Rabbit RIP3 Polyclonal Antibody | anti-Ripk3 antibody
RIP3 Antibody
IHC-P: 5 ug/mL
IF: 20 ug/mL
IP: 20 ug/mL
Antibody validated: Western Blot in mouse and human samples; Immunohistochemistryin mouse and rat samples; Immunofluorescence in mouse and rat samples;Immunoprecipitation in human samples; Immunogold EM in mouse samples. All otherapplications and species not yet tested
(Figure 7,9,13) shows RIP3 expression detected by anti-RIP3 antibodies (AAA10922) was disrupted in multiple tissues of RIP3 KO mice (figure 7, 13) and in RIP3 KO MEF cells (figure 9).
KD Validation
(Figure 10): Anti-RIP3 antibody (AAA10922) specificity was further verified by RIP3 specific knockdown. RIP3 signal in L929 cells transfected with RIP3 shRNA was disrupted in comparison with that in cells transfected with control shRNA.
Regulated Expression Validation
(Figure 7,11,13): RIP3 expression detected by anit-RIP3 antibodies (AAA10922) was up-regulated by treatment of cerulein (figure 7), LPS (figure 11) or acetaminophen (figure 13) in different tissues or cells.
Overexpression Validation
(Figure 12): RIP3 overexpression detected by anit-RIP3 antibodies (AAA10922) was observed in three cell lines stably transfected with RIP3.
Application Data
(The cancer cell lines were stably expressing DYKDDDDK-tagged RIP3 and RIP expression was detected by anti-RIP3 antibodies (AAA10922) in RIP3-overexpressed cells.)
Application Data
(Confocal microscopy shows colocalization of RIPK1 (green) and RIPK3 (red) in PM and RIPK3 was detected by anti-RIPK3 antibodies (AAA10922). PF or BCM suppressed LPS-induced upregulation of RIP3.)
Application Data
(Immunoblot analysis of RIP3 with anti-RIP3 antibodies (AAA10922) shows RIP3 expression was disrupted in RIP3 knockdown L929 cells.)
WB (Western Blot)
(Western blot analysis of RIP3 with anti-RIP3 antibodies shows disrupted RIP3 expression in RIP3 KO MEFs, but not in WT MEF cells.)
IHC (Immunohistochemistry)
(RIP3 expression detected by anti-RIP3 antibodies (AAA10922) was decreased in Fadd KO mice as compared to WT mice.)
WB (Western Blot)
(Western blot analysis of RIP3 with anti-RIP3 antibodies shows disrupted RIP3 expression in pancreas, liver spleen thymus and lung of RIP3 KO mice. Cerulein treatment upregulated RIP3 expression in the pancreas of WT mice.)
IF (Immunofluorescence)
(Immunofluorescent analysis of 4% paraformaldehyde-fixed Rat Kidney tissue labeling RIP3 with AAA10922 at 20ug/mL, followed by goat anti-rabbit IgG secondary antibody at 1/500 dilution (red).)
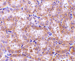
IHC (Immunohistochemistry)
(Immunohistochemical analysis of paraffin-embedded mouse kidney tissue using anti-RIP3 antibody (AAA10922) at 2.5ug/ml. Tissue was fixed with formaldehyde and blocked with 10% serum for 1 h at RT; antigen retrieval was by heat mediation with a citrate buffer (pH6). Samples were incubated with primary antibody overnight at 4 uC. A goat anti-rabbit IgG H&L (HRP) at 1/250 was used as secondary.Counter stained with Hematoxylin.)
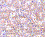
IHC (Immunohistochemistry)
(Immunohistochemical analysis of paraffin-embedded rat kidney tissue using anti-RIP3 antibody (AAA10922) at 5 ug/ml. Tissue was fixed with formaldehyde and blocked with 10% serum for 1 h at RT; antigen retrieval was by heat mediation with a citrate buffer (pH6). Samples were incubated with primary antibody overnight at 4 uC. A goat anti-rabbit IgG H&L (HRP) at 1/250 was used as secondary.Counter stained with Hematoxylin.)
WB (Western Blot)
(Loading: 15 ug of lysates per lane. Antibodies: RIP3 AAA10922,(0.5 ug/mL), 1h incubation at RT in 5% NFDM/TBST. Secondary: Goat anti-rabbit IgG HRP conjugate at 1:10000 dilution.)
WB (Western Blot)
(Loading: 15 ug of lysates per lane. Antibodies: RIP3 AAA10922, 1h incubation at RT in 5% NFDM/TBST. Secondary: Goat anti-rabbit IgG HRP conjugate at 1:10000 dilution. Lane 1: AAA10922, 0.1 ug/mL in the presence of peptide blocking Lane 2: AAA10922, 0.1 ug/mL Lane 3: AAA10922, 0.2 ug/mL Lane 4: AAA10922,0.5 ug/mL)
WB (Western Blot)
(Loading: 15 ?g of lysates per lane. Antibodies: RIP3 (AAA10922), (0.5 ug/mL), 1h incubation at RT in 5% NFDM/TBST. Secondary: Goat anti-rabbit IgG HRP conjugate at 1:10000 dilution)
NCBI and Uniprot Product Information
Observed: 53 kD for mouse RIP3 and 57kD for human RIP3
Customer Reviews
Loading reviews...
Share Your Experience
Similar Products
Product Notes
The Ripk3 ripk3 (Catalog #AAA10922) is an Antibody produced from Rabbit and is intended for research purposes only. The product is available for immediate purchase. The RIP3 Antibody reacts with Human, Mouse, Rat and may cross-react with other species as described in the data sheet. AAA Biotech's RIP3 can be used in a range of immunoassay formats including, but not limited to, ELISA, IF (Immunofluorescence), IHC (Immunohistochemistry), IP (Immunoprecipitation), WB (Western Blot). WB: 0.1-0.5 ug/mL IHC-P: 5 ug/mL IF: 20 ug/mL IP: 20 ug/mL Antibody validated: Western Blot in mouse and human samples; Immunohistochemistryin mouse and rat samples; Immunofluorescence in mouse and rat samples;Immunoprecipitation in human samples; Immunogold EM in mouse samples. All otherapplications and species not yet tested. Researchers should empirically determine the suitability of the Ripk3 ripk3 for an application not listed in the data sheet. Researchers commonly develop new applications and it is an integral, important part of the investigative research process. It is sometimes possible for the material contained within the vial of "RIP3, Polyclonal Antibody" to become dispersed throughout the inside of the vial, particularly around the seal of said vial, during shipment and storage. We always suggest centrifuging these vials to consolidate all of the liquid away from the lid and to the bottom of the vial prior to opening. Please be advised that certain products may require dry ice for shipping and that, if this is the case, an additional dry ice fee may also be required.Precautions
All products in the AAA Biotech catalog are strictly for research-use only, and are absolutely not suitable for use in any sort of medical, therapeutic, prophylactic, in-vivo, or diagnostic capacity. By purchasing a product from AAA Biotech, you are explicitly certifying that said products will be properly tested and used in line with industry standard. AAA Biotech and its authorized distribution partners reserve the right to refuse to fulfill any order if we have any indication that a purchaser may be intending to use a product outside of our accepted criteria.Disclaimer
Though we do strive to guarantee the information represented in this datasheet, AAA Biotech cannot be held responsible for any oversights or imprecisions. AAA Biotech reserves the right to adjust any aspect of this datasheet at any time and without notice. It is the responsibility of the customer to inform AAA Biotech of any product performance issues observed or experienced within 30 days of receipt of said product. To see additional details on this or any of our other policies, please see our Terms & Conditions page.Item has been added to Shopping Cart
If you are ready to order, navigate to Shopping Cart and get ready to checkout.
