Rabbit RASSF1 Polyclonal Antibody | anti-RASSF1 antibody
RASSF1 Antibody
Phosphate buffered saline, pH 7.4, 150mM NaCl, 0.02% sodium azide and 50% glycerol.
WB (Western Blot)
(Western blot analysis of 293T lysate using RASSF1 antibody. The lane on the left is treated with the antigen-specific peptide.)
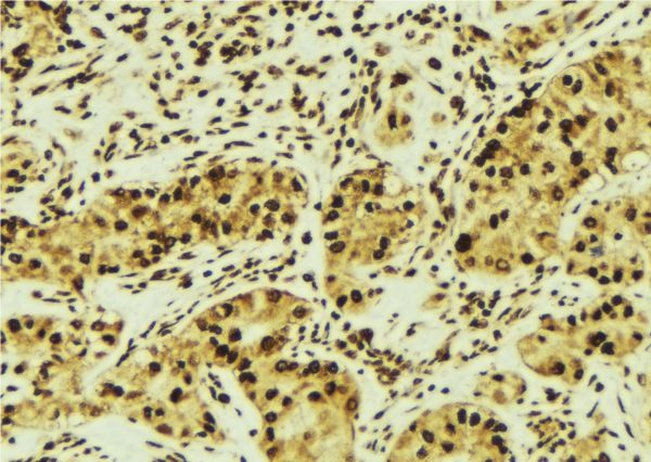
IHC (Immunohiostchemistry)
(AAA326111 at 1/100 staining Human breast cancer tissue by IHC-P. The sample was formaldehyde fixed and a heat mediated antigen retrieval step in citrate buffer was performed. The sample was then blocked and incubated with the antibody for 1.5 hours at 22 degree C. An HRP conjugated goat anti-rabbit antibody was used as the secondary.)
WB (Western Blot)
(Western blot analysis of extracts from Hela, using RASSF1 Antibody. Lane 1 was treated with the antigen-specific peptide.)
Function: Potential tumor suppressor. Required for death receptor-dependent apoptosis. Mediates activation of STK3/MST2 and STK4/MST1 during Fas-induced apoptosis by preventing their dephosphorylation. When associated with MOAP1, promotes BAX conformational change and translocation to mitochondrial membranes in response to TNF and TNFSF10 stimulation. Isoform A interacts with CDC20, an activator of the anaphase-promoting complex, APC, resulting in the inhibition of APC activity and mitotic progression. Inhibits proliferation by negatively regulating cell cycle progression at the level of G1/S-phase transition by regulating accumulation of cyclin D1 protein. Isoform C has been shown not to perform these roles, no function has been identified for this isoform. Isoform A disrupts interactions among MDM2, DAXX and USP7, thus contributing to the efficient activation of TP53 by promoting MDM2 self-ubiquitination in cell-cycle checkpoint control in response to DNA damage.
Subunit Structure: Interacts with MAP1S and XPA. Binds to the N-terminal of CDC20 during prometaphase. Binds to STK3/MST2 and STK4/MST1. Isoform A interacts with MOAP1 and E4F1. Recruited to the TNFRSF1A and TNFRSF10A complexes in response to their respective cognate ligand, after internalization. Can self-associate. Isoform A interacts with RSSF5 and probably associates with HRAS via a RSSF1 isoform A-RSSF5 heterodimer. Part of a complex with MDM2, DAXX, RASSF1 and USP7. Isoform A interacts (via C-terminus) with DAXX (via N-terminus); the interaction is independent of MDM2 and TP53. Isoform C or isoform H interacts (via N-terminus) with DAXX. Isoform A interacts (via N-terminus) with MDM2 (via C-terminus); the interaction is independent of TP53.
NCBI and Uniprot Product Information
Predicted: 40 kDa
Customer Reviews
Loading reviews...
Share Your Experience
Similar Products
Product Notes
The RASSF1 rassf1 (Catalog #AAA326111) is an Antibody produced from Rabbit and is intended for research purposes only. The product is available for immediate purchase. The RASSF1 Antibody reacts with Human, Mouse, Rat and may cross-react with other species as described in the data sheet. AAA Biotech's RASSF1 can be used in a range of immunoassay formats including, but not limited to, ELISA, IHC (Immunohistochemistry), WB (Western Blot). Researchers should empirically determine the suitability of the RASSF1 rassf1 for an application not listed in the data sheet. Researchers commonly develop new applications and it is an integral, important part of the investigative research process. It is sometimes possible for the material contained within the vial of "RASSF1, Polyclonal Antibody" to become dispersed throughout the inside of the vial, particularly around the seal of said vial, during shipment and storage. We always suggest centrifuging these vials to consolidate all of the liquid away from the lid and to the bottom of the vial prior to opening. Please be advised that certain products may require dry ice for shipping and that, if this is the case, an additional dry ice fee may also be required.Precautions
All products in the AAA Biotech catalog are strictly for research-use only, and are absolutely not suitable for use in any sort of medical, therapeutic, prophylactic, in-vivo, or diagnostic capacity. By purchasing a product from AAA Biotech, you are explicitly certifying that said products will be properly tested and used in line with industry standard. AAA Biotech and its authorized distribution partners reserve the right to refuse to fulfill any order if we have any indication that a purchaser may be intending to use a product outside of our accepted criteria.Disclaimer
Though we do strive to guarantee the information represented in this datasheet, AAA Biotech cannot be held responsible for any oversights or imprecisions. AAA Biotech reserves the right to adjust any aspect of this datasheet at any time and without notice. It is the responsibility of the customer to inform AAA Biotech of any product performance issues observed or experienced within 30 days of receipt of said product. To see additional details on this or any of our other policies, please see our Terms & Conditions page.Item has been added to Shopping Cart
If you are ready to order, navigate to Shopping Cart and get ready to checkout.
