Rabbit RPA2 Polyclonal Antibody | anti-RPA2 antibody
RPA2 Antibody
Phosphate buffered saline, pH 7.4, 150mM NaCl, 0.02% sodium azide and 50% glycerol.
IF (Immunofluorescence)
(AAA326667 staining Hela by IF/ICC. The sample were fixed with PFA and permeabilized in 0.1% Triton X-100, then blocked in 10% serum for 45 minutes at 25 degree C. The primary antibody was diluted at 1/200 and incubated with the sample for 1 hour at 37 degree C. An Alexa Fluor 594 conjugated goat anti-rabbit IgG (H+L) Ab, diluted at 1/600, was used as the secondary antibody.)
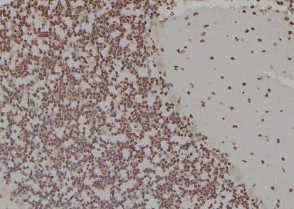
IHC (Immunohiostchemistry)
(AAA326667 at 1/100 staining Rat brain tissue by IHC-P. The sample was formaldehyde fixed and a heat mediated antigen retrieval step in citrate buffer was performed. The sample was then blocked and incubated with the antibody for 1.5 hours at 22 degree C. An HRP conjugated goat anti-rabbit antibody was used as the secondary.)
WB (Western Blot)
(Western blot analysis of extracts of A549, using RPA2 antibody. The lane on the left is treated with the antigen-specific peptide.)
Function: As part of the heterotrimeric replication protein A complex (RPA/RP-A), binds and stabilizes single-stranded DNA intermediates, that form during DNA replication or upon DNA stress. It prevents their reannealing and in parallel, recruits and activates different proteins and complexes involved in DNA metabolism. Thereby, it plays an essential role both in DNA replication and the cellular response to DNA damage. In the cellular response to DNA damage, the RPA complex controls DNA repair and DNA damage checkpoint activation. Through recruitment of ATRIP activates the ATR kinase a master regulator of the DNA damage response. It is required for the recruitment of the DNA double-strand break repair factors RAD51 and RAD52 to chromatin in response to DNA damage. Also recruits to sites of DNA damage proteins like XPA and XPG that are involved in nucleotide excision repair and is required for this mechanism of DNA repair. Plays also a role in base excision repair (BER) probably through interaction with UNG. Also recruits SMARCAL1/HARP, which is involved in replication fork restart, to sites of DNA damage. May also play a role in telomere maintenance.
Subunit Structure: Component of the replication protein A complex (RPA/RP-A), a heterotrimeric complex composed of RPA1, RPA2 and RPA3 (PubMed:2406247, PubMed:19116208, PubMed:10449415). Interacts with PRPF19; the PRP19-CDC5L complex is recruited to the sites of DNA repair where it ubiquitinates the replication protein A complex (RPA) (PubMed:24332808). Interacts with SERTAD3 (PubMed:10982866). Interacts with TIPIN (PubMed:17141802, PubMed:17296725). Interacts with TIMELESS (PubMed:17141802). Interacts with PPP4R2; the interaction is direct, DNA damage-dependent and mediates the recruitment of the PP4 catalytic subunit PPP4C (PubMed:20154705). Interacts (hyperphosphorylated) with RAD51 (PubMed:20154705). Interacts with SMARCAL1; the interaction is direct and mediates the recruitment to the RPA complex of SMARCAL1 (PubMed:19793861, PubMed:19793862, PubMed:19793863). Interacts with RAD52 and XPA; those interactions are direct and associate RAD52 and XPA to the RPA complex (PubMed:7700386, PubMed:8702565, PubMed:17765923, PubMed:11081631). Interacts with FBXO18 (PubMed:23319600). Interacts with ETAA1; the interaction is direct and promotes ETAA1 recruitment at stalled replication forks (PubMed:27601467, PubMed:27723720, PubMed:27723717). Interacts with RFWD3 (PubMed:21504906, PubMed:21558276, PubMed:26474068, PubMed:28575657).
Post-translational Modifications: Differentially phosphorylated throughout the cell cycle, becoming phosphorylated at the G1-S transition and dephosphorylated in late mitosis. Mainly phosphorylated at Ser-23 and Ser-29, by cyclin A-CDK2 and cyclin B-CDK1, respectively during DNA replication and mitosis. Dephosphorylation may require the serine/threonine-protein phosphatase 4. Phosphorylation at Ser-23 and Ser-29 is a prerequisite for further phosphorylation. Becomes hyperphosphorylated on additional residues including Ser-4, Ser-8, Thr-21 and Ser-33 in response to DNA damage. Hyperphosphorylation is mediated by ATM, ATR and PRKDC. Primarily recruited to DNA repair nuclear foci as a hypophosphorylated form it undergoes subsequent hyperphosphorylation, catalyzed by ATR. Hyperphosphorylation is required for RAD51 recruitment to chromatin and efficient DNA repair. Phosphorylation at Thr-21 depends upon RFWD3 presence.DNA damage-induced 'Lys-63'-linked polyubiquitination by PRPF19 mediates ATRIP recruitment to the RPA complex at sites of DNA damage and activation of ATR (PubMed:24332808). Ubiquitinated by RFWD3 at stalled replication forks in response to DNA damage: ubiquitination by RFWD3 does not lead to degradation by the proteasome and promotes removal of the RPA complex from stalled replication forks, promoting homologous recombination (PubMed:26474068).
Similarity: Belongs to the replication factor A protein 2 family.
NCBI and Uniprot Product Information
Predicted: 30 kDa
Customer Reviews
Loading reviews...
Share Your Experience
Similar Products
Product Notes
The RPA2 rpa2 (Catalog #AAA326667) is an Antibody produced from Rabbit and is intended for research purposes only. The product is available for immediate purchase. The RPA2 Antibody reacts with Human, Mouse, Rat and may cross-react with other species as described in the data sheet. AAA Biotech's RPA2 can be used in a range of immunoassay formats including, but not limited to, ELISA, ICC (Immunocytochemistry), IF (Immunofluorescence), IHC (Immunohistochemistry), WB (Western Blot). Researchers should empirically determine the suitability of the RPA2 rpa2 for an application not listed in the data sheet. Researchers commonly develop new applications and it is an integral, important part of the investigative research process. It is sometimes possible for the material contained within the vial of "RPA2, Polyclonal Antibody" to become dispersed throughout the inside of the vial, particularly around the seal of said vial, during shipment and storage. We always suggest centrifuging these vials to consolidate all of the liquid away from the lid and to the bottom of the vial prior to opening. Please be advised that certain products may require dry ice for shipping and that, if this is the case, an additional dry ice fee may also be required.Precautions
All products in the AAA Biotech catalog are strictly for research-use only, and are absolutely not suitable for use in any sort of medical, therapeutic, prophylactic, in-vivo, or diagnostic capacity. By purchasing a product from AAA Biotech, you are explicitly certifying that said products will be properly tested and used in line with industry standard. AAA Biotech and its authorized distribution partners reserve the right to refuse to fulfill any order if we have any indication that a purchaser may be intending to use a product outside of our accepted criteria.Disclaimer
Though we do strive to guarantee the information represented in this datasheet, AAA Biotech cannot be held responsible for any oversights or imprecisions. AAA Biotech reserves the right to adjust any aspect of this datasheet at any time and without notice. It is the responsibility of the customer to inform AAA Biotech of any product performance issues observed or experienced within 30 days of receipt of said product. To see additional details on this or any of our other policies, please see our Terms & Conditions page.Item has been added to Shopping Cart
If you are ready to order, navigate to Shopping Cart and get ready to checkout.
