Rabbit RIPk1 Polyclonal Antibody | anti-RIPk1 antibody
Phospho-RIPk1 (Ser161) Antibody
Predicted: Pig, Bovine, Horse, Sheep, Rabbit, Dog, Chicken
Predicted: Pig, Bovine, Horse, Sheep, Rabbit, Dog, Chicken
WB (Western Blot)
(Western blot analysis of Phospho-RIP (Ser361) in lysates of L-929?, using Phospho-RIP (Ser361) Antibody.)
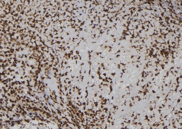
IHC (Immunohiostchemistry)
(At 1/100 staining human spleen tissue sections by IHC-P. The tissue was formaldehyde fixed and a heat mediated antigen retrieval step in citrate buffer was performed. The tissue was then blocked and incubated with the antibody for 1.5 hours at 22 degree C. An HRP conjugated goat anti-rabbit antibody was used as the secondary)
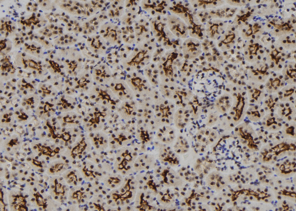
IHC (Immunohistochemistry)
(At 1/100 staining mouse kidney tissue sections by IHC-P. The tissue was formaldehyde fixed and a heat mediated antigen retrieval step in citrate buffer was performed. The tissue was then blocked and incubated with the antibody for 1.5 hours at 22 degree C. An HRP conjugated goat anti-rabbit antibody was used as the secondary)
Post Translational Modifications: Proteolytically cleaved by caspase-8 during TNF-induced apoptosis. Cleavage abolishes NF-kappa-B activation and enhances pro-apoptotic signaling through the TRADD-FADD interaction. RIPK1 and RIPK3 undergo reciprocal auto- and trans-phosphorylation. Phosphorylation of Ser-161 by RIPK3 is necessary for the formation of the necroptosis-inducing complex. Ubiquitinated by 'Lys-11'-, 'Lys-48'-, 'Lys-63'- and linear-linked type ubiquitin. Polyubiquitination with 'Lys-63'-linked chains by TRAF2 induces association with the IKK complex. Deubiquitination of 'Lys-63'-linked chains and polyubiquitination with 'Lys-48'-linked chains by TNFAIP3 leads to RIPK1 proteasomal degradation and consequently down-regulates TNF-alpha-induced NFkappa-B signaling. 'Lys-48'-linked polyubiquitination by RFFL or RNF34 also promotes proteasomal degradation and negatively regulates TNF-alpha-induced NFkappa-B signaling. Linear polyubiquitinated; the head-to-tail polyubiquitination is mediated by the LUBAC complex. LPS-mediated activation of NF-kappa-B. Also ubiquitinated with 'Lys-11'-linked chains. Polyubiquitinated with 'Lys-48' and 'Lys-63'-linked chains by BIRC2/c-IAP1 and BIRC3/c-IAP2, leading to activation of NF-kappa-B.
Subunit Structure: Interacts (via RIP homotypic interaction motif) with RIPK3 (via RIP homotypic interaction motif). Upon TNF-induced necrosis, the RIPK1-RIPK3 dimer further interacts with PGAM5 and MLKL; the formation of this complex leads to PGAM5 phosphorylation and increase in PGAM5 phosphatase activity. Interacts (via the death domain) with TNFRSF6 (via the death domain) and TRADD (via the death domain). Is recruited by TRADD to TNFRSF1A in a TNF-dependent process. Binds RNF216, EGFR, IKBKG, TRAF1, TRAF2 and TRAF3. Interacts with BNLF1. Interacts with SQSTM1 upon TNF-alpha stimulation. May interact with MAVS/IPS1. Interacts with ZFAND5. Interacts with RBCK1 (By similarity). Interacts with ZBP1 (By similarity). Interacts with BIRC2/c-IAP1, BIRC3/c-IAP2 and XIAP/BIRC4. Upon TNF-induced necrosis, forms in complex with PGAM5, RIPK3 and MLKL. Interacts (via kinase domain) with DAB2IP (via Ras-GAP domain); the interaction occurs in a TNF-alpha-dependent manner. Interacts with ARHGEF2. Interacts (via protein kinase domain) with RFFL; involved in RIPK1 ubiquitination. Interacts with RNF34; involved in RIPK1 ubiquitination. Interacts with TICAM1 and this interaction is enhanced in the presence of WDFY1 (PubMed:25736436).
Similarity: Contains a C-terminal death domain (DD) that engages other DD-containing proteins as well as a central (intermediate) region important for NF-kB activation and RHIM-dependent signaling. Belongs to the protein kinase superfamily. TKL Ser/Thr protein kinase family.
NCBI and Uniprot Product Information
Predicted: 76 kDa
Customer Reviews
Loading reviews...
Share Your Experience
Similar Products
Product Notes
The RIPk1 ripk1 (Catalog #AAA328506) is an Antibody produced from Rabbit and is intended for research purposes only. The product is available for immediate purchase. The Phospho-RIPk1 (Ser161) Antibody reacts with Human, Mouse Predicted: Pig, Bovine, Horse, Sheep, Rabbit, Dog, Chicken and may cross-react with other species as described in the data sheet. AAA Biotech's RIPk1 can be used in a range of immunoassay formats including, but not limited to, ELISA (Peptide ELISA), IHC (Immunohistochemistry), WB (Western Blot). Researchers should empirically determine the suitability of the RIPk1 ripk1 for an application not listed in the data sheet. Researchers commonly develop new applications and it is an integral, important part of the investigative research process. It is sometimes possible for the material contained within the vial of "RIPk1, Polyclonal Antibody" to become dispersed throughout the inside of the vial, particularly around the seal of said vial, during shipment and storage. We always suggest centrifuging these vials to consolidate all of the liquid away from the lid and to the bottom of the vial prior to opening. Please be advised that certain products may require dry ice for shipping and that, if this is the case, an additional dry ice fee may also be required.Precautions
All products in the AAA Biotech catalog are strictly for research-use only, and are absolutely not suitable for use in any sort of medical, therapeutic, prophylactic, in-vivo, or diagnostic capacity. By purchasing a product from AAA Biotech, you are explicitly certifying that said products will be properly tested and used in line with industry standard. AAA Biotech and its authorized distribution partners reserve the right to refuse to fulfill any order if we have any indication that a purchaser may be intending to use a product outside of our accepted criteria.Disclaimer
Though we do strive to guarantee the information represented in this datasheet, AAA Biotech cannot be held responsible for any oversights or imprecisions. AAA Biotech reserves the right to adjust any aspect of this datasheet at any time and without notice. It is the responsibility of the customer to inform AAA Biotech of any product performance issues observed or experienced within 30 days of receipt of said product. To see additional details on this or any of our other policies, please see our Terms & Conditions page.Item has been added to Shopping Cart
If you are ready to order, navigate to Shopping Cart and get ready to checkout.
