Rabbit RNF141 Polyclonal Antibody | anti-RNF141 antibody
RNF141 antibody - middle region
Gene Names
RNF141; ZFP26; RFP141; ZNF230
Reactivity
Cow, Dog, Guinea Pig, Horse, Human, Mouse, Rabbit, Rat
Applications
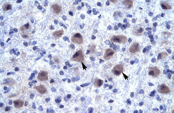
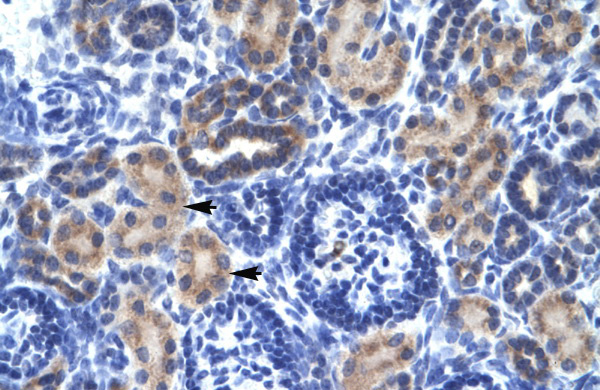
Western Blot, Immunohistochemistry
Purity
Affinity Purified
Synonyms
RNF141, Antibody; RNF141 antibody - middle region; anti-RNF141 antibody
Host
Rabbit
Reactivity
Cow, Dog, Guinea Pig, Horse, Human, Mouse, Rabbit, Rat
Clonality
Polyclonal
Purity/Purification
Affinity Purified
Form/Format
Liquid. Purified antibody supplied in 1x PBS buffer with 0.09% (w/v) sodium azide and 2% sucrose.
Sequence
Synthetic peptide located within the following region: RIMNLYQFIQLYKDITSQAAGVLAQSSTSEEPDENSSSVTSCQASLWMGR
Sequence Length
230
Applicable Applications for anti-RNF141 antibody
WB (Western Blot), IHC (Immunohistochemistry)
Homology
Cow: 86%; Dog: 93%; Guinea Pig: 93%; Horse: 86%; Human: 100%; Mouse: 100%; Rabbit: 85%; Rat: 93%
Immunogen
The immunogen is a synthetic peptide directed towards the middle region of human RNF141
Preparation and Storage
For short term use, store at 2-8 degree C up to 1 week. For long term storage, store at -20 degree C in small aliquots to prevent freeze-thaw cycles.
Related Product Information for anti-RNF141 antibody
This is a rabbit polyclonal antibody against RNF141. It was validated on Western Blot and immunohistochemistry
Target Description: The protein encoded by RNF141 contains a RING finger, a motif known to be involved in protein-DNA and protein-protein interactions. Abundant expression of this gene was found in the testicular tissue of fertile men, but was not detected in azoospermic patients. Studies of the mouse counterpart suggest that this gene may function as a testis specific transcription factor during spermatogenesis.
Target Description: The protein encoded by RNF141 contains a RING finger, a motif known to be involved in protein-DNA and protein-protein interactions. Abundant expression of this gene was found in the testicular tissue of fertile men, but was not detected in azoospermic patients. Studies of the mouse counterpart suggest that this gene may function as a testis specific transcription factor during spermatogenesis.
Product Categories/Family for anti-RNF141 antibody
NCBI and Uniprot Product Information
NCBI GI #
NCBI GeneID
NCBI Accession #
NCBI GenBank Nucleotide #
UniProt Accession #
Molecular Weight
26kDa
NCBI Official Full Name
RING finger protein 141
NCBI Official Synonym Full Names
ring finger protein 141
NCBI Official Symbol
RNF141
NCBI Official Synonym Symbols
ZFP26; RFP141; ZNF230
NCBI Protein Information
RING finger protein 141
UniProt Protein Name
RING finger protein 141
UniProt Gene Name
RNF141
UniProt Synonym Gene Names
ZNF230
UniProt Entry Name
RN141_HUMAN
Customer Reviews
Loading reviews...
Share Your Experience
Similar Products
Product Notes
The RNF141 rnf141 (Catalog #AAA197834) is an Antibody produced from Rabbit and is intended for research purposes only. The product is available for immediate purchase. The RNF141 antibody - middle region reacts with Cow, Dog, Guinea Pig, Horse, Human, Mouse, Rabbit, Rat and may cross-react with other species as described in the data sheet. AAA Biotech's RNF141 can be used in a range of immunoassay formats including, but not limited to, WB (Western Blot), IHC (Immunohistochemistry). Researchers should empirically determine the suitability of the RNF141 rnf141 for an application not listed in the data sheet. Researchers commonly develop new applications and it is an integral, important part of the investigative research process. The amino acid sequence is listed below: Synthetic peptide located within the following region: RIMNLYQFIQ LYKDITSQAA GVLAQSSTSE EPDENSSSVT SCQASLWMGR. It is sometimes possible for the material contained within the vial of "RNF141, Polyclonal Antibody" to become dispersed throughout the inside of the vial, particularly around the seal of said vial, during shipment and storage. We always suggest centrifuging these vials to consolidate all of the liquid away from the lid and to the bottom of the vial prior to opening. Please be advised that certain products may require dry ice for shipping and that, if this is the case, an additional dry ice fee may also be required.Precautions
All products in the AAA Biotech catalog are strictly for research-use only, and are absolutely not suitable for use in any sort of medical, therapeutic, prophylactic, in-vivo, or diagnostic capacity. By purchasing a product from AAA Biotech, you are explicitly certifying that said products will be properly tested and used in line with industry standard. AAA Biotech and its authorized distribution partners reserve the right to refuse to fulfill any order if we have any indication that a purchaser may be intending to use a product outside of our accepted criteria.Disclaimer
Though we do strive to guarantee the information represented in this datasheet, AAA Biotech cannot be held responsible for any oversights or imprecisions. AAA Biotech reserves the right to adjust any aspect of this datasheet at any time and without notice. It is the responsibility of the customer to inform AAA Biotech of any product performance issues observed or experienced within 30 days of receipt of said product. To see additional details on this or any of our other policies, please see our Terms & Conditions page.Item has been added to Shopping Cart
If you are ready to order, navigate to Shopping Cart and get ready to checkout.
