Rabbit RNF2 Polyclonal Antibody | anti-RNF2 antibody
RNF2 Antibody
Phosphate buffered saline, pH 7.4, 150mM NaCl, 0.02% sodium azide and 50% glycerol.
WB (Western Blot)
(Western blot analysis of K562 whole cell lysates, using RNF2 Antibody. The lane on the left is treated with the antigen-specific peptide.)
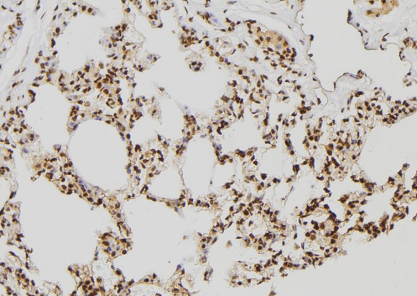
IHC (Immunohistochemistry)
(AAA327104 at 1/100 staining Rat lung tissue by IHC-P. The sample was formaldehyde fixed and a heat mediated antigen retrieval step in citrate buffer was performed. The sample was then blocked and incubated with the antibody for 1.5 hours at 22 degree C. An HRP conjugated goat anti-rabbit antibody was used as the secondary.)
Function: E3 ubiquitin-protein ligase that mediates monoubiquitination of 'Lys-119' of histone H2A (H2AK119Ub), thereby playing a central role in histone code and gene regulation (PubMed:15386022, PubMed:16359901, PubMed:25519132, PubMed:21772249, PubMed:25355358, PubMed:26151332). H2AK119Ub gives a specific tag for epigenetic transcriptional repression and participates in X chromosome inactivation of female mammals. May be involved in the initiation of both imprinted and random X inactivation (By similarity). Essential component of a Polycomb group (PcG) multiprotein PRC1-like complex, a complex class required to maintain the transcriptionally repressive state of many genes, including Hox genes, throughout development (PubMed:16359901, PubMed:26151332). PcG PRC1 complex acts via chromatin remodeling and modification of histones, rendering chromatin heritably changed in its expressibility (PubMed:26151332). E3 ubiquitin-protein ligase activity is enhanced by BMI1/PCGF4 (PubMed:21772249). Acts as the main E3 ubiquitin ligase on histone H2A of the PRC1 complex, while RING1 may rather act as a modulator of RNF2/RING2 activity (Probable). Association with the chromosomal DNA is cell-cycle dependent. In resting B-and T-lymphocytes, interaction with AURKB leads to block its activity, thereby maintaining transcription in resting lymphocytes (By similarity).
Subunit Structure: Component of chromatin-associated Polycomb (PcG) complexes. Component of a number of PRC1-like complexes; these complexes contain either the polycomb group ring finger protein PCGF1, or PCGF2, or PCGF3, or PCGF4, or PCGF5, or PCGF6 (PubMed:12167701, PubMed:15386022, PubMed:19636380, PubMed:21282530, PubMed:26687479, PubMed:26151332). Part of a complex that contains RNF2, UB2D3 and BMI1; within that complex RNF2 and BMI1 form a tight heterodimer, where UB2D3 interacts only with RNF2 (PubMed:21772249, PubMed:25355358). The complex composed of RNF2, UB2D3 and BMI1 binds nucleosomes, and has activity only with nucleosomal histone H2A (PubMed:21772249). Part of a complex that contains PCGF5, RNF2 and UBE2D3 (PubMed:26151332). Part of a complex that contains AUTS2, PCGF5, RNF2, CSNK2B AND RYBP (PubMed:25519132). Interacts with RYBP, PCGF2, CBX4, CBX6, CBX7 and CBX8 (PubMed:19636380, PubMed:21282530, PubMed:19791798, PubMed:20696397). Interacts with RNF1/RING1, BMI1 and PHC2 (PubMed:15386022, PubMed:16714294). Interaction with RYBP and CBX7 is mutually exclusive; both compete for the same binding site on RNF2 (By similarity). Component of repressive BCOR complex containing a Polycomb group subcomplex at least composed of RYBP, PCGF1, BCOR and RING1 (PubMed:16943429). Interacts with CBX2 and PHC1. Interacts with CHTOP. Interacts with AURKB (By similarity). Part of the E2F6.com-1 complex in G0 phase composed of E2F6, MGA, MAX, TFDP1, CBX3, BAT8, EUHMTASE1, RNF1/RING1, RNF2/RING2, MBLR, L3MBTL2 and YAF2 (PubMed:12004135). Component of some MLL1/MLL complex, at least composed of the core components KMT2A/MLL1, ASH2L, HCFC1/HCF1, WDR5 and RBBP5, as well as the facultative components BAP18, CHD8, E2F6, HSP70, INO80C, KANSL1, LAS1L, MAX, MCRS1, MGA, MYST1/MOF, PELP1, PHF20, PRP31, RING2, RUVB1/TIP49A, RUVB2/TIP49B, SENP3, TAF1, TAF4, TAF6, TAF7, TAF9 and TEX10 (PubMed:15960975). Interacts with RYBP, HIP2 and TFCP2 (PubMed:11513855, PubMed:11865070, PubMed:20696397).
Post-translational Modifications: Polyubiquitinated in the presence of UBE2D3 (in vitro). Monoubiquitinated, by auto-ubiquitination.
NCBI and Uniprot Product Information
Predicted: 38 kDa
Customer Reviews
Loading reviews...
Share Your Experience
Similar Products
Product Notes
The RNF2 rnf2 (Catalog #AAA327104) is an Antibody produced from Rabbit and is intended for research purposes only. The product is available for immediate purchase. The RNF2 Antibody reacts with Human, Mouse, Rat and may cross-react with other species as described in the data sheet. AAA Biotech's RNF2 can be used in a range of immunoassay formats including, but not limited to, ELISA, IHC (Immunohistochemistry), WB (Western Blot). Researchers should empirically determine the suitability of the RNF2 rnf2 for an application not listed in the data sheet. Researchers commonly develop new applications and it is an integral, important part of the investigative research process. It is sometimes possible for the material contained within the vial of "RNF2, Polyclonal Antibody" to become dispersed throughout the inside of the vial, particularly around the seal of said vial, during shipment and storage. We always suggest centrifuging these vials to consolidate all of the liquid away from the lid and to the bottom of the vial prior to opening. Please be advised that certain products may require dry ice for shipping and that, if this is the case, an additional dry ice fee may also be required.Precautions
All products in the AAA Biotech catalog are strictly for research-use only, and are absolutely not suitable for use in any sort of medical, therapeutic, prophylactic, in-vivo, or diagnostic capacity. By purchasing a product from AAA Biotech, you are explicitly certifying that said products will be properly tested and used in line with industry standard. AAA Biotech and its authorized distribution partners reserve the right to refuse to fulfill any order if we have any indication that a purchaser may be intending to use a product outside of our accepted criteria.Disclaimer
Though we do strive to guarantee the information represented in this datasheet, AAA Biotech cannot be held responsible for any oversights or imprecisions. AAA Biotech reserves the right to adjust any aspect of this datasheet at any time and without notice. It is the responsibility of the customer to inform AAA Biotech of any product performance issues observed or experienced within 30 days of receipt of said product. To see additional details on this or any of our other policies, please see our Terms & Conditions page.Item has been added to Shopping Cart
If you are ready to order, navigate to Shopping Cart and get ready to checkout.
