Rabbit anti-Human RHOV Polyclonal Antibody | anti-RHOV antibody
RHOV Antibody
Gene Names
RHOV; CHP; ARHV; WRCH2
Reactivity
Human
Applications
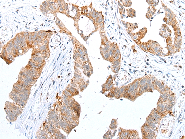
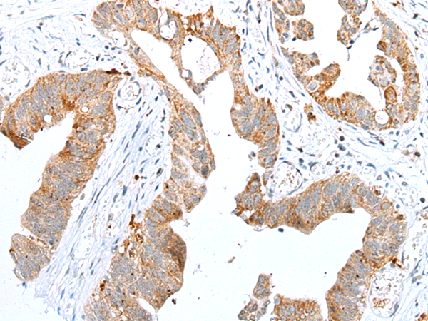
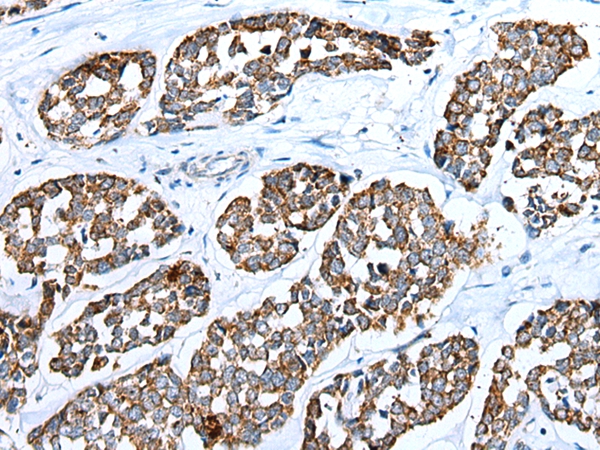
Immunohistochemistry
Purity
Antigen Affinity Purification
Synonyms
RHOV, Antibody; RHOV Antibody; CHP; ARHV; WRCH2; anti-RHOV antibody
Host
Rabbit
Reactivity
Human
Clonality
Polyclonal
Specificity
The antibody detects endogenous levels of total RHOV protein.
Purity/Purification
Antigen Affinity Purification
Form/Format
Rabbit IgG in pH7.4 PBS, 0.05% NaN3, 40% Glycerol.
Concentration
0.9 mg/ml (varies by lot)
Sequence Length
236
Applicable Applications for anti-RHOV antibody
IHC (Immunohistochemistry)
Immunogen
Full length fusion protein of human RHOV
Immunogen Type
Protein
Preparation and Storage
Store at -20 degree C
Related Product Information for anti-RHOV antibody
The Rho subfamily of Ras-related GTPases controls multiple aspects of cell function, including cytoskeletal rearrangement, nuclear signaling and cell growth. Rho V (ras homolog gene family, member V), also known as Rho GTPase-like protein ARHV, CHP or WRCH2 (Wnt-1 responsive Cdc42 homolog 2), is a 236 amino acid protein that controls the actin cytoskeleton through activation of the JNK pathway.A member of the Rho family and small GTPase superfamily, Rho V functions as a lipid anchor at the cytoplasmic side of the cell membrane and is expressed in placenta, pancreas and fetal brain. Rho V is implicated in cell transformation and is encoded by a gene located on human chromosome 15, which houses over 700 genes and comprises nearly 3% of the human genome. Angelman syndrome, Prader-Willi syndrome, Tay-Sachs disease and Marfan syndrome are all associated with defects in chromosome 15-localized genes.
Product Categories/Family for anti-RHOV antibody
NCBI and Uniprot Product Information
NCBI GI #
NCBI GeneID
NCBI Accession #
NCBI GenBank Nucleotide #
Molecular Weight
26,217 Da
NCBI Official Full Name
rho-related GTP-binding protein RhoV
NCBI Official Synonym Full Names
ras homolog family member V
NCBI Official Symbol
RHOV
NCBI Official Synonym Symbols
CHP; ARHV; WRCH2
NCBI Protein Information
rho-related GTP-binding protein RhoV
UniProt Protein Name
Rho-related GTP-binding protein RhoV
UniProt Gene Name
RHOV
UniProt Synonym Gene Names
WRCH-2
UniProt Entry Name
RHOV_HUMAN
Customer Reviews
Loading reviews...
Share Your Experience
Similar Products
Product Notes
The RHOV rhov (Catalog #AAA309115) is an Antibody produced from Rabbit and is intended for research purposes only. The product is available for immediate purchase. The RHOV Antibody reacts with Human and may cross-react with other species as described in the data sheet. AAA Biotech's RHOV can be used in a range of immunoassay formats including, but not limited to, IHC (Immunohistochemistry). Researchers should empirically determine the suitability of the RHOV rhov for an application not listed in the data sheet. Researchers commonly develop new applications and it is an integral, important part of the investigative research process. It is sometimes possible for the material contained within the vial of "RHOV, Polyclonal Antibody" to become dispersed throughout the inside of the vial, particularly around the seal of said vial, during shipment and storage. We always suggest centrifuging these vials to consolidate all of the liquid away from the lid and to the bottom of the vial prior to opening. Please be advised that certain products may require dry ice for shipping and that, if this is the case, an additional dry ice fee may also be required.Precautions
All products in the AAA Biotech catalog are strictly for research-use only, and are absolutely not suitable for use in any sort of medical, therapeutic, prophylactic, in-vivo, or diagnostic capacity. By purchasing a product from AAA Biotech, you are explicitly certifying that said products will be properly tested and used in line with industry standard. AAA Biotech and its authorized distribution partners reserve the right to refuse to fulfill any order if we have any indication that a purchaser may be intending to use a product outside of our accepted criteria.Disclaimer
Though we do strive to guarantee the information represented in this datasheet, AAA Biotech cannot be held responsible for any oversights or imprecisions. AAA Biotech reserves the right to adjust any aspect of this datasheet at any time and without notice. It is the responsibility of the customer to inform AAA Biotech of any product performance issues observed or experienced within 30 days of receipt of said product. To see additional details on this or any of our other policies, please see our Terms & Conditions page.Item has been added to Shopping Cart
If you are ready to order, navigate to Shopping Cart and get ready to checkout.
