Rabbit RETN Polyclonal Antibody | anti-RETN antibody
RETN Polyclonal Antibody
Gene Names
RETN; ADSF; RSTN; XCP1; FIZZ3; RETN1
Reactivity
Human, Mouse, Rat
Applications
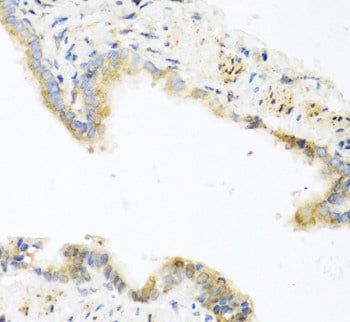
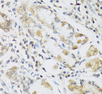
Immunohistochemistry
Purity
Affinity purification
Synonyms
RETN, Antibody; RETN Polyclonal Antibody; RETN; ADSF; FIZZ3; RETN1; RSTN; XCP1; resistin; anti-RETN antibody
Host
Rabbit
Reactivity
Human, Mouse, Rat
Clonality
Polyclonal
Isotype
IgG
Purity/Purification
Affinity purification
Form/Format
PBS with 0.02% sodium azide, 50% glycerol, pH7.3
Concentration
1mg/mL (varies by lot)
Applicable Applications for anti-RETN antibody
IHC (Immunohistochemistry)
Immunogen
Recombinant fusion protein of human RETN (NP_0011803031)
Conjugation
Unconjugated
Preparation and Storage
Store at -20 degree C. Avoid freeze/thaw cycles.
Related Product Information for anti-RETN antibody
This gene belongs to the family defined by the mouse resistin-like genes. The characteristic feature of this family is the C-terminal stretch of 10 cys residues with identical spacing. The mouse homolog of this protein is secreted by adipocytes, and may be the hormone potentially linking obesity to type II diabetes. Alternatively spliced transcript variants encoding the same protein have been found for this gene.
Product Categories/Family for anti-RETN antibody
NCBI and Uniprot Product Information
NCBI GI #
NCBI GeneID
Molecular Weight
11,419 Da
NCBI Official Full Name
resistin
NCBI Official Synonym Full Names
resistin
NCBI Official Symbol
RETN
NCBI Official Synonym Symbols
ADSF; RSTN; XCP1; FIZZ3; RETN1
NCBI Protein Information
resistin; resistin delta2; found in inflammatory zone 3; cysteine-rich secreted protein FIZZ3; adipose tissue-specific secretory factor; cysteine-rich secreted protein A12-alpha-like 2; c/EBP-epsilon-regulated myeloid-specific secreted cysteine-rich prote
UniProt Protein Name
Resistin
UniProt Gene Name
RETN
UniProt Synonym Gene Names
FIZZ3; HXCP1; RSTN; ADSF
UniProt Entry Name
RETN_HUMAN
Similar Products
Product Notes
The RETN retn (Catalog #AAA177596) is an Antibody produced from Rabbit and is intended for research purposes only. The product is available for immediate purchase. The RETN Polyclonal Antibody reacts with Human, Mouse, Rat and may cross-react with other species as described in the data sheet. AAA Biotech's RETN can be used in a range of immunoassay formats including, but not limited to, IHC (Immunohistochemistry). Researchers should empirically determine the suitability of the RETN retn for an application not listed in the data sheet. Researchers commonly develop new applications and it is an integral, important part of the investigative research process. It is sometimes possible for the material contained within the vial of "RETN, Polyclonal Antibody" to become dispersed throughout the inside of the vial, particularly around the seal of said vial, during shipment and storage. We always suggest centrifuging these vials to consolidate all of the liquid away from the lid and to the bottom of the vial prior to opening. Please be advised that certain products may require dry ice for shipping and that, if this is the case, an additional dry ice fee may also be required.Precautions
All products in the AAA Biotech catalog are strictly for research-use only, and are absolutely not suitable for use in any sort of medical, therapeutic, prophylactic, in-vivo, or diagnostic capacity. By purchasing a product from AAA Biotech, you are explicitly certifying that said products will be properly tested and used in line with industry standard. AAA Biotech and its authorized distribution partners reserve the right to refuse to fulfill any order if we have any indication that a purchaser may be intending to use a product outside of our accepted criteria.Disclaimer
Though we do strive to guarantee the information represented in this datasheet, AAA Biotech cannot be held responsible for any oversights or imprecisions. AAA Biotech reserves the right to adjust any aspect of this datasheet at any time and without notice. It is the responsibility of the customer to inform AAA Biotech of any product performance issues observed or experienced within 30 days of receipt of said product. To see additional details on this or any of our other policies, please see our Terms & Conditions page.Item has been added to Shopping Cart
If you are ready to order, navigate to Shopping Cart and get ready to checkout.
