Rabbit anti-Human RASGEF1A Polyclonal Antibody | anti-RASGEF1A antibody
RASGEF1A Antibody
Gene Names
RASGEF1A; CG4853
Reactivity
Human
Applications
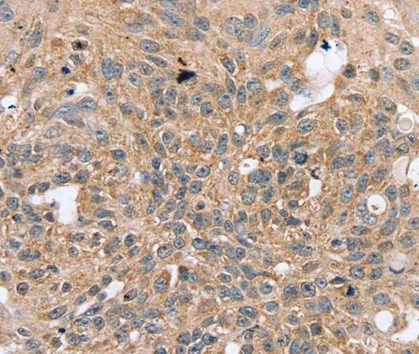
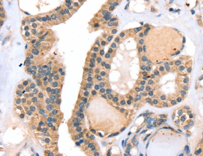
Immunohistochemistry
Purity
Antigen affinity purification.
Synonyms
RASGEF1A, Antibody; RASGEF1A Antibody; CG4853; anti-RASGEF1A antibody
Host
Rabbit
Reactivity
Human
Clonality
Polyclonal
Specificity
The antibody detects endogenous levels of total RASGEF1A protein.
Purity/Purification
Antigen affinity purification.
Form/Format
Rabbit IgG in pH7.4 PBS, 0.05% NaN3, 40% Glycerol.
Concentration
0.7 mg/ml (varies by lot)
Sequence Length
489
Applicable Applications for anti-RASGEF1A antibody
IHC (Immunohistochemistry)
Immunogen Type
Protein
Immunogen Description
Fusion protein corresponding to residues near the C terminal of human RasGEF domain family, member 1A
Target Name
RASGEF1A
Preparation and Storage
Store at -20 degree C
Related Product Information for anti-RASGEF1A antibody
RASGEF1A (RasGEF domain family, member 1A) is a 481 amino acid guanine-nucleotide exchange factor (GEF) for H-Ras, K-Ras, and N-Ras. RASGEF1A may also play a role in cell migration. RASFEG1A is highly expressed in spinal chord and brain and contains one N-terminal Ras-GEF domain and one Ras-GEF domain. The gene that encodes RASGEF1A maps to human chromosome 10, which contains over 800 genes and 135 million nucleotides, making up nearly 4.5% of the human genome. PTEN is an important tumor suppressor gene located on chromosome 10 and, when defective, causes a genetic predisposition to cancer development known as Cowden syndrome.
Product Categories/Family for anti-RASGEF1A antibody
NCBI and Uniprot Product Information
NCBI GI #
NCBI GeneID
NCBI Accession #
NCBI GenBank Nucleotide #
Molecular Weight
55,532 Da
NCBI Official Full Name
ras-GEF domain-containing family member 1A isoform 1
NCBI Official Synonym Full Names
RasGEF domain family, member 1A
NCBI Official Symbol
RASGEF1A
NCBI Official Synonym Symbols
CG4853
NCBI Protein Information
ras-GEF domain-containing family member 1A
UniProt Protein Name
Ras-GEF domain-containing family member 1A
UniProt Gene Name
RASGEF1A
UniProt Entry Name
RGF1A_HUMAN
Customer Reviews
Loading reviews...
Share Your Experience
Similar Products
Product Notes
The RASGEF1A rasgef1a (Catalog #AAA303227) is an Antibody produced from Rabbit and is intended for research purposes only. The product is available for immediate purchase. The RASGEF1A Antibody reacts with Human and may cross-react with other species as described in the data sheet. AAA Biotech's RASGEF1A can be used in a range of immunoassay formats including, but not limited to, IHC (Immunohistochemistry). Researchers should empirically determine the suitability of the RASGEF1A rasgef1a for an application not listed in the data sheet. Researchers commonly develop new applications and it is an integral, important part of the investigative research process. It is sometimes possible for the material contained within the vial of "RASGEF1A, Polyclonal Antibody" to become dispersed throughout the inside of the vial, particularly around the seal of said vial, during shipment and storage. We always suggest centrifuging these vials to consolidate all of the liquid away from the lid and to the bottom of the vial prior to opening. Please be advised that certain products may require dry ice for shipping and that, if this is the case, an additional dry ice fee may also be required.Precautions
All products in the AAA Biotech catalog are strictly for research-use only, and are absolutely not suitable for use in any sort of medical, therapeutic, prophylactic, in-vivo, or diagnostic capacity. By purchasing a product from AAA Biotech, you are explicitly certifying that said products will be properly tested and used in line with industry standard. AAA Biotech and its authorized distribution partners reserve the right to refuse to fulfill any order if we have any indication that a purchaser may be intending to use a product outside of our accepted criteria.Disclaimer
Though we do strive to guarantee the information represented in this datasheet, AAA Biotech cannot be held responsible for any oversights or imprecisions. AAA Biotech reserves the right to adjust any aspect of this datasheet at any time and without notice. It is the responsibility of the customer to inform AAA Biotech of any product performance issues observed or experienced within 30 days of receipt of said product. To see additional details on this or any of our other policies, please see our Terms & Conditions page.Item has been added to Shopping Cart
If you are ready to order, navigate to Shopping Cart and get ready to checkout.
