Rabbit anti-Human RAD52 Polyclonal Antibody | anti-RAD52 antibody
Rabbit Polyclonal to Human RAD52
WB (Western Blot)
(Anti-Human RAD52 Antibody - Western Blot. Western blot analysis is shown using Affinity Purified anti-Human RAD52 antibody to detect Human RAD52 present in a HeLa nuclear extract (panel B). ~30 ug of lysate was loaded per lane for 4-20% gradient SDS-PAGE. Comparison to a molecular weight marker (not shown) indicates a band of ~63.0 kD is detected. Peptide competition (panel A) blocks the specific staining of this band. The blot was incubated with a 1:1000 dilution of the antibody at room temperature for 2 h followed by detection using IRDye800 labeled Goat-a-Rabbit IgG [H&L] (diluted 1:5000 for 45 min. IRDye800 fluorescence image was captured using the Odyssey Infrared Imaging System developed by.)
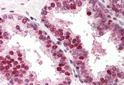
IHC (Immunohistochemistry)
(Anti-RAD52 antibody IHC of human prostate. Immunohistochemistry of formalin-fixed, paraffin-embedded tissue after heat-induced antigen retrieval. Antibody concentration 5 ug/ml.)
NCBI and Uniprot Product Information
Customer Reviews
Loading reviews...
Share Your Experience
Similar Products
Product Notes
The RAD52 rad52 (Catalog #AAA50736) is an Antibody produced from Rabbit and is intended for research purposes only. The product is available for immediate purchase. The Rabbit Polyclonal to Human RAD52 reacts with Human and may cross-react with other species as described in the data sheet. AAA Biotech's RAD52 can be used in a range of immunoassay formats including, but not limited to, ELISA, WB (Western Blot), IHC (Immunohistochemistry). Researchers should empirically determine the suitability of the RAD52 rad52 for an application not listed in the data sheet. Researchers commonly develop new applications and it is an integral, important part of the investigative research process. It is sometimes possible for the material contained within the vial of "RAD52, Polyclonal Antibody" to become dispersed throughout the inside of the vial, particularly around the seal of said vial, during shipment and storage. We always suggest centrifuging these vials to consolidate all of the liquid away from the lid and to the bottom of the vial prior to opening. Please be advised that certain products may require dry ice for shipping and that, if this is the case, an additional dry ice fee may also be required.Precautions
All products in the AAA Biotech catalog are strictly for research-use only, and are absolutely not suitable for use in any sort of medical, therapeutic, prophylactic, in-vivo, or diagnostic capacity. By purchasing a product from AAA Biotech, you are explicitly certifying that said products will be properly tested and used in line with industry standard. AAA Biotech and its authorized distribution partners reserve the right to refuse to fulfill any order if we have any indication that a purchaser may be intending to use a product outside of our accepted criteria.Disclaimer
Though we do strive to guarantee the information represented in this datasheet, AAA Biotech cannot be held responsible for any oversights or imprecisions. AAA Biotech reserves the right to adjust any aspect of this datasheet at any time and without notice. It is the responsibility of the customer to inform AAA Biotech of any product performance issues observed or experienced within 30 days of receipt of said product. To see additional details on this or any of our other policies, please see our Terms & Conditions page.Item has been added to Shopping Cart
If you are ready to order, navigate to Shopping Cart and get ready to checkout.
