Rabbit ROM1 Polyclonal Antibody | anti-ROM1 antibody
ROM1 Rabbit Polyclonal Antibody
Gene Names
ROM1; ROM; RP7; ROSP1; TSPAN23
Reactivity
Human, Mouse, Rat
Applications
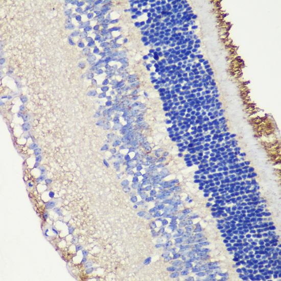
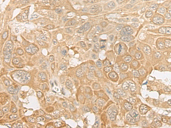
Immunohistochemistry, Western Blot
Purity
Affinity purification
Synonyms
ROM1, Antibody; ROM1 Rabbit Polyclonal Antibody; ROM1; ROM; ROSP1; RP7; TSPAN23; anti-ROM1 antibody
Host
Rabbit
Reactivity
Human, Mouse, Rat
Clonality
Polyclonal
Isotype
IgG
Purity/Purification
Affinity purification
Form/Format
Buffer: PBS with 0.02% sodium azide, 50% glycerol, pH7.3.
Applicable Applications for anti-ROM1 antibody
IHC (Immunohistochemistry), WB (Western Blot)
Immunogen
Recombinant fusion protein of human ROM1 (NP_000318.1).
Preparation and Storage
Store at -20 degree C. Avoid freeze/thaw cycles.
Related Product Information for anti-ROM1 antibody
This gene is a member of a photoreceptor-specific gene family and encodes an integral membrane protein found in the photoreceptor disk rim of the eye. This protein can form homodimers or can heterodimerize with another photoreceptor, retinal degeneration slow (RDS). It is essential for disk morphogenesis, and may also function as an adhesion molecule involved in the stabilization and compaction of outer segment disks or in the maintenance of the curvature of the rim. Certain defects in this gene have been associated with the degenerative eye disease retinitis pigmentosa.
Product Categories/Family for anti-ROM1 antibody
NCBI and Uniprot Product Information
NCBI GI #
NCBI GeneID
NCBI Accession #
NCBI GenBank Nucleotide #
UniProt Accession #
Molecular Weight
37 kDa
NCBI Official Full Name
rod outer segment membrane protein 1
NCBI Official Synonym Full Names
retinal outer segment membrane protein 1
NCBI Official Symbol
ROM1
NCBI Official Synonym Symbols
ROM; RP7; ROSP1; TSPAN23
NCBI Protein Information
rod outer segment membrane protein 1
UniProt Protein Name
Rod outer segment membrane protein 1
UniProt Gene Name
ROM1
UniProt Synonym Gene Names
TSPAN23; ROSP1; Tspan-23
UniProt Entry Name
ROM1_HUMAN
Customer Reviews
Loading reviews...
Share Your Experience
Similar Products
Product Notes
The ROM1 rom1 (Catalog #AAA313964) is an Antibody produced from Rabbit and is intended for research purposes only. The product is available for immediate purchase. The ROM1 Rabbit Polyclonal Antibody reacts with Human, Mouse, Rat and may cross-react with other species as described in the data sheet. AAA Biotech's ROM1 can be used in a range of immunoassay formats including, but not limited to, IHC (Immunohistochemistry), WB (Western Blot). Researchers should empirically determine the suitability of the ROM1 rom1 for an application not listed in the data sheet. Researchers commonly develop new applications and it is an integral, important part of the investigative research process. It is sometimes possible for the material contained within the vial of "ROM1, Polyclonal Antibody" to become dispersed throughout the inside of the vial, particularly around the seal of said vial, during shipment and storage. We always suggest centrifuging these vials to consolidate all of the liquid away from the lid and to the bottom of the vial prior to opening. Please be advised that certain products may require dry ice for shipping and that, if this is the case, an additional dry ice fee may also be required.Precautions
All products in the AAA Biotech catalog are strictly for research-use only, and are absolutely not suitable for use in any sort of medical, therapeutic, prophylactic, in-vivo, or diagnostic capacity. By purchasing a product from AAA Biotech, you are explicitly certifying that said products will be properly tested and used in line with industry standard. AAA Biotech and its authorized distribution partners reserve the right to refuse to fulfill any order if we have any indication that a purchaser may be intending to use a product outside of our accepted criteria.Disclaimer
Though we do strive to guarantee the information represented in this datasheet, AAA Biotech cannot be held responsible for any oversights or imprecisions. AAA Biotech reserves the right to adjust any aspect of this datasheet at any time and without notice. It is the responsibility of the customer to inform AAA Biotech of any product performance issues observed or experienced within 30 days of receipt of said product. To see additional details on this or any of our other policies, please see our Terms & Conditions page.Item has been added to Shopping Cart
If you are ready to order, navigate to Shopping Cart and get ready to checkout.
