Rabbit anti-Human Resistin Polyclonal Antibody | anti-RETN antibody
Rabbit anti-human Resistin polyclonal Antibody(RETN)
Gene Names
RETN; ADSF; RSTN; XCP1; FIZZ3; RETN1
Reactivity
Human
Applications
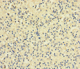
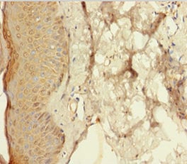
Immunohistochemistry, ELISA
Purity
Caprylic Acid Ammonium Sulfate Precipitation Purified
Synonyms
Resistin, Antibody; Rabbit anti-human Resistin polyclonal Antibody(RETN); Adipose tissue-specific secretory factor; ADSF; C/EBP-epsilon-regulated myeloid-specific secreted cysteine-rich protein; Cysteine-rich secreted protein A12-alpha-like 2; Cysteine-rich secreted protein FIZZ3; UNQ407/PRO1199; FIZZ3; HXCP1; RSTN; RETN; anti-RETN antibody
Host
Rabbit
Reactivity
Human
Clonality
Polyclonal
Isotype
IgG
Purity/Purification
Caprylic Acid Ammonium Sulfate Precipitation Purified
Sequence Length
108
Applicable Applications for anti-RETN antibody
IHC (Immunohistochemistry), ELISA
Storage Buffer
Preservative: 0.03% Proclin 300
Constituents: 50% Glycerol, 0.01M PBS, PH 7.4
Constituents: 50% Glycerol, 0.01M PBS, PH 7.4
Conjugate
Non-conjugated
Immunogen
Recombinant human Resistin protein(19-108AA)
Santa Cruz Alternative
Potential replacement for Santa Cruz Biotechnology antibody catalog# sc-17575 / sc-15401
Preparation and Storage
Shipped at 4 degree C. Upon delivery aliquot and store at -20 degree C or -80 degree C. Avoid repeated freeze.
Related Product Information for anti-RETN antibody
Hormone that seems to suppress insulin ability to stimulate glucose uptake into adipose cells. Potentially links obesity to diabetes.
NCBI and Uniprot Product Information
NCBI GI #
NCBI GeneID
NCBI Accession #
NCBI GenBank Nucleotide #
Molecular Weight
8,686 Da
NCBI Official Full Name
resistin
NCBI Official Synonym Full Names
resistin
NCBI Official Symbol
RETN
NCBI Official Synonym Symbols
ADSF; RSTN; XCP1; FIZZ3; RETN1
NCBI Protein Information
resistin
UniProt Protein Name
Resistin
UniProt Gene Name
RETN
UniProt Synonym Gene Names
FIZZ3; HXCP1; RSTN; ADSF
UniProt Entry Name
RETN_HUMAN
Customer Reviews
Loading reviews...
Share Your Experience
Similar Products
Product Notes
The RETN retn (Catalog #AAA119660) is an Antibody produced from Rabbit and is intended for research purposes only. The product is available for immediate purchase. The Rabbit anti-human Resistin polyclonal Antibody(RETN) reacts with Human and may cross-react with other species as described in the data sheet. AAA Biotech's Resistin can be used in a range of immunoassay formats including, but not limited to, IHC (Immunohistochemistry), ELISA. Researchers should empirically determine the suitability of the RETN retn for an application not listed in the data sheet. Researchers commonly develop new applications and it is an integral, important part of the investigative research process. It is sometimes possible for the material contained within the vial of "Resistin, Polyclonal Antibody" to become dispersed throughout the inside of the vial, particularly around the seal of said vial, during shipment and storage. We always suggest centrifuging these vials to consolidate all of the liquid away from the lid and to the bottom of the vial prior to opening. Please be advised that certain products may require dry ice for shipping and that, if this is the case, an additional dry ice fee may also be required.Precautions
All products in the AAA Biotech catalog are strictly for research-use only, and are absolutely not suitable for use in any sort of medical, therapeutic, prophylactic, in-vivo, or diagnostic capacity. By purchasing a product from AAA Biotech, you are explicitly certifying that said products will be properly tested and used in line with industry standard. AAA Biotech and its authorized distribution partners reserve the right to refuse to fulfill any order if we have any indication that a purchaser may be intending to use a product outside of our accepted criteria.Disclaimer
Though we do strive to guarantee the information represented in this datasheet, AAA Biotech cannot be held responsible for any oversights or imprecisions. AAA Biotech reserves the right to adjust any aspect of this datasheet at any time and without notice. It is the responsibility of the customer to inform AAA Biotech of any product performance issues observed or experienced within 30 days of receipt of said product. To see additional details on this or any of our other policies, please see our Terms & Conditions page.Item has been added to Shopping Cart
If you are ready to order, navigate to Shopping Cart and get ready to checkout.
