, a protein involved in nucleotide excision repair (NER). This protein was shown to interact with, and elevate the nucleotide excision activity of 3-methyladenine-DNA glycosylase (MPG), which suggested a role in DNA damage recognition in base excision repair. This protein contains an N-terminal ubiquitin-like domain, which was reported to interact with 26S proteasome, as well as with ubiquitin protein ligase E6AP, and thus suggests that this protein may be involved in the ubiquitin mediated proteolytic pathway in cells.The protein encoded by this gene is one of two human homologs of Saccharomyces cerevisiae Rad23, a protein involved in nucleotide excision repair (NER). This protein was shown to interact with, and elevate the nucleotide excision activity of 3-methyladenine-DNA glycosylase (MPG), which suggested a role in DNA damage recognition in base excision repair. This protein contains an N-terminal ubiquitin-like domain, which was reported to interact with 26S proteasome, as well as with ubiquitin protein ligase E6AP, and thus suggests that this protein may be involved in the ubiquitin mediated proteolytic pathway in cells.
NCBI and Uniprot Product Information
Customer Reviews
Loading reviews...
Share Your Experience
Similar Products
Product Notes
The RAD23A rad23a (Catalog #AAA199070) is an Antibody produced from Rabbit and is intended for research purposes only. The product is available for immediate purchase. The RAD23A antibody - middle region reacts with Cow, Dog, Guinea Pig, Horse, Human, Mouse, Pig, Rabbit, Rat and may cross-react with other species as described in the data sheet. AAA Biotech's RAD23A can be used in a range of immunoassay formats including, but not limited to, WB (Western Blot), IHC (Immunohistochemistry). Researchers should empirically determine the suitability of the RAD23A rad23a for an application not listed in the data sheet. Researchers commonly develop new applications and it is an integral, important part of the investigative research process. The amino acid sequence is listed below: Synthetic peptide located within the following region: GIPGSPEPEH GSVQESQVSE QPATEAAGEN PLEFLRDQPQ FQNMRQVIQQ. It is sometimes possible for the material contained within the vial of "RAD23A, Polyclonal Antibody" to become dispersed throughout the inside of the vial, particularly around the seal of said vial, during shipment and storage. We always suggest centrifuging these vials to consolidate all of the liquid away from the lid and to the bottom of the vial prior to opening. Please be advised that certain products may require dry ice for shipping and that, if this is the case, an additional dry ice fee may also be required.Precautions
All products in the AAA Biotech catalog are strictly for research-use only, and are absolutely not suitable for use in any sort of medical, therapeutic, prophylactic, in-vivo, or diagnostic capacity. By purchasing a product from AAA Biotech, you are explicitly certifying that said products will be properly tested and used in line with industry standard. AAA Biotech and its authorized distribution partners reserve the right to refuse to fulfill any order if we have any indication that a purchaser may be intending to use a product outside of our accepted criteria.Disclaimer
Though we do strive to guarantee the information represented in this datasheet, AAA Biotech cannot be held responsible for any oversights or imprecisions. AAA Biotech reserves the right to adjust any aspect of this datasheet at any time and without notice. It is the responsibility of the customer to inform AAA Biotech of any product performance issues observed or experienced within 30 days of receipt of said product. To see additional details on this or any of our other policies, please see our Terms & Conditions page.Item has been added to Shopping Cart
If you are ready to order, navigate to Shopping Cart and get ready to checkout.
