Host
Rabbit
Reactivity
Human
Clonality
Polyclonal
Specificity
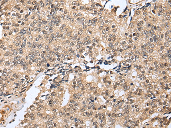
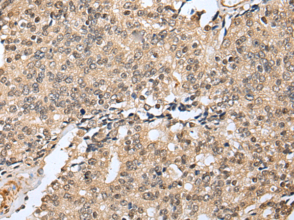
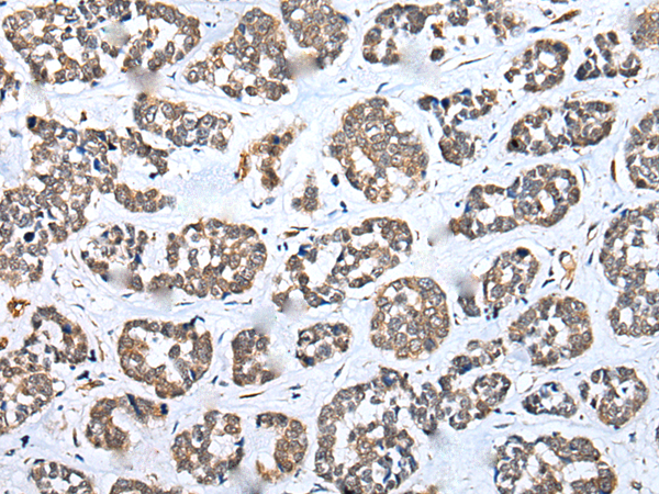
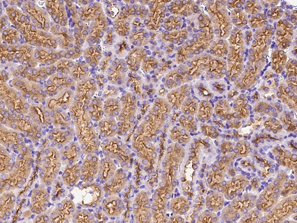
The antibody detects endogenous levels of total RHEBL1 protein.
Purity/Purification
Antigen Affinity Purification
Form/Format
Rabbit IgG in pH7.4 PBS, 0.05% NaN3, 40% Glycerol.
Concentration
0.6 mg/ml (varies by lot)
Sequence Length
181
Applicable Applications for anti-RHEBL1 antibody
IHC (Immunohistochemistry)
Immunogen
Fusion protein of human RHEBL1
Immunogen Type
Protein
Preparation and Storage
Store at -20 degree C
Related Product Information for anti-RHEBL1 antibody
RhebL1 (ras homolog enriched in brain-like protein 1), also known as Rheb2 or GTPase RhebL1, is a 183 amino acid protein that belongs to the small GTPase superfamily and Rheb family. Localizing to the cell membrane as well as the cytoplasm, RhebL1 is ubiquitously expressed and is increased two-fold in many tumor cell lines. RhebL1 exhibits GTPase activity and may activate NF-kappa-B-mediated gene transcription. Regulating the activity of Rictor, RhebL1 also promotes signal transduction. RhebL1 exists as two alternatively spliced isoformsand is encoded by a gene that maps to human chromosome 12q13.12 and mouse chromosome 15 F1. Human chromosome 12 encodes over 1,100 genes and comprises approximately 4.5% of the human genome. Chromosome 12 is associated with a variety of diseases and afflictions, including hypochondrogenesis, achondrogenesis, Kniest dysplasia, Noonan syndrome and trisomy 12p, which causes facial developmental defects and seizure disorders. Binds GTP and exhibits intrinsic GTPase activity.May activate NF-kappa-B-mediated gene transcription. Promotes signal transduction through MTOR, activates RPS6KB1, and is a downstream target of the small GTPase-activating proteins TSC1 and TSC2.
Product Categories/Family for anti-RHEBL1 antibody
NCBI and Uniprot Product Information
NCBI GI #
NCBI GeneID
NCBI Accession #
NCBI GenBank Nucleotide #
Molecular Weight
8,176 Da
NCBI Official Full Name
GTPase RhebL1 isoform 2
NCBI Official Synonym Full Names
Ras homolog enriched in brain like 1
NCBI Official Symbol
RHEBL1
NCBI Official Synonym Symbols
RHEBL1c
NCBI Protein Information
GTPase RhebL1
UniProt Protein Name
GTPase RhebL1
UniProt Gene Name
RHEBL1
UniProt Synonym Gene Names
RhebL1c; Rheb-like protein 1
UniProt Entry Name
REBL1_HUMAN
Customer Reviews
Loading reviews...
Share Your Experience
Similar Products
Product Notes
The RHEBL1 rhebl1 (Catalog #AAA308482) is an Antibody produced from Rabbit and is intended for research purposes only. The product is available for immediate purchase. The RHEBL1 Antibody reacts with Human and may cross-react with other species as described in the data sheet. AAA Biotech's RHEBL1 can be used in a range of immunoassay formats including, but not limited to, IHC (Immunohistochemistry). Researchers should empirically determine the suitability of the RHEBL1 rhebl1 for an application not listed in the data sheet. Researchers commonly develop new applications and it is an integral, important part of the investigative research process. It is sometimes possible for the material contained within the vial of "RHEBL1, Polyclonal Antibody" to become dispersed throughout the inside of the vial, particularly around the seal of said vial, during shipment and storage. We always suggest centrifuging these vials to consolidate all of the liquid away from the lid and to the bottom of the vial prior to opening. Please be advised that certain products may require dry ice for shipping and that, if this is the case, an additional dry ice fee may also be required.Precautions
All products in the AAA Biotech catalog are strictly for research-use only, and are absolutely not suitable for use in any sort of medical, therapeutic, prophylactic, in-vivo, or diagnostic capacity. By purchasing a product from AAA Biotech, you are explicitly certifying that said products will be properly tested and used in line with industry standard. AAA Biotech and its authorized distribution partners reserve the right to refuse to fulfill any order if we have any indication that a purchaser may be intending to use a product outside of our accepted criteria.Disclaimer
Though we do strive to guarantee the information represented in this datasheet, AAA Biotech cannot be held responsible for any oversights or imprecisions. AAA Biotech reserves the right to adjust any aspect of this datasheet at any time and without notice. It is the responsibility of the customer to inform AAA Biotech of any product performance issues observed or experienced within 30 days of receipt of said product. To see additional details on this or any of our other policies, please see our Terms & Conditions page.Item has been added to Shopping Cart
If you are ready to order, navigate to Shopping Cart and get ready to checkout.
