Rabbit anti-Human RCOR1 Polyclonal Antibody | anti-RCOR1 antibody
RCOR1 Antibody
Gene Names
RCOR1; RCOR; COREST
Reactivity
Human
Applications
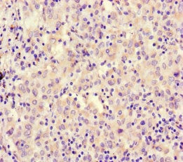
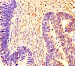
Immunohistochemistry, ELISA
Purity
>95%, Protein G purified
Synonyms
RCOR1, Antibody; RCOR1 Antibody; REST corepressor 1; Protein CoREST; RCOR1; KIAA0071; RCOR; anti-RCOR1 antibody
Host
Rabbit
Reactivity
Human
Clonality
Polyclonal
Isotype
IgG
Purity/Purification
>95%, Protein G purified
Form/Format
Liquid
Sequence Length
485
Applicable Applications for anti-RCOR1 antibody
IHC (Immunohistochemistry), ELISA
Species
Human
Immunogen
Recombinant human REST corepressor 1 protein
Conjugate
Non-conjugated
Buffer
Preservative: 0.03% Proclin 300
Constituents: 50% Glycerol, 0.01M PBS, PH 7.4
Constituents: 50% Glycerol, 0.01M PBS, PH 7.4
Santa Cruz Alternative
Potential replacement for Santa Cruz Biotechnology antibody catalog# sc-23449 / sc-23449 / sc-30189
Preparation and Storage
Shipped at 4 degree C. Upon delivery aliquot and store at -20 degree C or -80 degree C. Avoid repeated freeze.
Related Product Information for anti-RCOR1 antibody
Essential component of the BHC complex, a corepressor complex that represses transcription of neuron-specific genes in non-neuronal cells. The BHC complex is recruited at RE1/NRSE sites by REST and acts by deacetylating and demethylating specific sites on histones, thereby acting as a chromatin modifier. In the BHC complex, it serves as a molecular beacon for the recruitment of molecular machinery, including MeCP2 and SUV39H1, that imposes silencing across a chromosomal interval. Plays a central role in demethylation of Lys-4 of histone H3 by promoting demethylase activity of KDM1A on core histones and nucleosomal substrates. It also protects KDM1A from the proteasome. Component of a RCOR/GFI/KDM1A/HDAC complex that suppresses, via histone deacetylase (HDAC) recruitment, a number of genes implicated in multilineage blood cell development and controls hematopoietic differentiation.
NCBI and Uniprot Product Information
NCBI GI #
NCBI GeneID
NCBI Accession #
NCBI GenBank Nucleotide #
Molecular Weight
53,028 Da
NCBI Official Full Name
REST corepressor 1
NCBI Official Synonym Full Names
REST corepressor 1
NCBI Official Symbol
RCOR1
NCBI Official Synonym Symbols
RCOR; COREST
NCBI Protein Information
REST corepressor 1
UniProt Protein Name
REST corepressor 1
UniProt Gene Name
RCOR1
UniProt Synonym Gene Names
KIAA0071; RCOR
UniProt Entry Name
RCOR1_HUMAN
Customer Reviews
Loading reviews...
Share Your Experience
Similar Products
Product Notes
The RCOR1 rcor1 (Catalog #AAA231639) is an Antibody produced from Rabbit and is intended for research purposes only. The product is available for immediate purchase. The RCOR1 Antibody reacts with Human and may cross-react with other species as described in the data sheet. AAA Biotech's RCOR1 can be used in a range of immunoassay formats including, but not limited to, IHC (Immunohistochemistry), ELISA. Researchers should empirically determine the suitability of the RCOR1 rcor1 for an application not listed in the data sheet. Researchers commonly develop new applications and it is an integral, important part of the investigative research process. It is sometimes possible for the material contained within the vial of "RCOR1, Polyclonal Antibody" to become dispersed throughout the inside of the vial, particularly around the seal of said vial, during shipment and storage. We always suggest centrifuging these vials to consolidate all of the liquid away from the lid and to the bottom of the vial prior to opening. Please be advised that certain products may require dry ice for shipping and that, if this is the case, an additional dry ice fee may also be required.Precautions
All products in the AAA Biotech catalog are strictly for research-use only, and are absolutely not suitable for use in any sort of medical, therapeutic, prophylactic, in-vivo, or diagnostic capacity. By purchasing a product from AAA Biotech, you are explicitly certifying that said products will be properly tested and used in line with industry standard. AAA Biotech and its authorized distribution partners reserve the right to refuse to fulfill any order if we have any indication that a purchaser may be intending to use a product outside of our accepted criteria.Disclaimer
Though we do strive to guarantee the information represented in this datasheet, AAA Biotech cannot be held responsible for any oversights or imprecisions. AAA Biotech reserves the right to adjust any aspect of this datasheet at any time and without notice. It is the responsibility of the customer to inform AAA Biotech of any product performance issues observed or experienced within 30 days of receipt of said product. To see additional details on this or any of our other policies, please see our Terms & Conditions page.Item has been added to Shopping Cart
If you are ready to order, navigate to Shopping Cart and get ready to checkout.
