Rabbit anti-Human, Mouse ROR1 Polyclonal Antibody | anti-ROR1 antibody
ROR1 Antibody
Gene Names
ROR1; NTRKR1; dJ537F10.1
Reactivity
Human, Mouse
Applications
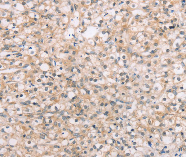
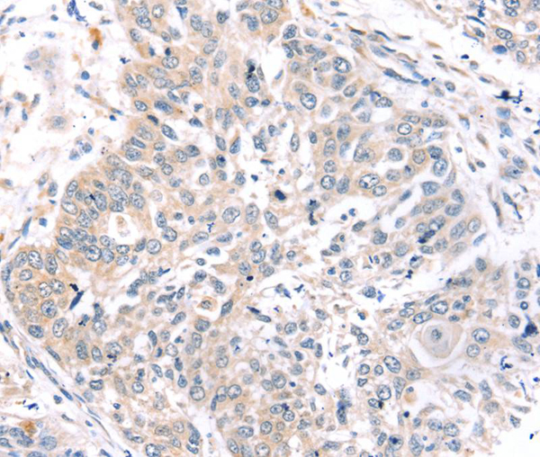
Immunohistochemistry
Purity
Antigen affinity purification.
Synonyms
ROR1, Antibody; ROR1 Antibody; NTRKR1; dJ537F10.1; anti-ROR1 antibody
Host
Rabbit
Reactivity
Human, Mouse
Clonality
Polyclonal
Specificity
The antibody detects endogenous levels of total ROR1 protein.
Purity/Purification
Antigen affinity purification.
Form/Format
Rabbit IgG in pH7.4 PBS, 0.05% NaN3, 40% Glycerol.
Concentration
2.6 mg/ml (varies by lot)
Sequence Length
393
Applicable Applications for anti-ROR1 antibody
IHC (Immunohistochemistry)
Immunogen Type
Peptide
Immunogen Description
Synthetic peptide corresponding to a region derived from internal residues of human receptor tyrosine kinase-like orphan receptor 1
Target Name
ROR1
Preparation and Storage
Store at -20 degree C
Related Product Information for anti-ROR1 antibody
This gene encodes a receptor tyrosine kinase-like orphan receptor that modulates neurite growth in the central nervous system. The encoded protein is a glycosylated type I membrane protein that belongs to the ROR subfamily of cell surface receptors. It is a pseudokinase that lacks catalytic activity and may interact with the non-canonical Wnt signalling pathway. This gene is highly expressed during early embryonic development but expressed at very low levels in adult tissues. Increased expression of this gene is associated with B-cell chronic lymphocytic leukaemia. Alternative splicing results in multiple transcript variants encoding different isoforms.
Product Categories/Family for anti-ROR1 antibody
NCBI and Uniprot Product Information
NCBI GI #
NCBI GeneID
NCBI Accession #
NCBI GenBank Nucleotide #
Molecular Weight
43,826 Da
NCBI Official Full Name
inactive tyrosine-protein kinase transmembrane receptor ROR1 isoform 2
NCBI Official Synonym Full Names
receptor tyrosine kinase like orphan receptor 1
NCBI Official Symbol
ROR1
NCBI Official Synonym Symbols
NTRKR1; dJ537F10.1
NCBI Protein Information
inactive tyrosine-protein kinase transmembrane receptor ROR1
UniProt Protein Name
Tyrosine-protein kinase transmembrane receptor ROR1
UniProt Gene Name
ROR1
UniProt Synonym Gene Names
NTRKR1
UniProt Entry Name
ROR1_HUMAN
Customer Reviews
Loading reviews...
Share Your Experience
Similar Products
Product Notes
The ROR1 ror1 (Catalog #AAA301264) is an Antibody produced from Rabbit and is intended for research purposes only. The product is available for immediate purchase. The ROR1 Antibody reacts with Human, Mouse and may cross-react with other species as described in the data sheet. AAA Biotech's ROR1 can be used in a range of immunoassay formats including, but not limited to, IHC (Immunohistochemistry). Researchers should empirically determine the suitability of the ROR1 ror1 for an application not listed in the data sheet. Researchers commonly develop new applications and it is an integral, important part of the investigative research process. It is sometimes possible for the material contained within the vial of "ROR1, Polyclonal Antibody" to become dispersed throughout the inside of the vial, particularly around the seal of said vial, during shipment and storage. We always suggest centrifuging these vials to consolidate all of the liquid away from the lid and to the bottom of the vial prior to opening. Please be advised that certain products may require dry ice for shipping and that, if this is the case, an additional dry ice fee may also be required.Precautions
All products in the AAA Biotech catalog are strictly for research-use only, and are absolutely not suitable for use in any sort of medical, therapeutic, prophylactic, in-vivo, or diagnostic capacity. By purchasing a product from AAA Biotech, you are explicitly certifying that said products will be properly tested and used in line with industry standard. AAA Biotech and its authorized distribution partners reserve the right to refuse to fulfill any order if we have any indication that a purchaser may be intending to use a product outside of our accepted criteria.Disclaimer
Though we do strive to guarantee the information represented in this datasheet, AAA Biotech cannot be held responsible for any oversights or imprecisions. AAA Biotech reserves the right to adjust any aspect of this datasheet at any time and without notice. It is the responsibility of the customer to inform AAA Biotech of any product performance issues observed or experienced within 30 days of receipt of said product. To see additional details on this or any of our other policies, please see our Terms & Conditions page.Item has been added to Shopping Cart
If you are ready to order, navigate to Shopping Cart and get ready to checkout.
