Rabbit RIC8A Polyclonal Antibody | anti-RIC8A antibody
RIC8A Antibody
Gene Names
RIC8A; RIC8
Reactivity
Human, Mouse, RatPredicted: Pig, Bovine, Horse, Sheep, Rabbit, Dog
Applications
Western Blot
Purity
The antiserum was purified by peptide affinity chromatography using SulfoLink Coupling Resin (Thermo Fisher Scientific).
Synonyms
RIC8A, Antibody; RIC8A Antibody; MGC104517; MGC131931; MGC148073; MGC148074; Protein Ric-8A; resistance to inhibitors of cholinesterase 8 homolog A (C. elegans); RIC8; RIC8A; RIC8A_HUMAN; Synembryn-A; anti-RIC8A antibody
Host
Rabbit
Reactivity
Human, Mouse, Rat
Predicted: Pig, Bovine, Horse, Sheep, Rabbit, Dog
Predicted: Pig, Bovine, Horse, Sheep, Rabbit, Dog
Clonality
Polyclonal
Isotype
IgG
Specificity
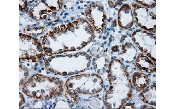
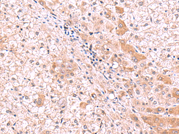
RIC8A Antibody detects endogenous levels of RIC8A.
Purity/Purification
The antiserum was purified by peptide affinity chromatography using SulfoLink Coupling Resin (Thermo Fisher Scientific).
Form/Format
Liquid; Phosphate buffered saline, pH 7.4, 150mM NaCl, 0.02% sodium azide and 50% glycerol.
Concentration
1mg/ml (varies by lot)
Sequence Length
537
Applicable Applications for anti-RIC8A antibody
WB (Western Blot)
Immunogen
A synthesized peptide derived from human RIC8A.
Fragment
Fab Fragment
Conjugate
Unconjugated
Subcellular Location
Plasma Membrane
Preparation and Storage
Store at -20 degree C. Stable for 12 months from date of receipt.
Related Product Information for anti-RIC8A antibody
Description: Guanine nucleotide exchange factor (GEF), which can activate some, but not all, G-alpha proteins. Able to activate GNAI1, GNAO1 and GNAQ, but not GNAS by exchanging bound GDP for free GTP. Involved in regulation of microtubule pulling forces during mitotic movement of chromosomes by stimulating G(i)-alpha protein, possibly leading to release G(i)-alpha-GTP and NuMA proteins from the NuMA-GPSM2-G(i)-alpha-GDP complex (By similarity). Also acts as an activator for G(q)-alpha (GNAQ) protein by enhancing the G(q)-coupled receptor-mediated ERK activation.
Subunit Structure: Interacts with GDP-bound G alpha proteins GNAI1, GNAO1 and GNAQ, and with GNA13 with lower affinity. Does not interact with G-alpha proteins when they are in complex with subunits beta and gamma. Interacts (via C-terminus) with RGS14; the interaction stimulates the dissociation of the complex between RGS14 and the active GTP-bound form of GNAI1 (By similarity).
Similarity: Belongs to the synembryn family.
Subunit Structure: Interacts with GDP-bound G alpha proteins GNAI1, GNAO1 and GNAQ, and with GNA13 with lower affinity. Does not interact with G-alpha proteins when they are in complex with subunits beta and gamma. Interacts (via C-terminus) with RGS14; the interaction stimulates the dissociation of the complex between RGS14 and the active GTP-bound form of GNAI1 (By similarity).
Similarity: Belongs to the synembryn family.
NCBI and Uniprot Product Information
NCBI GI #
NCBI GeneID
NCBI Accession #
NCBI GenBank Nucleotide #
UniProt Accession #
Molecular Weight
Observed: 60 kDa
Predicted: 60 kDa
Predicted: 60 kDa
NCBI Official Full Name
synembryn-A isoform 1
NCBI Official Synonym Full Names
RIC8 guanine nucleotide exchange factor A
NCBI Official Symbol
RIC8A
NCBI Official Synonym Symbols
RIC8
NCBI Protein Information
synembryn-A
UniProt Protein Name
Synembryn-A
UniProt Gene Name
RIC8A
UniProt Entry Name
RIC8A_HUMAN
Customer Reviews
Loading reviews...
Share Your Experience
Similar Products
Product Notes
The RIC8A ric8a (Catalog #AAA328715) is an Antibody produced from Rabbit and is intended for research purposes only. The product is available for immediate purchase. The RIC8A Antibody reacts with Human, Mouse, Rat Predicted: Pig, Bovine, Horse, Sheep, Rabbit, Dog and may cross-react with other species as described in the data sheet. AAA Biotech's RIC8A can be used in a range of immunoassay formats including, but not limited to, WB (Western Blot). Researchers should empirically determine the suitability of the RIC8A ric8a for an application not listed in the data sheet. Researchers commonly develop new applications and it is an integral, important part of the investigative research process. It is sometimes possible for the material contained within the vial of "RIC8A, Polyclonal Antibody" to become dispersed throughout the inside of the vial, particularly around the seal of said vial, during shipment and storage. We always suggest centrifuging these vials to consolidate all of the liquid away from the lid and to the bottom of the vial prior to opening. Please be advised that certain products may require dry ice for shipping and that, if this is the case, an additional dry ice fee may also be required.Precautions
All products in the AAA Biotech catalog are strictly for research-use only, and are absolutely not suitable for use in any sort of medical, therapeutic, prophylactic, in-vivo, or diagnostic capacity. By purchasing a product from AAA Biotech, you are explicitly certifying that said products will be properly tested and used in line with industry standard. AAA Biotech and its authorized distribution partners reserve the right to refuse to fulfill any order if we have any indication that a purchaser may be intending to use a product outside of our accepted criteria.Disclaimer
Though we do strive to guarantee the information represented in this datasheet, AAA Biotech cannot be held responsible for any oversights or imprecisions. AAA Biotech reserves the right to adjust any aspect of this datasheet at any time and without notice. It is the responsibility of the customer to inform AAA Biotech of any product performance issues observed or experienced within 30 days of receipt of said product. To see additional details on this or any of our other policies, please see our Terms & Conditions page.Item has been added to Shopping Cart
If you are ready to order, navigate to Shopping Cart and get ready to checkout.
